Comunicaciones: Casos clínicos

Ecografía tiroidea: diagnóstico temprano de estenosis carotídea (póster)

Ámbito del caso

Atención Primaria.

Motivos de consulta

Ecografía tiroidea de control en atención primaria: hallazgo incidental de placas carotídeas.

Historia clínica

Enfoque individual

Mujer de 78 años, con hipertiroidismo, remitida a cirugía vascular tras hallazgo incidental de placas carotídeas durante ecografía tiroidea de control en atención primaria. Asintomática, sin síntomas neurológicos.

Hallazgos ecográficos

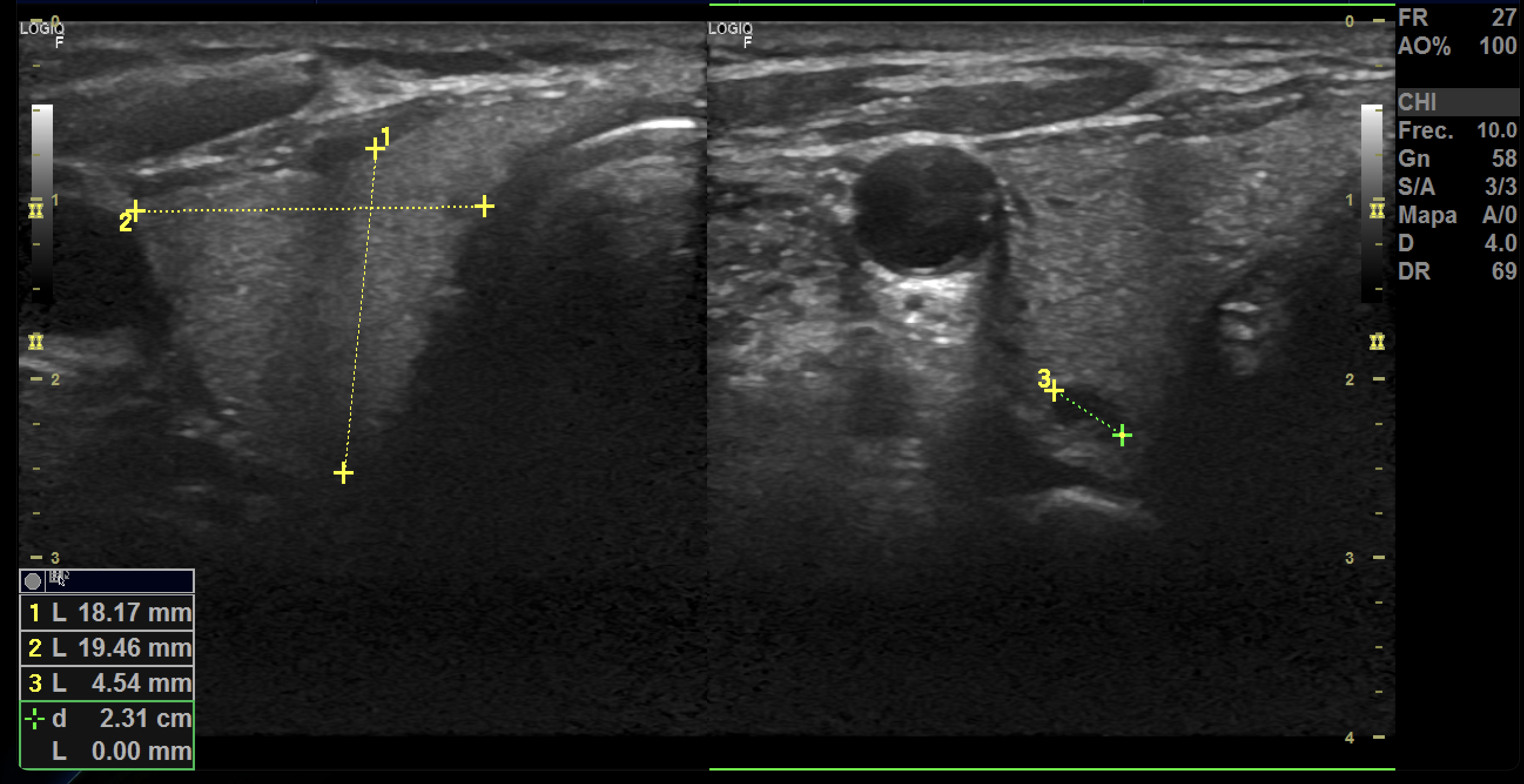
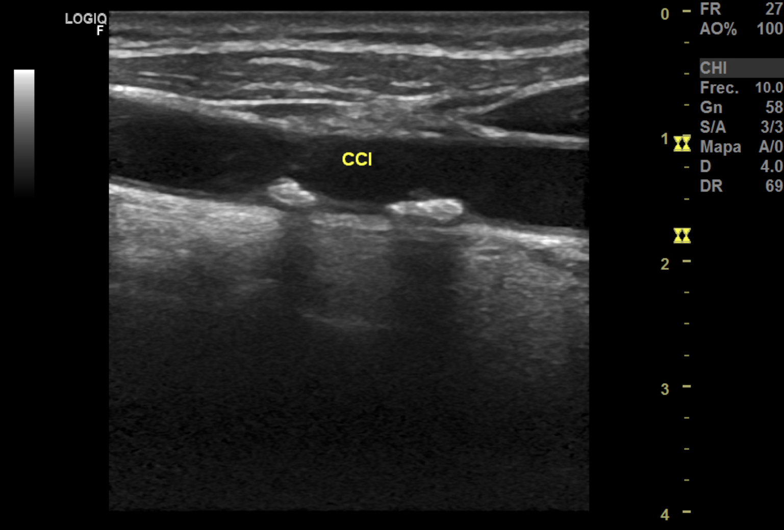
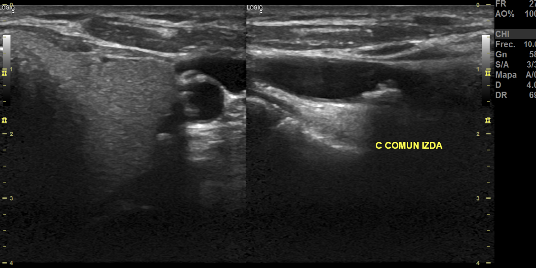
La ecografía Doppler carotídea realizada en AP mostró placas hiperecoicas y calcificadas en ambas carótidas comunes, con estenosis bilateral de aproximadamente 20% del lumen. Carótidas externas e internas permeables y morfología normal.

