5, 6 y 7 de febrero de 2026
Servicio de Urgencias.
Dolor abdominal.
Enfoque individual
Hombre de 75 años con antecedentes de hipertensión arterial y dislipemia, que acude por dolor abdominal de 24 horas de evolución. Inicialmente localiza el dolor en flanco derecho, extendiéndose posteriormente a hipogastrio y región lumbar. Lo describe de gran intensidad, escala visual analógica 9, acompañado de polaquiuria. Niega náuseas, vómitos, diarrea, fiebre o síntomas urinarios obstructivos previos.
En la exploración presenta dolor abdominal generalizado sin signos de irritación peritoneal. Maniobras de Murphy y Blumberg negativas. No palpo masas ni megalias abdominales. Puño-percusión renal bilateral negativa.
Ante la sospecha inicial de cólico nefrítico derecho, se administra fentanilo IV (75 mcg), repitiéndose la dosis tras reevaluación por escasa mejoría clínica.
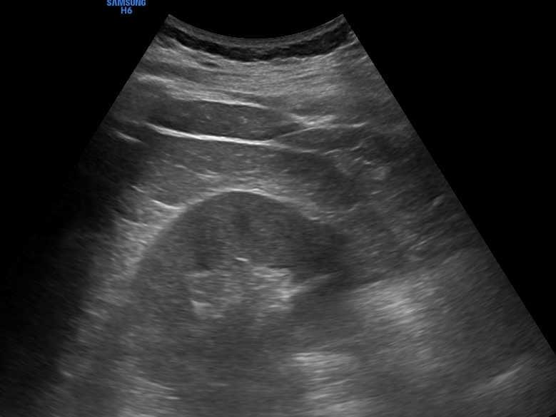
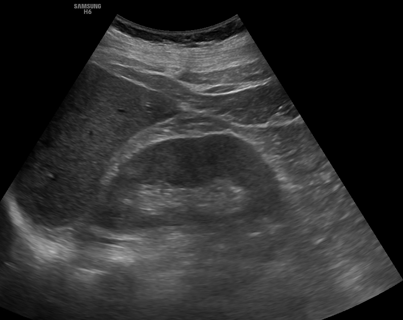
Persistiendo el dolor, se realiza ecografía clínica objetivándose: vejiga con abundante contenido urinario, con sensibilidad a la palpación y sin deseo miccional. Riñones de morfología y ecoestructura normal, sin signos de hidronefrosis. Hígado y vesícula sin alteraciones, sin litiasis y Murphy ecográfico negativo.
Enfoque familiar y comunitario
No fue necesario.
Juicio clínico, diagnóstico diferencial, identificación de problemas
Ante los hallazgos, se plantea la posibilidad de retención aguda de orina (RAO). Este caso ilustra cómo la presentación clínica de la RAO puede simular un cólico nefrítico u otras causas de dolor abdominal agudo.
Tratamiento y planes de actuación
Se realiza sondaje vesical con salida de aproximadamente 700–800 ml de orina. Tras el vaciado, se retira la sonda y se inicia tratamiento con tamsulosina 0,4 mg cada 24 horas, quedando el paciente en observación con buena evolución clínica.
Evolución
La ecografía clínica resultó decisiva al identificar una vejiga distendida sin signos de obstrucción a nivel renal, permitiendo un diagnóstico rápido y un tratamiento inmediato.
Es una herramienta fundamental para la evaluación del dolor abdominal, especialmente en pacientes mayores con clínica inespecífica. Su uso permite optimizar el diagnóstico y mejorar el manejo terapéutico, como en este caso de retención aguda de orina de presentación atípica.


