5, 6 y 7 de febrero de 2026
Atención Primaria.
Masa dolorosa supraclavicular de 10 días de evolución.
Enfoque individual
Mujer de 27 años, ambos progenitores fallecidos por cáncer de colon precoz, Síndrome de Lynch descartado. Convivencia con perro y gato.
Masa dolorosa a nivel supraclavicular de 10 días de evolución, ninguna otra sintomatología.
Bultoma supraclavicular firme pero no pétreo, adherido a planos profundos. No ingurgitación yugular, palpación tiroidea normal. No otras adenopatías. Restos de pintura de henna en la mano tras viaje a Marruecos, sin reacción dermatítica. No arañazos o mordedura de animales.
La ecoscopia a pie de cama permitió una valoración precoz del bultoma, para realizar un rápido diagnóstico diferencial y optimizar la petición de pruebas complementarias.
Hallazgos ecográficos
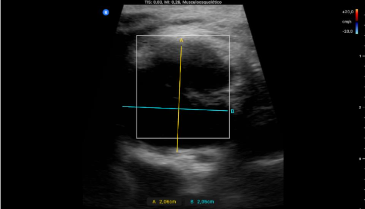
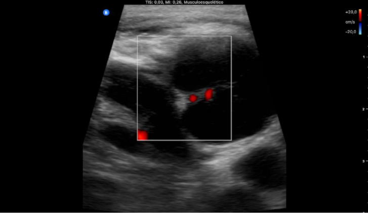
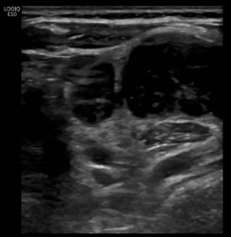
Objetivación de conglomerado adenopático con 2 adenopatías predominantes redondas de 2 cm, bien delimitadas, con hilio periférico y vascularización en hilio. Tiroides normal, bazo e hígado normales sin LOEs.
Uso de sonda lineal, proyección transversal: adenopatía redondeada con hilio periférico bien delimitada que no capta Doppler; y longitudinal: varias adenopatías, 2 de ellas más grandes, donde se objetiva la vascularización limitada al hilio.
Pruebas complementarias
Analítica sanguínea. Radiografía de tórax. Ecografía reglada con BAG. TAC-body. PET-TAC.
Juicio clínico, diagnóstico diferencial, concordancia con el hospital (en su caso)
El juicio clínico inicial señalaba la malignidad del nódulo. El juicio diagnóstico final lo arrojó la anatomía patológica: Linfoma de Hodgkin clásico.
Diagnóstico diferencial: linfoma VS. enfermedad por rasguño de gato VS. parásitos VS. reacción cutánea inflamatoria por henna VS. neoplasia de origen tiroideo VS. síndrome mononucleósido VS. neoplasia pulmonar VS. tuberculosis pulmonar VS. adenopatías metastásicas VS, lipoma o quiste.
Tratamiento, planes de actuación
Derivación al servicio de Medicina Interna tras petición de pruebas complementarias. Estudio y diagnóstico definitivo por anatomía patológica. En 2 semanas desde la realización de la primera ecografía ambulatoria, la paciente estaba ya en tratamiento por el servicio de Hematología.
Evolución
Actualmente, ha finalizado los tratamientos quimio y radioterápicos, no presenta evidencia de enfermedad.
Si bien es cierto que se presentó la limitación de poder discernir entre proceso neoplásico o infeccioso el uso de la ecografía en atención primaria permitió realizar el diagnóstico diferencial entre las entidades más valorables (lipoma, quiste o nódulo tiroideo). De esta forma se orientó la petición de pruebas complementarias, adelantando el diagnóstico y el inicio del tratamiento.


