5, 6 y 7 de febrero de 2026
Atención Primaria (AP) con derivación urgente a Nefrología.
Dolor lumbar derecho de características cólico-nefríticas.
Enfoque individual
Mujer de 62 años, con hipotiroidismo, asma y dislipemia, que acude al ambulatorio por dolor lumbar derecho. Refiere episodios previos de cólico nefrítico tratados con antiinflamatorios no esteroideos (AINE) y tamsulosina de manera efectiva, pero esta vez el dolor aparece de forma súbita, persiste a pesar de analgesia habitual.
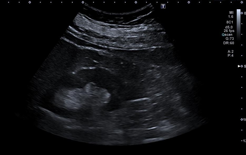
En consulta presenta dolor lumbar sin fiebre ni compromiso general. Se practica ecografía renovesical en la consulta, que muestra microlitiasis sin clara dilatación del sistema excretor, y una imagen anecoica bien delimitada y bilobulada, suprapúbica, en plano superior a vejiga de 1300 cc, Se realiza analítica urgente, objetivándose fracaso renal agudo, FRA, (FG 25 ml/min, Cr 2,06 mg/dl). Dado el FRA y hallazgo ecográfico se realiza derivación urgente a Nefrología.
En Urgencias, la ecografía muestra ligera dilatación pielocalicial derecha y presencia de imagen quística. El TC con contraste evidencia litiasis obstructiva distal de 7 mm con discreta dilatación ureteropiélica y una gran masa quística bilobulada dependiente de anexo derecho (150×124×134 mm), sin descartar componente sólido.
Es valorada por ginecología donde se orienta como posible pseudoquiste peritoneal, sin descartar origen anexial por no visualizarse el ovario derecho.
Biopsia renal ecoguiada: lesión tubular aguda focal con vacuolización epitelial, compatible con nefrotoxicidad por AINE y posible efecto del contraste intravenoso.
Enfoque familiar y comunitario
Paciente conocida en el centro por episodios previos de cólico nefrítico, lo que permitió contextualizar su historia clínica sin intervención familiar adicional.
Juicio clínico, diagnóstico diferencial, identificación de problemas
Fracaso renal agudo multifactorial: nefrotoxicidad por AINE y obstrucción ureteral parcial. Masa abdominopélvica no filiada: pseudoquiste peritoneal vs quiste ovárico vs tumor anexial o lesión quística benigna intraabdominal.
Tratamiento y planes de actuación
Colocación de catéter doble J con buena respuesta diurética. Inicio de tratamiento antihipertensivo y antibioterapia. Solicitud de resonancia magnética para caracterización de la masa evitando contraste iodado.
Evolución
Mejoría del FG hasta 40 ml/min. Alta para seguimiento hospitalario y AP, masa aún pendiente de filiación definitiva.
Este caso muestra cómo un cólico nefrítico complicado con fracaso renal agudo puede presentarse junto a hallazgos incidentales. La disponibilidad de POCUS en Atención Primaria permitió identificar una masa quística y facilitó la derivación a urgencias para realizar un tratamiento adecuado.


