5, 6 y 7 de febrero de 2026
Enfoque individual
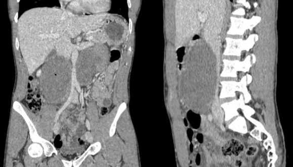
Historia clínica: Antecedentes personales: no enfermedades previas de interés, no antecedentes quirúrgicos, no alergias conocidas. Hábitos tóxicos: tabaco 1 paquete/día; cocaína, cannabis y TUSI, uso recreativo; alcohol, ocasional. Anamnesis: Paciente masculino de 28 años de aspecto atlético, que consulta por dolor abdominal de inicio súbito en epigastrio y mesogastrio, EVA 8/10, de 4-5 horas de evolución, sin otros síntomas asociados. Refiere consumo de anabolizantes (anabolizantes del GYM: boldenona, testosterona), además de proteína y creatina. Exploración: TA: 155/100 Abdomen: RHA presentes y conservados, abdomen blando, depresible, doloroso a la palpación superficial ni profunda en mesogastrio e hipogastrio. Sin signos de irritación peritoneal. Pruebas complementarias: Ecografía A pie de cama Se realiza barrido con sonda convexa; se observan dos masas lobuladas en la región del mesogastrio, heterogéneas e hiperecogénicas, derecha con área anecoica, diámetro aproximado de 16 cm, con paredes bien definidas, que no capta con Doppler. Tras control del dolor, se decide remisión al hospital de referencia, donde se completa estudio con analíticas, TAC y BAG de las lesiones: Analíticas: LDH 1,361 U/L (<300), PROTEÍNA C REACTIVA 17,19 mg/dL (<0,5), BETA-2 MICROGLOBULINA 2.903 µg/L (<2,5). BETA HCGMT 5,43 mU/mL (<5). TAC: CONCLUSIÓN: Las lesiones descritas presentan aspecto inespecífico, debiendo plantear dentro de diferentes posibilidades diagnósticas que correspondan a extensos conglomerados ganglionares o lesiones infiltrativas primarias/secundarias, incluso debiendo plantear como posibilidad tumores germinales. BAG de las lesiones eco guiada: Anatomía patológica SEMINOMA
Enfoque familiar y comunitario
No fue necesario.Juicio clínico, diagnóstico diferencial, identificación de problemas
Juicio clínico: Seminoma con metástasis ganglionar no visceral.
Diagnóstico diferencial: Dolor abdominal por perforación de víscera hueca, pancreatitis, cólico nefrítico obstructivo.
Tratamiento y planes de actuación
Tras el diagnóstico posterior a la anatomía patológica, se realiza ecografía testicular, observando el seminoma en testículo derecho; se realiza orquiectomía radical derecha + quimioterapia (esquema BEP).
Evolución
Muy Buena Evolución, con cura total del paciente.


