5, 6 y 7 de febrero de 2026
Data gestacional.
Enfoque individual
Mujer de 31 años de edad con antecedentes personales de menstruaciones irregulares, es derivada desde la consulta de la matrona para data gestacional, fecha de última regla (FUR): 25/09/2025, edad gestacional 4+1 por FUR, refiere manchado escaso marronáceo con dolor suprapúbico. Exploración física:
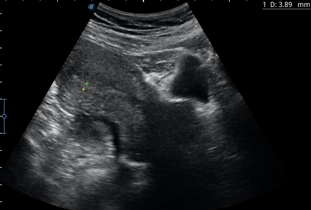
Hallazgos ecográficos abdominales: útero en anteversión, de tamaño y ecogenicidad normales; línea endometrial de 3,89 mm. No se objetiva estructura embrionaria (ni saco vitelino ni polo fetal). En anejo izquierdo se visualiza una lesión anecoica de 59,64 mm de diámetro que parece depender del mismo, no septada. No se observa líquido libre.
Ecografía transvaginal en urgencias hospitalarias: útero en anteversión de 74,44 mm, con imagen anecoica en fondo sugestiva saco gestacional de 7 misión visualizarse aun VV.
Ninguno.
Juicio clínico, diagnóstico diferencial, identificación de problemas
Lesión paranexial que podría corresponderse con un quiste simple descubierto de forma incidental. Sin visualización de saco gestacional. En urgencias hospitalarias no hubo concordancia y se diagnostica gestación incipiente.
Alta hospitalaria el 24/10/2025, sin cita para revisión, control de gestación según cita con matrona, tratamiento con hierro y yodo, se comentan síntomas de por qué volver a consulta no descrito en el alta.
Cirugía: salpinguectomía izquierda, el 15/11/2025 alta con tratamiento para reponer hierro, antipirético más antinflamatorios, cuidados de enfermería, se explican signos de alarma por lo que volver a consultar. El 17/11/2025 revisión en consulta con ginecología: sangrado menor que regla, útero en AVF, regular de 78 x 34 mm. Endometrio de 3,5 mm, OD 26 mm, OI 35,6 mm. Mínima cantidad de líquido libre (máx.: 20 mm).
La ecografía obstétrica precoz realizada en Atención Primaria es una herramienta clave para la evaluación inicial del embarazo. Aunque en las primeras semanas la visualización embrionaria puede ser limitada, la presencia de una masa anexial y la ausencia de saco gestacional intrauterino deben mantener un alto índice de sospecha de gestación ectópica, incluso ante pruebas ambiguas o informes discordantes. Una adecuada interpretación ecográfica, la valoración de síntomas de alarma y el seguimiento estrecho son fundamentales para evitar retrasos diagnósticos y reducir la morbimortalidad asociada al embarazo ectópico.