Pruebas complementarias

Se remite a especialista que realizará seguimiento con control ECO Doppler.

Juicio clínico, diagnóstico diferencial, concordancia con el hospital (en su caso)

Hallazgo incidental de placas ateroscleróticas subclínicas. Diagnóstico especializado hospitalario: ateromatosis de carótida común bilateral.

Tratamiento, planes de actuación

El hallazgo modificó la valoración de riesgo cardiovascular de la paciente. El manejo incluyó vigilancia activa y optimización de factores de riesgo: dieta cardiosaludable, ejercicio físico regular y control estricto de glucemia y lípidos, manteniendo tratamiento con ácido acetilsalicílico y estatinas como prevención secundaria frente a enfermedad aterosclerótica desde su detección en Atención Primaria.

Evolución

Desde 2019, las placas se mantienen sin progresión significativa del grado de estenosis.

Conclusiones y aplicabilidad para la medicina de familia

La ecografía tiroidea realizada en atención primaria, extendiéndose un poco más allá del órgano en estudio, permitió detectar esta enfermedad subclínica, facilitando una actuación temprana y reduciendo el riesgo de futuros eventos cerebrovasculares.
 
 

Comunicaciones y ponencias semFYC: 2026; Comunicaciones: Casos clínicos. ISSN: 2339-9333

Autores

Iovino Iovino, Flavia
CS La Chopera. Alcobendas, Madrid
Lorite Peinado, Elena
CS La Chopera. Alcobendas, Madrid
Gonzalez Ferreira, Laura Isabel
CS La Chopera. Alcobendas, Madrid