5, 6 y 7 de febrero de 2026
Atención Primaria.
Bultoma brazo derecho.
Enfoque individual
Paciente de 62 años, sin antecedentes personales de interés, que acude a consulta derivado por su fisioterapeuta ante la aparición de un "bulto" en el brazo derecho de dos meses de evolución. El paciente niega dolor, refiriendo únicamente molestias ocasionales. En la exploración física se palpa una masa de consistencia intermedia en la cara interna del brazo, a nivel del bíceps/braquial anterior.
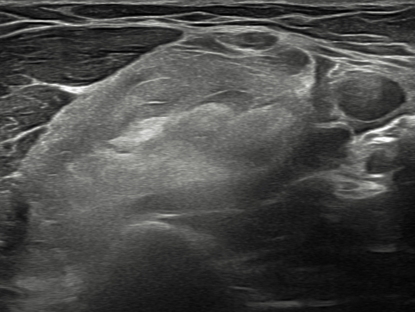
Con el objetivo de caracterizar la lesión, se realiza ecografía clínica.Hallazgos ecográficos
Se objetiva masa bien delimitada, heterogénea, con áreas hipoecogénicas y anecoicas en su interior, de aproximadamente 8 × 2 cm. La lesión parece depender del músculo coracobraquial y no muestra vascularización al Doppler.
Pruebas complementarias
Ante estos hallazgos sin saber concretar la naturaleza clara de la lesión, se solicita una resonancia magnética (RMN) preferente. La RMN informa de una lesión homogénea, bien definida, dependiente del músculo coracobraquial, de 35 × 18 × 82 mm, con finos septos internos sin engrosamientos nodulares, compatible con lipoma intramuscular.
Juicio clínico, diagnóstico diferencial, concordancia con el hospital (en su caso)
El principal diagnóstico diferencial es el liposarcoma, especialmente por el tamaño y localización profunda. La ausencia de engrosamientos nodulares y la homogeneidad en la imagen apoyan la benignidad.
Tratamiento, planes de actuación
Debido al tamaño, la velocidad de crecimiento y las molestias locales, se decide derivar al hospital de referencia para valoración por Traumatología.
Evolución
Los lipomas intramusculares son tumores benignos poco frecuentes, que representan aproximadamente el 1,8% de los tumores del tejido adiposo y menos del 1% de todos los lipomas. Su etiología es desconocida y pueden presentarse en cualquier edad adulta. Suelen localizarse en extremidades y tronco, especialmente en muslo y hombro, y generalmente cursan de manera asintomática. La ecografía clínica es una herramienta útil para la valoración inicial de masas de partes blandas en Atención Primaria. La RMN es la técnica de elección para su caracterización, reservándose la biopsia para lesiones con criterios de alarma.
El manejo puede ser conservador, aunque en casos de lesiones voluminosas o sintomáticas se recomienda exéresis quirúrgica. La ecografía clínica en Atención Primaria permitió identificar una masa intramuscular sospechosa y acelerar el proceso diagnóstico mediante RMN. El caso destaca la relevancia de la ecografía musculoesquelética como herramienta resolutiva en Medicina Familiar.



