V Jornadas de Ecografía de la semFYC

9 y 10 de febrero de 2024

Comunicaciones: Casos clínicos

Dolor torácico atípico con sorpresa (póster)

Ámbito del caso

Atención Primaria.

Motivos de consulta

Mujer de 49 años de edad que acude a urgencias del centro de salud por dolor torácico tipo pinchazo desde hace 3 semanas y aumento de tamaño de mama izquierda desde hace 1 semana. Sin sintomatología asociada.    

Historia clínica

Enfoque individual

Sin alergias a medicamentos, antecedentes de Hipertiroidismo subclínico. No antecedentes familiares de cáncer de mama. Mamografía hace 5 años normal.
Exploración: mama izquierda aumentada de tamaño con respecto a contralateral. Tumoración indurada adherida a plano profundo, no dolorosa, de unos 4 x 5 cm de diámetro. No palpo adenopatías axilares.  
Electrocardiograma normal.

Se realiza ecografía clínica de mama a descartar proceso infeccioso (mastítis) versus masa palpable sospechosa de malignidad.

Hallazgos ecográficos

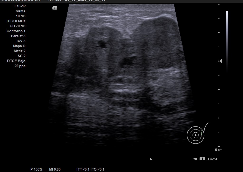
Ecografía: mama izquierda se observa tumoración hipoecogénica lobulada en cuadrante superior externo de aproximadamente 4 cm, heterogénea, que capta al Doppler color y dos adenopatías de aspecto reactivo en axila homolateral. Imagen sospechosa de malignidad.  

Pruebas complementarias

Mamografía bilateral mama izquierda: masa mal definida de al menos 5 cm de diámetro, asociada a un engrosamiento cutáneo y trabecular difusos. Hallazgo sospechoso de malignidad. Adenopatías axilares izquierdas.

Ecografía de mama hospitalaria: Se confirma en mama izquierda masa sólida palpable de al menos 56 mm, de contorno mal definido, sospechosa de malignidad. Se realizará BAG ecoguíada, y adenopatías axilares izquierda de aspectos patológico. PAAF de ganglio izquierdo dirigida por ecografía: Citología positiva para malignidad. Compatible con metástasis de carcinoma. Biopsia BA Tipo histológico: Carcinoma infiltrante. Grado histológico: Grado III, pobremente diferenciado.

Juicio clínico, diagnóstico diferencial, identificación de problemas

Diagnóstico: Carcinoma infiltrante de mama: la ecografía nos ayudó a terminar de sospechar proceso maligno y hacer diagnóstico diferencial con patología benigna de mama como ser quistes mamarios o mastitis.  

Tratamiento y planes de actuación

Se solicitó analítica de sangre, ecografía de mama reglada, mamografía, y se remitió a Unidad rápida de patología de mama, realizando mamografía y ecografía reglada con PAFF y BAG confirmando nuestra sospecha de malignidad. 

Evolución

Actualmente nuestra paciente está pendiente de Oncología para decisión de tratamiento a seguir.

Conclusiones (y aplicabilidad para la Medicina de Familia)

La ecografía en Atención Primaria es una técnica muy útil para clínicas que requieren un diagnóstico diferencial rápido. En este caso, ante una sospecha clínica de malignidad, tras realizar la exploración física, la ecografía nos ha servido para realizar una actuación preferente con el paciente.
 
 
 
 

Comunicaciones y ponencias semFYC: 2026; Comunicaciones: Casos clínicos. ISSN: 2339-9333

Autores

López Creagh, Ana Teresa
UBS Arenal. CS Platja de Palma. Palma de Mallorca
Ramon Grimalt, Xavier
UBS Arenal. CS Platja de Palma. Palma de Mallorca
Cifre Socias, Apol·Lònia
UBS Arenal. CS Platja de Palma. Palma de Mallorca