5, 6 y 7 de febrero de 2026
Atención Primaria, Centro de Salud de San Antón.
Dolor en región posterior de tobillo izquierdo.
Enfoque individual
Mujer de 61 años sin factores de riesgo cardiovasculares, obesidad mórbida tipo III. Intervenida en 2020 realizando alargamiento de gemelo medial por tendinitis calcificante del tendón Aquíleo izquierdo.
Desde hace 6 meses refiere dolor en región posterior del tobillo izquierdo que empeora con la deambulación sin experimentar mejoría con la toma de analgésicos. En las últimas visitas aumento de la intensidad del dolor llegando a dificultar la bipedestación.
A la exploración del tobillo izquierdo no se observan signos de artritis. Dolor a la palpación de la inserción calcánea del tendón de Aquiles. Balance articular conservado.
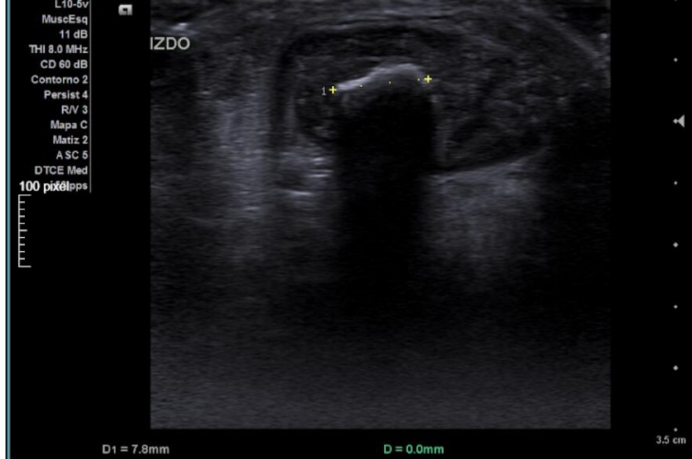
Hallazgos ecográficos
Sonda lineal, corte transversal: engrosamiento de tendón aquíleo izquierdo respecto a contralateral y área hiperecogénica de 7,8 mm con sombra acústica posterior.
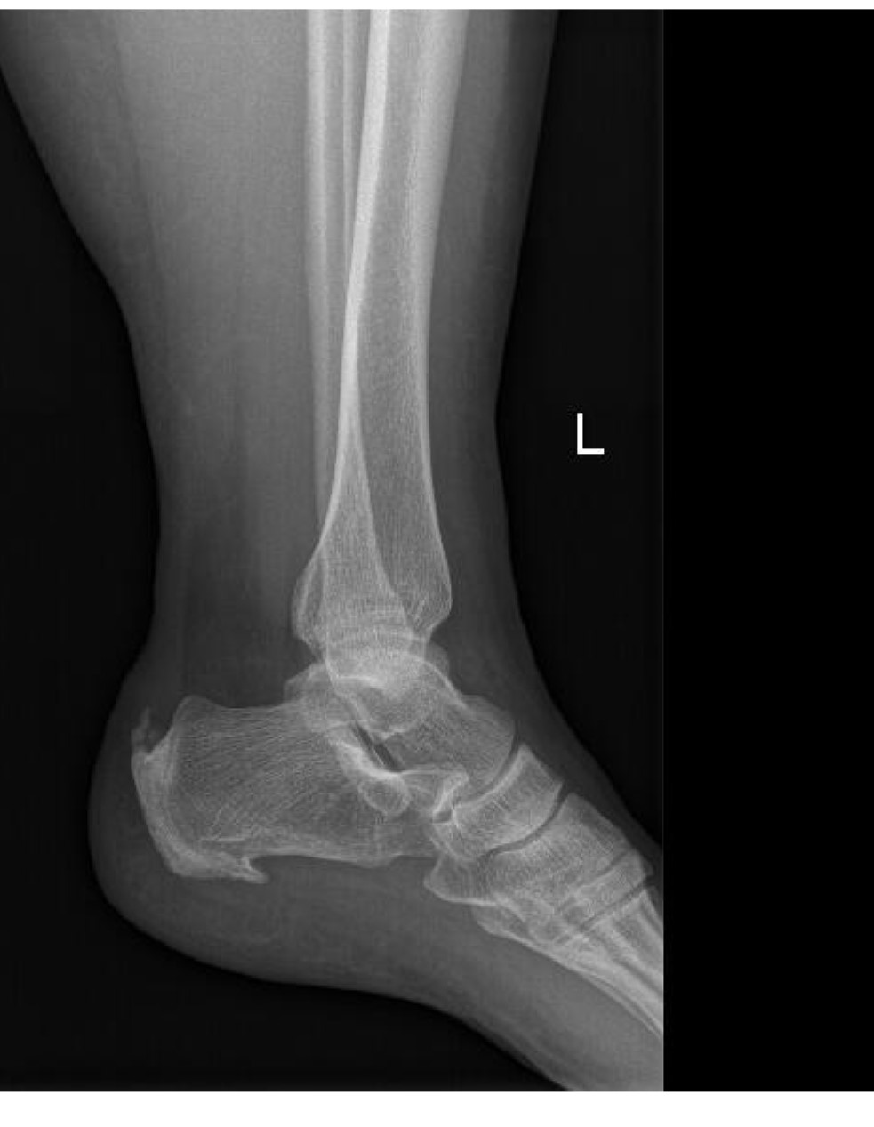
Pruebas complementarias
Radiografía pies bilateral: se observa osteofito en la inserción del tendón de Aquiles, de morfología espiculada, compatible con espolón aquíleo.
Juicio clínico, diagnóstico diferencial, concordancia con el hospital (en su caso)
Tendinitis calcificante del tendón de Aquiles.
Tratamiento, planes de actuación
Se inicia tratamiento analgésico, fisioterapia y rehabilitación con ondas de choque de forma concomitante sin experimentar mejoría de la sintomatología.
Ante la persistencia de la clínica a pesar de terapias conservadoras e invasivas se valora la opción de realizar infiltración ecoguiada con corticoides y anestésico local como última posibilidad terapéutica asumiendo la paciente las posibles complicaciones.
La paciente continúa con misma intensidad de dolor por lo que realizamos interconsulta a traumatología presentando el caso y los antecedentes quirúrgicos además de adjuntar las imágenes ecográficas. La paciente finalmente es citada en sus consultas y tras su valoración indican nueva cirugía para la tendinitis insercional del aquileo.
Evolución
La paciente actualmente continúa en rehabilitación evolucionando de forma favorable.
Tras la anamnesis y la exploración física, la ecografía es la manera más rentable para el médico de familia de aportar datos valiosos y etiquetar la lesión del tendón con el fin de pautar un tratamiento y seguimiento adecuados.

