5, 6 y 7 de febrero de 2026
Atención Primaria.
Mujer de 63 años que acude por dolor abdominal de larga evolución.
Enfoque individual
Antecedentes personales relevantes:
Hipertensión arterial, exfumadora, no consumo de enol ni otros tóxicos.
Medicación: ramipril/hidroclorotiazida 5/25 mg.
Anamnesis
Paciente con dolor abdominal no irradiado de predominio postprandial de un año de evolución, intermitente. Niega vómitos, náuseas, o fiebre. No lo relaciona con ningún tipo de comida.
En anterior centro de salud se realizan pruebas de analítica sanguínea con hemograma, colesterol, glucemia, perfil hepático y renal sin alteraciones; y detección de Helicobacter pylori en heces negativo.
Exploración física:
Buen estado general, normocoloreada y normohidratada.
Auscultación cardiopulmonar: tonos rítmicos sin soplos. Murmullo vesicular conservado, sin ruidos sobreañadidos.
Abdomen: blando y depresible, molestias a la palpación en epigastrio e hipocondrio derecho, no se palpan masas ni megalias. Signo de Murphy y Blumberg negativos.
Se cita para realizar una ecografía abdominal en el centro de salud por sospecha de litiasis biliar.
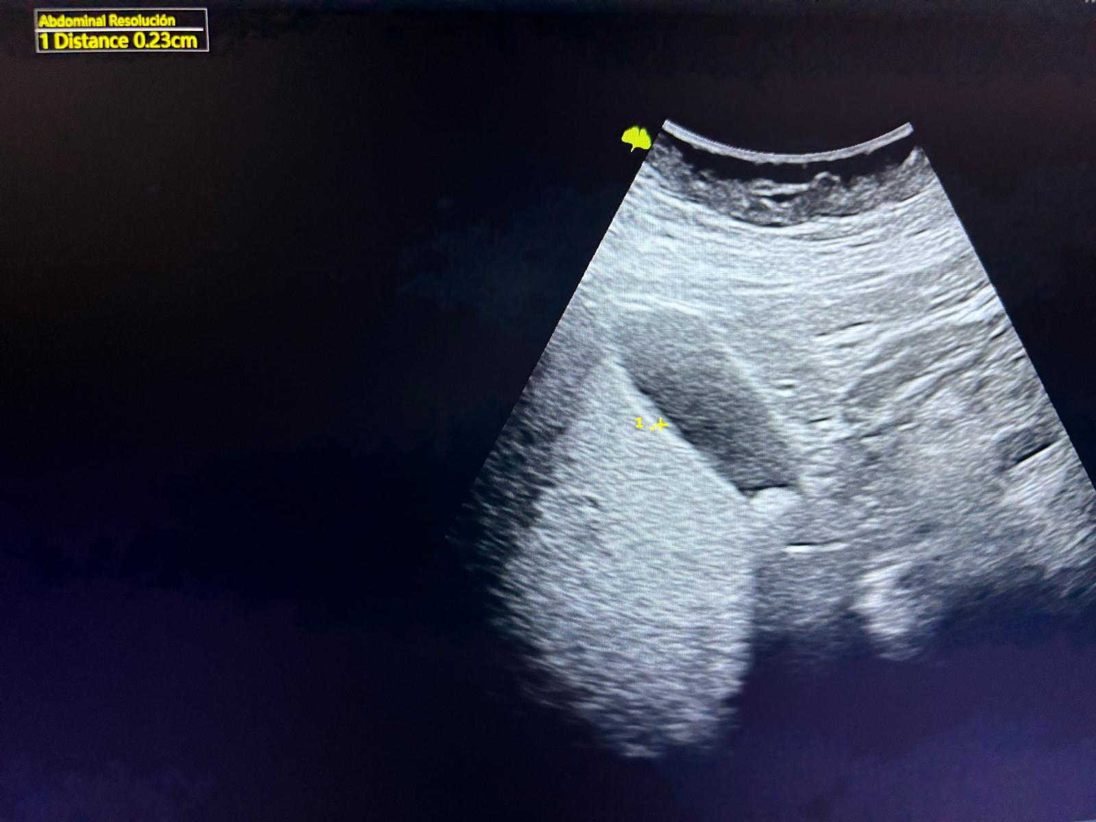
Hallazgos ecográficos
Vesícula biliar de 5,89 x 2,74 cm no distendida, paredes finas de 0,23 cm. Se visualiza imagen hiperecogénica redondeada única de 1 x 0,67 cm en infundíbulo con sombra posterior sugestiva de litiasis.
Pruebas complementarias
No precisan.
Juicio clínico, diagnóstico diferencial, concordancia con el hospital (en su caso)
Juicio clínico: clínica y ecografía compatibles con colelitiasis sintomática no complicada.
Diagnóstico diferencial: colecistitis, colangitis, coledocolitiasis, gastritis, dispepsia funcional, cólico nefrítico derecho.
Tratamiento, planes de actuación
Se inicia tratamiento con una dieta baja en grasas y comidas fraccionadas, intentando evitar el ayuno prolongado, así como analgesia puntual con Metamizol 575 mg. Se explican signos de alarma y reconsulta.
Se realiza derivación a cirugía general para colecistectomía preferente, actualmente pendiente de citación.
Evolución
Pendiente citación cirugía general.
La presencia de la ecografía en la consulta de Atención Primaria en este caso ha facilitado un diagnóstico preciso ante un síntoma frecuente e inespecífico como es el dolor abdominal crónico. Ha evitado la derivación hospitalaria para realizar esta misma prueba y, consecuentemente, ha acortado el tiempo de espera hasta la realización de la cirugía. Además, ha permitido descartar posibles complicaciones asociadas a la patología.


