5, 6 y 7 de febrero de 2026
Atención Primaria
Disnea y edemas
Enfoque individual
Primera visita de paciente senegalés de 54 años nuevo en el cupo. Barrera idiomática.
Antecedentes Personales: Fibrilación auricular anticoagulada con acenocumarol. Enfermedad valvular con implante de válvula mitral mecánica. Tratamiento: atenonol, hidroclorotiazida, omeprazol, ramipril, rosuvastatina
Consultó por disnea de moderados esfuerzos y edemas de 20 días de evolución.
Exploración Física con pulsioximetría de 94%, crepitantes en base izquierda e hipoventilación en base derecha. Edemas en miembros inferiores (+++) y en cara. Hemodinámicamente estable.
Realizamos ecografía clínica pulmonar y ecocardioscopia de forma inmediata. Solicitamos radiografía, electrocardiograma y analítica urgentes.
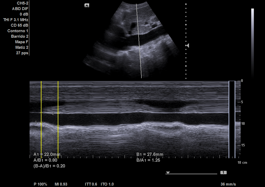
Hallazgos ecográficos
Ecografía pulmonar: derrame pleural bilateral con múltiples líneas B.
Ecocardiografía: importante dilatación auricular izquierda y derecha, vena cava no colapsable.
Pruebas complementarias
Radiografía de tórax: cardiomegalia y derrame pleural bilateral.
Electrocardiograma: fibrilación auricular a 72 latidos por minuto, QRS estrecho, sin alteraciones agudas en la repolarización.
Analítica de sangre: NT Pro-BNP 4000 pg/mL, patrón de colestasis, INR <2
Juicio clínico, diagnóstico diferencial, concordancia con el hospital (en su caso)
Juicio clínico: Insuficiencia cardiaca aguda. Enfermedad valvular con sospecha de prótesis disfuncionante.
Diagnóstico diferencial: Tromboembolismo pulmonar, Reagudización de enfermedad pulmonar, taponamiento cardiaco, edema agudo de pulmón.Tratamiento, planes de actuación
Se inició tratamiento con 2 comprimidos de furosemida 40 mg al día y dapagliflozina 10 mg. Revisión en 5 días con gran mejoría clínica.
Se derivó a Cardiología de forma preferente para realizar ecocardiograma y valorar necesidad de intervención valvular.
Evolución
El paciente fue citado en cardiología en el plazo de una semana ante las imágenes de la ecografía clínica aportadas, donde se confirmó mediante ecocardiografía: prótesis mecánica mitral disfuncionante por probable trombosis protésica, Insuficiencia tricúspidea muy severa, hipertensión pulmonar severa y datos de congestión venosa sistémica.
Con estos hallazgos fue derivado a cirugía cardiovascular.
La ecografía en Atención Primaria aporta una mirada inmediata y objetiva del paciente en apoyo a la toma de decisiones. Permite detectar precozmente congestión y disfunción valvular, orientando decisiones terapéuticas y derivaciones prioritarias. De este modo se convierte en una extensión natural de la exploración, mejorando precisión diagnóstica y seguridad clínica, reduciendo incertidumbre y reafirmando el papel del médico de familia como observador accesible, cercano y resolutivo.



