5, 6 y 7 de febrero de 2026
Atención Primaria.
Dolor de piernas.
Enfoque individual
Mujer de 63 años, con antecedentes de diabetes mellitus tipo 2 de 12 años de evolución (HbA1c 7%), hipertensión arterial y tabaquismo importante, que acude a consulta por dolor en ambas extremidades inferiores, más marcado en el miembro inferior izquierdo, de 6–8 meses de evolución. La paciente refiere que el dolor aparece con la deambulación a los 200–300 metros, acompañado de sensación de «peso» en muslos y en ambas regiones gemelares. No presenta dolor en reposo. Previamente había realizado fisioterapia por sospecha de trocanteritis.
En la exploración física se objetivan pulsos femorales, poplíteos y pedios débiles bilateralmente, sin soplos abdominales.
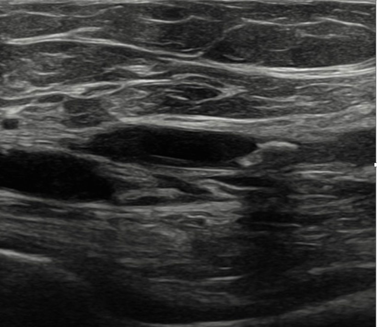
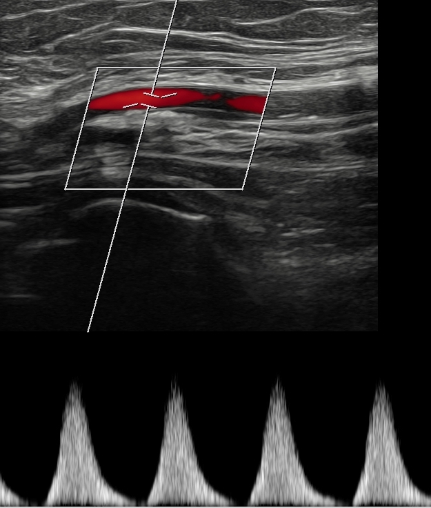
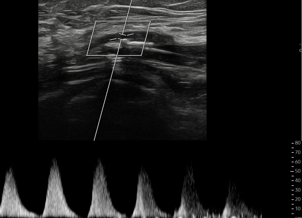
Dado el acceso a ecografía clínica en el centro de salud, se realiza la misma.
Hallazgos ecográficos
Se identifican placas de ateroma en ambas arterias femorales comunes, con pérdida del flujo diastólico, hallazgo sugestivo de enfermedad aterosclerótica significativa.
Pruebas complementarias
Se realiza un Índice Tobillo-Brazo (ITB), obteniendo valores de 0,8 en la extremidad inferior derecha y 0,6 en extremidad inferior izquierda, compatibles con arteriopatía periférica leve-moderada apoyando a nuestra impresión diagnóstica clínica y ecográfica.
Juicio clínico, diagnóstico diferencial, concordancia con el hospital (en su caso)
La impresión diagnóstica fue de isquemia femoropoplítea bilateral.
Tratamiento, planes de actuación
Se optimiza el tratamiento médico, añadiéndose ácido acetilsalicílico y atorvastatina a su tratamiento antidiabético habitual. La paciente es remitida a Cirugía Vascular para estudio y seguimiento.
Evolución
Los engrosamientos parietales difusos o focales sugieren aterosclerosis. En territorios de alta resistencia, el flujo normal es trifásico: un pico sistólico anterógrado, una corta fase reversa por resistencia periférica y un componente diastólico anterógrado de baja velocidad. El flujo arterial sano es laminar, con velocidades habitualmente menores de 1,5 m/s. Las estenosis hemodinámicamente significativas reducen más del 50% de la luz vascular y producen aliasing en Doppler color, con velocidades superiores a 1,3 m/s. Distalmente a una estenosis grave, los flujos se vuelven monofásicos, variando su resistencia según la vasodilatación distal.
Este caso resalta el valor de la ecografía clínica en Atención Primaria para la detección precoz de la enfermedad arterial periférica y la optimización del abordaje terapéutico y derivación.



