5, 6 y 7 de febrero de 2026
Atención Primaria.
Cólico renal.
Enfoque individual
Paciente hombre de 56 años sin antecedentes personales de interés que presenta cuadro de dolor de tipo cólico en fosa ilíaca derecha de 4 días de evolución, irradiado a fosa ilíaca derecha, que no mejora con analgesia pautada. Ha tomado dexketoprofeno, metamizol y butilescopolamina con alivio parcial pero empeoramiento del dolor en las últimas 24 horas. No fiebre ni alteración en la diuresis. No otra clínica acompañante.
Exploración física sin hallazgos de interés.
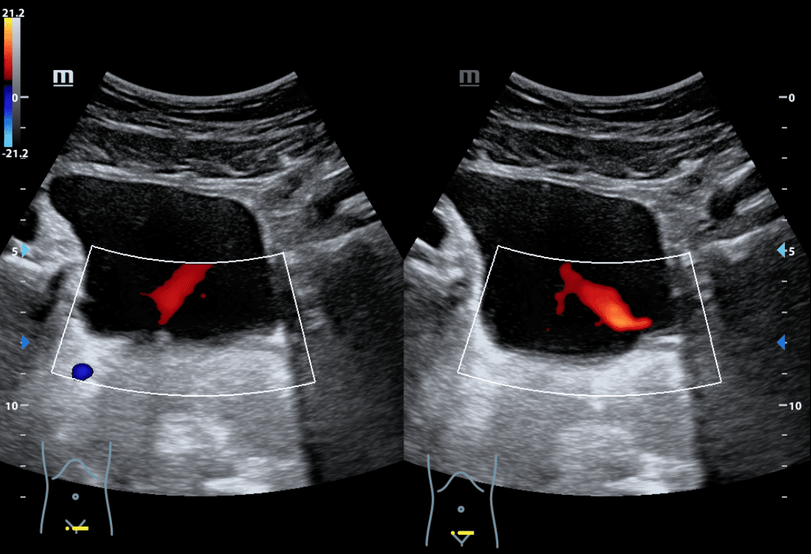
Se realiza ecografía en la misma consulta a fin de descartar cólico renal complicado.
Hallazgos ecográficos
Se observa a nivel de riñón derecho imagen anecogénica en seno renal, con afectación de cálices y desestructuración de la cortical renal. Riñón izquierdo sin hallazgos patológicos. Jets ureterales sin alteraciones. Impresiona de hidronefrosis grado IV.
Pruebas complementarias
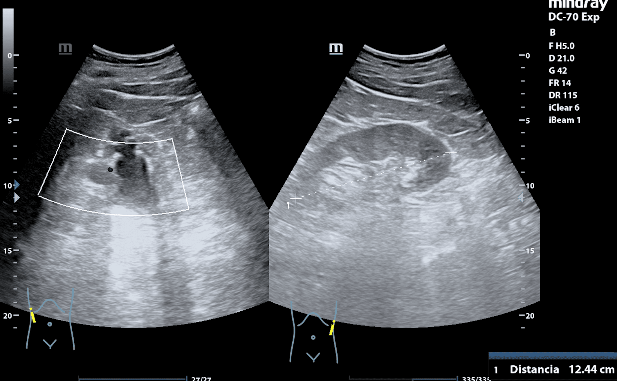
En urgencias se realiza analítica con valores dentro del límite de la normalidad. Se descarta alteración de la función renal. Se confirman los hallazgos mediante ecografía en servicio de urgencias hospitalario.
Juicio clínico, diagnóstico diferencial, concordancia con el hospital (en su caso)
Cólico renal complicado. Hidronefrosis grado IV.
Tratamiento, planes de actuación
Se decide derivación al servicio de urgencias hospitalario para su valoración por urología ante cólico renal con mal manejo del dolor y hallazgo de hidronefrosis grado IV.
Evolución
Ante la ausencia de afectación de la función renal y buena evolución del paciente mediante ajuste de analgesia se decide citar en consultas externas a las 48 horas para valoración del caso. Una vez en consulta el paciente refiere franca mejoría y posible expulsión de piedra. Imagen ecográfica de seguimiento sin hallazgos (no se dispone de dichas imágenes).
La ecografía nos permite realizar no solo un diagnóstico sino un adecuado seguimiento del paciente y es de gran utilidad en la orientación diagnóstica de complicaciones susceptibles de derivación urgente.

