5, 6 y 7 de febrero de 2026
Enfoque individual
Mujer de 71 años con antecedentes de hipertensión arterial, dislipemia, diabetes mellitus tipo 2 sin tratamiento, enfermedad renal crónica estadio G2a secundaria a infecciones urinarias de repetición, riñón izquierdo atrófico, hiperparatiroidismo intervenido en 2019, bocio nodular TIRADS 2 estable, así como diversas cirugías ortopédicas y conservadora de mama. Consulta por dolor abdominal de 4 meses de evolución coincidiendo con cambio de hipolipemiante, acompañado de estreñimiento, anorexia y pérdida ponderal no cuantificada.
En la anamnesis, el dolor se describe como continuo, episódico, no relacionado con la ingesta, de minutos de duración, repetido a lo largo del día. No presenta náuseas ni vómitos.
La exploración física muestra abdomen blando con tumoración dura y dolorosa en flanco y fosa ilíaca izquierda.
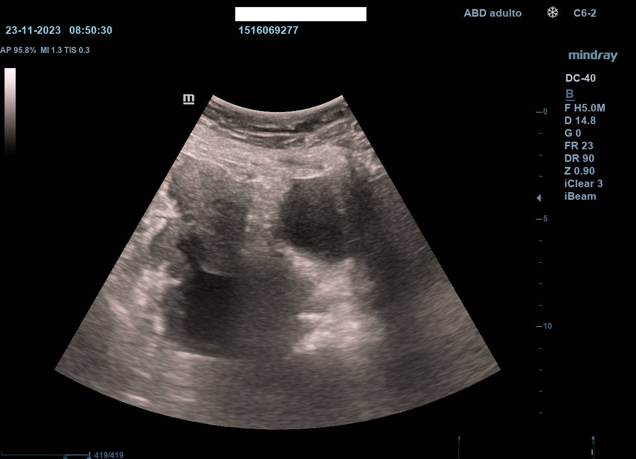
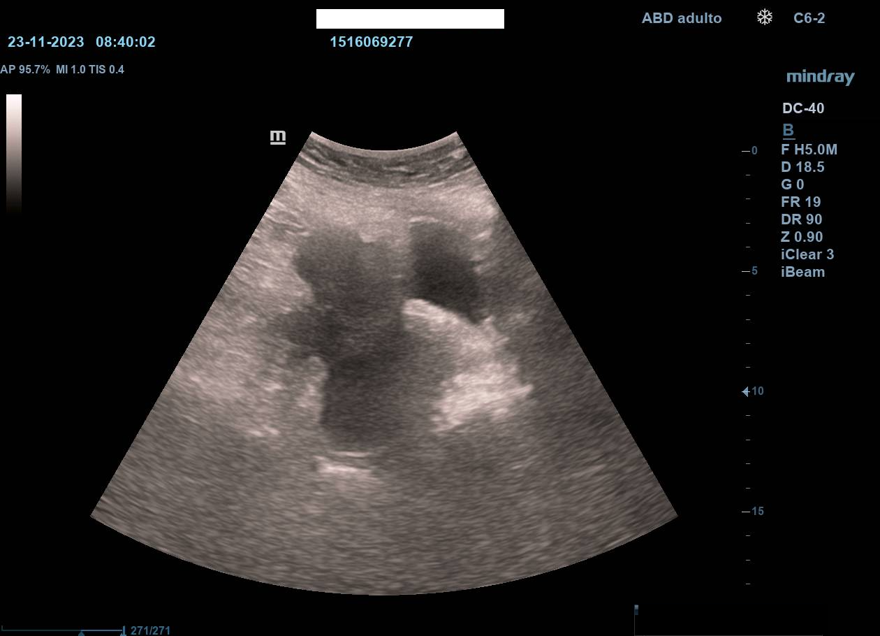
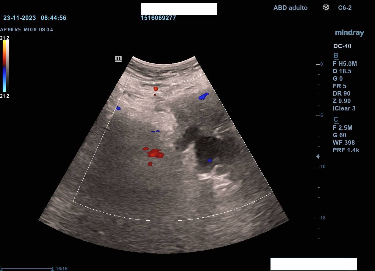
Hallazgos ecográficos
La ecografía en atención primaria permitió un abordaje inicial inmediato, objetivándose dilatación de asas intestinales en la zona de la tumoración, sospecha de ascitis y no visualización de riñón izquierdo (atrofia previa). Estos hallazgos, junto con la exploración, motivaron derivación urgente a Medicina Interna con sospecha de tumoración abdominal.
Pruebas complementarias
Posteriormente, el TAC abdominal confirmó masas peritoneales y mesentéricas con ascitis compatibles con carcinomatosis peritoneal de origen ovárico. El estudio anatomopatológico de biopsia mostró adenocarcinoma de alto grado con inmunofenotipo compatible con carcinoma seroso tubo-ovárico. La laparoscopia de estadificación evidenció abundante ascitis, enfermedad peritoneal difusa y pelvis bloqueada por tumor, determinando inicialmente irresecabilidad. El TAC torácico detectó tromboembolismo pulmonar incidental, sin repercusión hemodinámica.
Juicio clínico, diagnóstico diferencial, concordancia con el hospital (en su caso)
El juicio clínico inicial incluyó como diferenciales: efecto adverso farmacológico, patología digestiva funcional, neoplasia colónica o ginecológica.
Tratamiento, planes de actuación
Se inició quimioterapia neoadyuvante, con excelente respuesta radiológica y reducción significativa de la carga tumoral, lo que permitió reevaluación laparoscópica y cirugía posterior en abril de 2024.
Evolución
Actualmente, en junio de 2025, la paciente se encuentra en buen estado general, ha recuperado peso y sigue tratamiento de mantenimiento con olaparib.
Este caso subraya el papel crucial de la ecografía en atención primaria como herramienta de primera línea para orientar el diagnóstico, priorizar derivación urgente y optimizar la coordinación asistencial en patologías oncológicas de presentación inespecífica.



