X Jornadas de Actualización en Medicina de Urgencias y VI Jornadas de Ecografía de la semFYC
6-7-8 de febrero de 2025
Atención Primaria consulta de Centro de Salud.
Dolor en pene.
Antecedentes personales relevantes, anamnesis, exploración física y lugar que ocupa en ella la ecografía
Hombre 28 años.
Antecedentes sin interés.
Anamnesis: Hace 2 semanas, mientras mantenía relaciones, estando en erección se dobló pene hacia abajo y desde entonces presenta dolor en base del pene. No disuria ni hematuria.
Exploración: dolor a la palpación y movilización en ⅓ inferior de cara dorsal del pene. Se palpa formación tubular dura dolorosa. No tumefacción ni hematoma de la zona afectada.
Se decide completar la exploración realizando en consulta una ecografía clínica de pene.
Descripción de los hallazgos ecográficos y las imágenes más relevantes para la resolución del caso
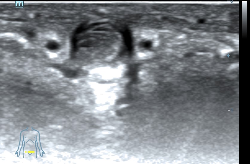
Ecografía clínica pene: se visualiza vena dorsal rellena de material hipoecogénico heterogéneo, no compresible, no flujo con Doppler color.
Otras pruebas complementarias realizadas (si existen)
No se realizaron otras pruebas.
Juicio clínico, diagnóstico diferencial, concordancia con el hospital (en su caso)
Diagnóstico: Trombosis vena dorsal del pene.
Decisiones adoptadas: tratamiento, planes de actuación
Se pauta AINE pra el dolor y se deriva a urología.
Evolución y seguimiento
Urólogo le explica benignidad y que se resolverá espontáneamente. Mantener AINE si dolor.
A la 6ª semana el paciente estaba asintomático.
La trombosis de la vena dorsal del pene (o flebitis de Morton) es una rara entidad que cursa con dolor e induración dorsal, la etiología puede ser traumática, neoplásica, por excesiva actividad sexual o prolongada abstinencia. Puede cursar de forma aguda, subaguda o crónica. Para el diagnóstico, el estudio de imagen ideal es el eco-Doppler y el tratamiento se basa en antiinflamatorios y antibióticos en caso de infección. Pueden ser útiles sustancias heparinizantes locales reservándose el manejo quirúrgico con trombectomía o resección de la vena dorsal para casos persistentes.
Desde la consulta de Atención Primaria, la exploración y ecografía clínica nos permite un diagnóstico rápido y certero, facilitando la toma de decisiones terapéuticas y el seguimiento clínico. 



