5, 6 y 7 de febrero de 2026
Atención Primaria.
Disnea de moderados esfuerzos y edemas de miembros inferiores.
Enfoque individual
Se trata de hombre de 77 años que acude a consulta de atención primaria por referir dificultad respiratoria asociado a moderados esfuerzos y molestias torácicas que ceden con el reposo. Entre sus antecedentes se encuentran hipertensión arterial sin registro de controles, hiperlipemia mixta y enfermedad pulmonar obstructiva crónica en tratamiento. En el interrogatorio reconoce toma errática de medicación en ocasiones y mantiene hábito tabáquico.
A la exploración física presenta taquipnea bien tolerada, crepitantes basales bilaterales y edema con fóvea hasta tercio distal de ambas extremidades inferiores. La tensión arterial estaba elevada y la saturación de oxígeno basal era de 92-93%.
Hallazgos ecográficos
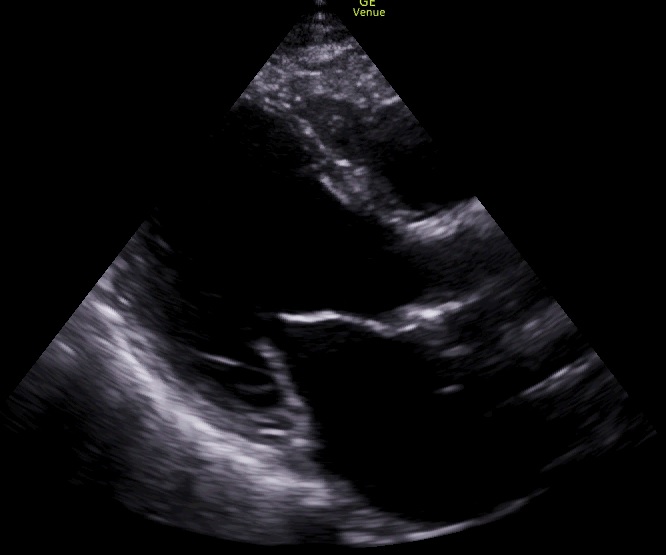
Se realiza ecoscopia a pie de cama en la que se visualiza una fracción de eyección del ventrículo izquierdo (FEVI) disminuida. Se compara con ecocardiograma reglado anterior en el que la FEVI estaba conservada.
Pruebas complementarias
Revisamos la medicación prescrita al paciente, así como las últimas consultas externas en cardiología y neumología (ambas de hace más de un año). Electrocardiograma en ritmo sinusal con eje izquierdo.
Juicio clínico, diagnóstico diferencial, concordancia con el hospital (en su caso)
Juicio clínico: primer episodio de insuficiencia cardíaca.
Diagnósticos diferenciales: miocardiopatía dilatada, enfermedad coronaria, valvulopatías, agudización de EPOC,
A su llegada a urgencias, solicitan analítica que confirma insuficiencia cardíaca con valores de NTproBNP elevados (> 2500). Además personal de urgencias repite la ecoscopia confirmando FEVI reducida.
Tratamiento, planes de actuación
Se decide derivación urgente a urgencias hospitalarias para realización de pruebas complementarias. Es valorado por cardiología, quien tras ecocardiograma y resultados de analítica, decide su ingreso para tratamiento deplectivo con interconsulta a neumología para adecuación de tratamiento de EPOC. Evoluciona favorablemente y es dado de alta.
Evolución
Tras el alta, vuelve a consulta para seguimiento, con buena evolución de edemas en miembros inferiores, mejoría clínica significativa. Se realiza nueva ecoscopia, en la que persiste FEVI deprimida, pero con mejoría sintomática.
En este caso, la ecografía clínica o POCUS (Point-of-Care Ultrasound) ha sido una herramienta que complementa y agiliza la toma de decisiones desde la consulta de atención primaria para la identificación precoz de signos de congestión, diagnóstico diferencial entre patología pulmonar y cardíaca así como la monitorización en caso de destreza en esta.
