5, 6 y 7 de febrero de 2026
Atención Primaria.
Gonalgia derecha.
Enfoque individual
Antecedentes personales relevantes: ninguno.
Anamnesis: hombre de 32 años que acude a consulta por gonalgia derecha de dos meses de evolución. Dolor intermitente durante estos meses, que se ha intensificado tras un viaje en el que ha caminado más de lo habitual. Actualmente dolor a la movilización acompañado de edema e inflamación de dicha articulación.
Exploración física: rodilla derecha con visible edema y tumefacción, sin signo de peloteo rotuliano. No dolor en hueco poplíteo y pulso poplíteo presente. Dolor a la flexo-extensión. Maniobras meniscales y ligamentosas negativas.
Lugar que ocupa en ella la ecografía: ante dicha exploración física se decide realizar una ecografía clínica.
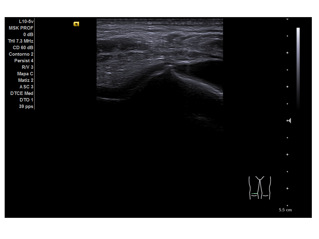
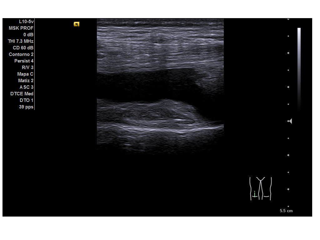
Hallazgos ecográficos
Durante la ecografía se observa una imagen anecoica suprarrotuliana, bajo el tendón del cuádriceps, compatible con una bursitis suprarrotuliana a nivel de la porción medial del cóndilo femoral medial de la rodilla derecha tanto en cortes transversales como longitudinales. Resto de las imágenes obtenidas se encontraban dentro de la normalidad.
Pruebas complementarias
Dados los hallazgos ecográficos, se decide realizar una artrocentesis evacuadora, extrayéndose aproximadamente 60 mL de líquido sinovial. El líquido, de aspecto macroscópico turbio y amarillento, se envió a analizar al laboratorio del hospital de referencia, cuyo resultado fue: leucocitos 8.667 cél/uL, polimorfonucleares 72 %, mononucleares 28 % y cristales de urato monosódico presentes.
Juicio clínico, diagnóstico diferencial, concordancia con el hospital (en su caso)
Juicio clínico: monoartritis por cristales de urato monosódico en rodilla derecha.
Diagnóstico diferencial: artritis por cristales de pirofosfato de calcio dihidratado, artritis reactiva y lesión traumática con hemartrosis.
Tratamiento, planes de actuación
Tras la artrocentesis se realizó una infiltración intraarticular de corticoides, con posterior mejoría clínica del dolor y de la limitación funcional.
Evolución
Tras la obtención del resultado del análisis del líquido sinovial y establecer el diagnóstico etiológico, se instauró tratamiento con alopurinol para prevenir posibles crisis futuras.
La ecografía en AP permite un diagnóstico precoz y un manejo eficiente de patologías articulares. Este caso destaca también la importancia de analizar todo líquido obtenido, incluso si no es estrictamente articular, para obtener información diagnóstica relevante y evitar errores clínicos.



