5, 6 y 7 de febrero de 2026
Implementar un protocolo de ecografía clínica en Atención Primaria para la caracterización sistemática de adenopatías periféricas, utilizando criterios morfológicos y Doppler que permiten orientar hacia patrones de benignidad y reconocer características ecográficas asociadas a adenopatías potencialmente sospechosas de malignidad, garantizando una interpretación más segura y consistente en la práctica diaria.
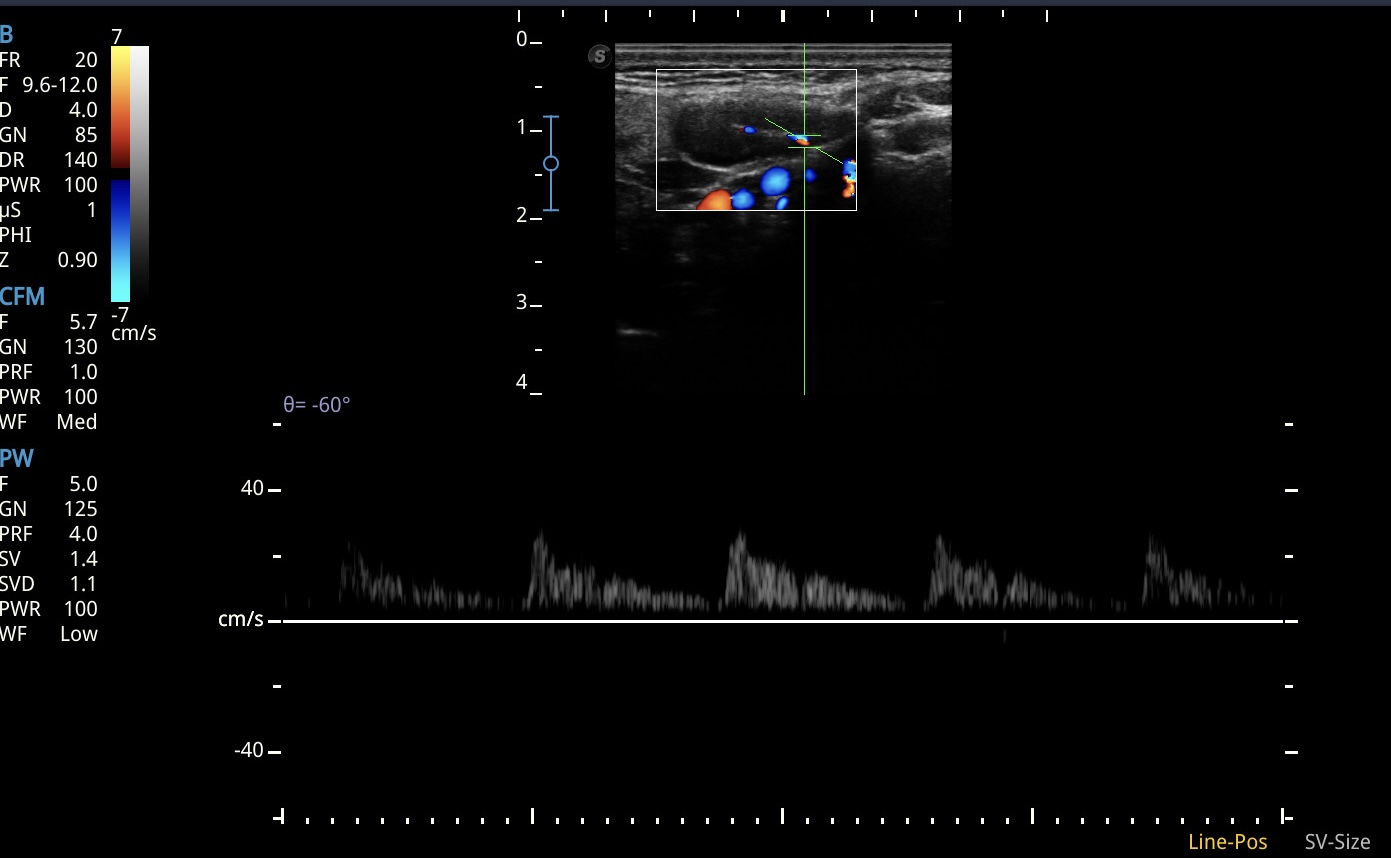
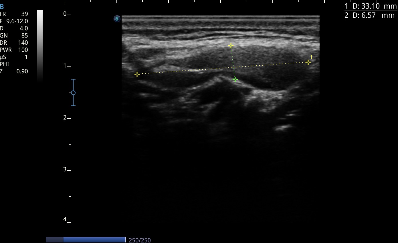
La experiencia consistió en incorporar un enfoque ecográfico metódico para la valoración de adenopatías palpadas en consulta. El protocolo se estructuró en la evaluación del eje corto, la relación eje largo/eje corto, la presencia y morfología del hilio ecogénico, la regularidad cortical, los contornos y el patrón vascular Doppler, pilares fundamentales para la estratificación ecográfica de adenopatías.
En todas las exploraciones realizadas se identificaron adenopatías benignas, mayoritariamente reactivas, en regiones cervicales, axilares e inguinales. Los hallazgos mostraron consistentemente morfología ovalada, hilio conservado, ecoestructura homogénea, cortical fina y vascularización central, características clásicas de benignidad.
Aunque en nuestra experiencia no se detectaron adenopatías con rasgos sospechosos, la aplicación sistemática del protocolo permitió buscar activamente criterios ecográficos que, de estar presentes, orientarían a sospecha de malignidad, como pérdida del hilio, engrosamiento cortical, redondeamiento, heterogeneidad marcada o vascularización periférica. La ausencia de estos hallazgos reforzó la seguridad diagnóstica y facilitó un manejo conservador adecuado al contexto clínico y a las necesidades asistenciales del paciente.
La ecografía se consolidó así como una herramienta de alto valor para diferenciar adenopatías reactivas de hallazgos potencialmente sospechosos, incluso en series donde predominan patrones benignos y no se identifican signos preocupantes durante la exploración.
La ecografía sistemática permite caracterizar adenopatías periféricas con precisión y aporta criterios sólidos para distinguir patrones benignos de posibles hallazgos sospechosos, aumentando la seguridad diagnóstica en Atención Primaria.
El protocolo es reproducible en cualquier consulta con acceso a ecografía clínica. Su uso mejora la capacidad resolutiva, reduce derivaciones innecesarias y optimiza el seguimiento de adenopatías periféricas en el primer nivel asistencial.



