5, 6 y 7 de febrero de 2026
Enfoque individual
Antecedentes: ACxFA paroxística, sin anticoagulación. Neoplasia de colon con colostomía total intervenido 15 días antes. ERC estadio 4A1 de causa obstructiva.
Anamnesis: Paciente de 71 años. Presenta dolor de 2 días en gemelo derecho. Empeora al deambular y a la compresión de la zona. Ha acudido a médico de cabecera y a fisioterapeuta que han orientado como dolor muscular al aparecer después de caminar más intensamente.
Exploración: ambas piernas simétricas, no aumento de tamaño, eritema o edema en pierna derecha ni aumento de temperatura respeto contralateral. Signo de Homans y Ollow positivos. No dilatación venas superficialas ni cordón venoso palpable.
FC: 98 lpm.
Escala Wells: 2.
Homans y Ollow positivo, antecedentes protrombóticos y Wells 2 se decide realizar ECO clínica.
Hallazgos ecográficos
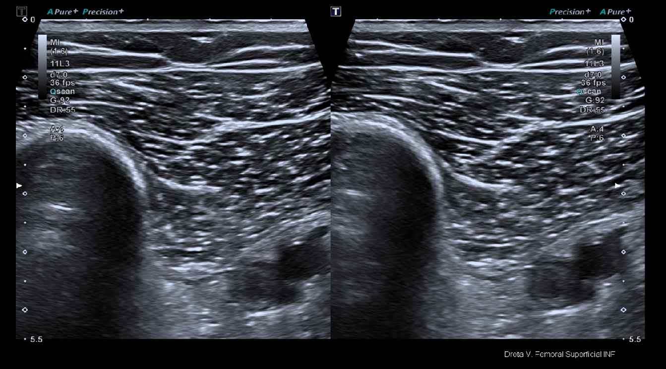
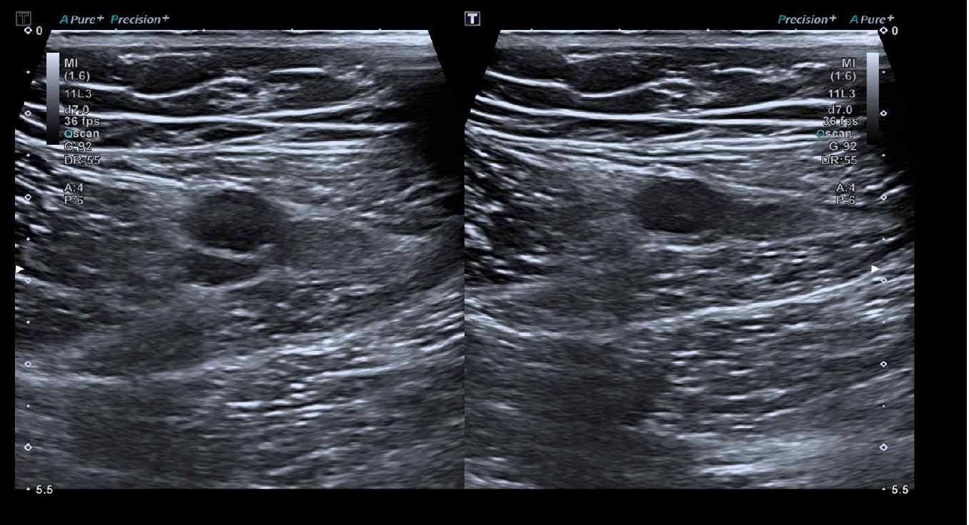
ECO TVP: impresiona de ocupación prácticamente total de la luz, ausencia de compresibilidad, con flujo sanguíneo por doppler en aproximadamente un 20%, de la vena femoral en zona proximal. La ocupación de la luz persiste en unos 4 cm de longitud. En vena poplítea si se observa flujo sanguíneo correcto.
Pruebas complementarias
ECG: Ritmo sinusal, no alteraciones en la repolarización.
Analítica sanguínea: Dímero D de > 20 mcg/ml. Tiempo protrombina 85%. INR 1.12.
Juicio clínico, diagnóstico diferencial, concordancia con el hospital (en su caso)
Diagnóstico probable: TVP en EEII derecha por clínica, analítica sugestiva, antecedentes protrombóticos y ECO clínica sugestiva.
Diagnóstico diferencial: dolor muscular, por absencia de clínica típica con edema, eritema y aumento de temperatura.
Tratamiento, planes de actuación
Por sospecha de TVP se deja en observación la noche, se inicia anticoagulación con heparina sódica y se programa ECO Flebografía.
Evolución
ECO Flebografía MMII: Aumento del diámetro en vena femoral superficial, poplítea, tibial posterior y gemelares con presencia de material ecogénico en su interior, carencia de compresibilidad y ausencia de flujo doppler, compatible con trombosis venosa profunda.
Se confirma el diagnóstico y desde urgencias se inicia anticoagulación con sintrom y heparina por 5 días, con control por equipo Atención Primaria. Se da de alta hospitalaria.
La ECO clínica a pie de cama es una prueba sencilla y rápida para el identificación de TVP ya que es una herramienta de fácil acceso que permite realizar un diagnóstico diferencial de forma temprana en servicios donde no se dispone de radiólogo/a.



