5, 6 y 7 de febrero de 2026
Atención Primaria.
Dolor en región occipital izquierda.
Enfoque individual
Mujer de 38 años sin antecedentes de interés. Acude a su centro de salud en múltiples ocasiones describiendo dolor lacinante-punzante, localizado a punta de dedo en región occipital izquierda. Aparece al mínimo contacto con la zona, incluso impidiéndole el buen descanso nocturno ya que no puede apoyar esa zona en la almohada. Estuvo a tratamiento con AINE, corticoides orales y tópicos. Niega traumatismo, tampoco ha notado tumoración, aumento de partes blandas, sensación de calor ni otra clínica.
Exploración física. No eritema, no edema, no se palpan masas ni tumoraciones, no aumento de partes blandas, tampoco rubor ni calor. El dolor aparece a punta de dedo en región occipital izquierda. Exploración neurológica sin alteraciones.
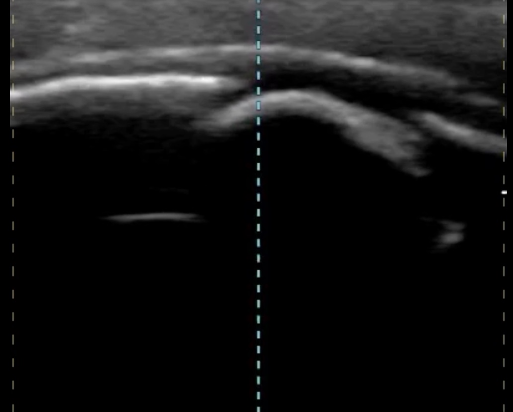
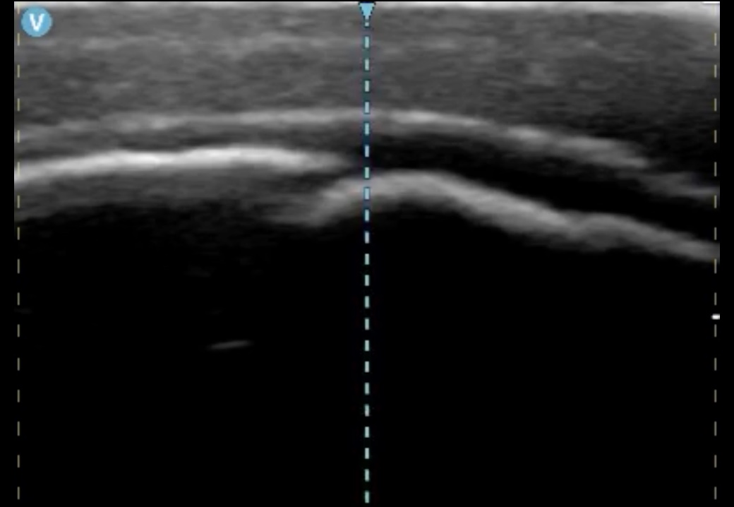
Ante nula mejoría, y retraso considerable en realización de otras pruebas complementarias. Se utiliza sonda lineal de alta frecuencia de ecógrafo portátil para valorar punto de dolor.
Hallazgos ecográficos
En la imagen se observa una disrupción de continuidad cortical ósea con aparente pérdida de esta y con aumento de la ecogenicidad en región perilesional compatible con edema.
Pruebas complementarias
Ante hallazgos solicitamos TAC preferente: Lesión occipital izquierda de 1,2 cm, única, lítica, con secuestro óseo en su interior, sin componente de partes blandas intra o extracraneal. Compatible con granuloma eosinofílico.
Juicio clínico, diagnóstico diferencial, concordancia con el hospital (en su caso)
Previo a TAC, se plantea como diagnóstico diferenciales de lesiones líticas: Tumoración benigna/maligna (granuloma eosinofílico vs metástasis) con o sin afectación intracraneal, malformación congénita o mieloma múltiple.
Juicio clínico: Granuloma eosinofílico.
Tratamiento, planes de actuación
Se realiza interconsulta telemática con departamento de neurocirugía que deciden citación presencial preferente.
Evolución
Neurocirugía indica seguimiento estrecho con TAC anual para descartar progresión que indicaría extirpación.
Un dolor refractario a tratamiento, sin traumatismo previo, con una exploración física normal puede pasar desapercibido en consulta. En este caso el uso de la ecografía permitió acercar a un diagnóstico diferencial de una lesión lítica, a nivel craneal, con posible pronóstico tiempodependiente y potencialmente maligno. Gracias a los hallazgos se amplían estudios de preferente con TAC alcanzando el diagnóstico final. Suerte para el paciente, se trata de la estirpe más benigna de la histiocitosis de células de Langerhans, que precisará seguimiento con TAC anual.


