V Jornadas de Ecografía de la semFYC

9 y 10 de febrero de 2024

Comunicaciones: Casos clínicos

Ecografía clínica en fosa ilíaca derecha: serie de casos (póster)

Ámbito del caso

Atención Primaria

Motivos de consulta

Se presentan 2 casos clínicos de pacientes que presentan dolor abdominal.

Historia clínica

Enfoque individual

Caso 1. Mujer de 21 años con dolor en epigastrio tipo cólico y periumbilical de horas de evolución, sin nauseas o vómitos, ni alteración del hábito intestinal ni fiebre. Sin antecedentes de interés. Exploración: dolor en mesogastrio, epigastrio y flanco derecho con Blumberg dudoso. Test de gestación negativo.

Caso 2. Varón de 16 años con dolor abdominal intermitente de 2-3 semanas, empeoramiento del dolor en últimas 24 horas. No otros síntomas. Sin antecedentes de interés. Exploración: dolor en HCD y flanco derecho, sin signos de irritación peritoneal.

Hallazgos ecográficos

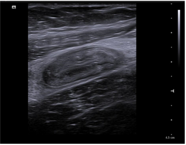
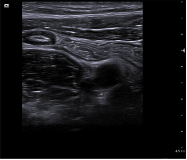
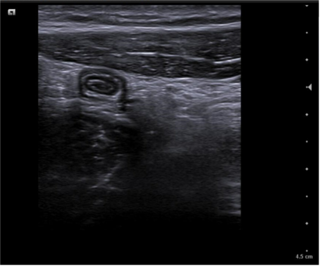
Caso 1. Asa intestinal en FID con poca movilidad (vista con sonda lineal) posible apendicitis. 

Caso 2. Asa intestinal fija con edema de pared por posible apendicitis o ileitis. Corte transversal con signo del donut.

Pruebas complementarias

Caso 1. Analítica: PCR < 3, leucocitos 12870 y neutrófilos 11320. Resto normal. Ecografía radiología: segmento corto de ileon distal con grosor parietal en el límite alto de la normalidad, leves cambios inflamatorios en la grasa regional y distensión del ileon proximal a este punto. A valorar ileitis si clínica compatible.

Caso 2. Analítica: sin hallazgos significativos. Ecografía radiología: hallazgos en el límite de la normalidad de apendicitis sin poder descartarse. Anatomia patológica de apendicectomía: apéndice de arquitectura conservada con actividad intraepitelial.

Juicio clínico, diagnóstico diferencial, identificación de problemas

Caso 1. Apendicitis aguda. EII.

Caso 2. Apendicitis aguda.

Tratamiento y planes de actuación

Caso 1. Se deriva a urgencias hospitalarias donde se propone ingreso, se pauta antibiótico y por consenso con la paciente continuar estudio en AP y consultas de digestivo.

Caso 2. Se deriva a urgencias. No remisión del dolor pese a analgesia, se decide intervención quirúrgica urgente.

Evolución

Caso 1. Mejoría sintomática, en estudio posible EII, calprotectina fecal 84.1ug/g tras episodio.

Caso 2. Se realiza apendicectomía laparoscópica con evolución satisfactoria.

Conclusiones (y aplicabilidad para la Medicina de Familia)

La ecografía realizada por un médico de familia puede ser una herramienta valiosa para mejorar la incertidumbre en casos de dolor en fosa iliaca derecha o abdomen agudo. Permite visualizar la inflamación del apéndice, identificar signos como agrandamiento y engrosamiento de la pared, y descartar otras condiciones similares. Además, en poblaciones específicas como mujeres embarazadas o niños, donde se busca evitar la radiación, puede ser especialmente útil.

 


Comunicaciones y ponencias semFYC: 2026; Comunicaciones: Casos clínicos. ISSN: 2339-9333

Autores

Pascual Martínez-Fresneda, Macarena
CS San Antón. Cartagena
Farah-Addine Farah-Addine, Hasna
CS San Antón. Cartagena
Muñoz Ureña, Alfonso Miguel
CS San Antón. Cartagena