V Jornadas de Ecografía de la semFYC

9 y 10 de febrero de 2024

Comunicaciones: Casos clínicos

Dolor fosa renal y ecografía (póster)

Ámbito del caso

Atención Primaria.

Motivos de consulta

Dolor fosa renal derecha.

Historia clínica

Enfoque individual

Mujer de 69 años sin antecedentes de interés que acude al centro de salud por presentar dolor en fosa renal derecha de varios días de evolución con sensación distérmica asociada. Exploración: abdomen anodino con puñopercusión renal derecha positiva. Se realiza ecografía renal clínica urgente.

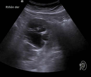
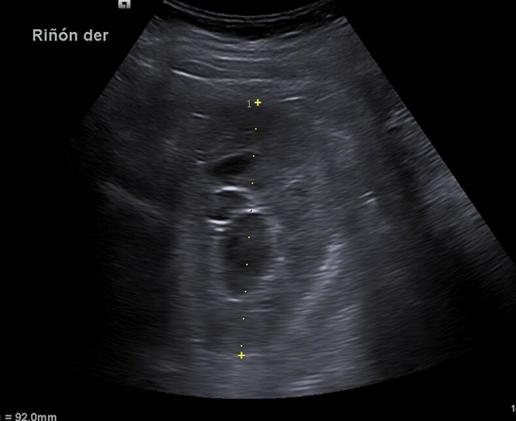
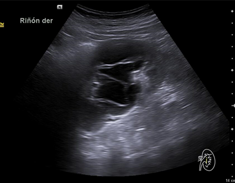
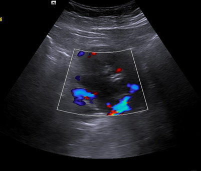
Hallazgos ecográficos

Riñón derecho 9,9 cm con morfología y ecogenicidad conservada. Presenta hidronefrosis grado III. No se identifica causa obstructiva.

Pruebas complementarias

Analítica: función renal preservada. Sedimento con hematíes, resto sin alteraciones.

Juicio clínico, diagnóstico diferencial, identificación de problemas

Estenosis de unión pieloureteral. Diagnóstico diferencial: cólico renoureteral (CRU), ITU Pielonefritis aguda. Tras realizar pruebas complementarias así como valoración por Urología se diagnosticó como Estenosis de unión pieloureteral derecha.

Tratamiento y planes de actuación

Se administró diclofenaco IM en el Centro de Salud, se realizó ecografía clínica urgente y con los resultados se derivó al servicio de Urgencias Hospitalario.

Evolución

Se remite a la paciente a Urgencias donde fue dada de alta con diagnóstico de CRU y tratamiento con Fosfomicina. Consultó al día siguiente, persistiendo el dolor y febrícula, remitiéndose de nuevo a Urgencias. Solicitan estudio de imagen con ecografía y ante los hallazgos se amplió el estudio a TC simple de abdomen: Hidronefrosis grado III con líquido perirrenal sugestivo de rotura de fórnix. Nefrolitiasis puntiformes en ambos cálices inferiores. Sin clara causa obstructiva objetivable. Se contactó con Urología de guardia quien propuso tratamiento ambulatorio con seguimiento posterior y colocación de nefrostomía programas y pielografía para estudio de probable estenosis de unión pieloureteral. Actualmente la paciente permanece en seguimiento por urología.

Conclusiones (y aplicabilidad para la Medicina de Familia)

En este caso la ecografía permitió evaluar de manera rápida y eficiente a la paciente. Los hallazgos fueron determinantes para realizar derivación urgente a los servicios hospitalarios. A pesar del retraso diagnóstico se logró un diagnóstico y manejo adecuado de dicha patología. Así pues, la ecografía facilitó la toma de decisiones y la nueva derivación pertinente al ámbito hospitalario para un tratamiento especializado necesario.
 
 
 
 

Comunicaciones y ponencias semFYC: 2026; Comunicaciones: Casos clínicos. ISSN: 2339-9333

Autores

Rubio Baños, Ana Isabel
CS Profesor Jesús Marín / Hospital Morales Meseguer. Murcia
Alcázar Pérez, Cristina
CS Profesor Jesús Marín / Hospital Morales Meseguer. Murcia