5, 6 y 7 de febrero de 2026
Atención Primaria.
Dolor y parestesias intermitentes en brazo derecho desde hace 2 meses, agravadas en las últimas 48 h con sensación de «latido pulsátil».
Enfoque individual
Hombre de 46 años, sin antecedentes relevantes. Acude a consulta habilitada para resolución de patología musculoesquelética mediante procedimientos ecoguiados. Niega traumatismos. Refiere vacunación gripal hace 72 h sin incidencias.
La familia refiere que realizó ejercicio vigoroso de fuerza en hombros el día posterior a la vacunación, a pesar de educación sanitaria sobre evitar sobrecarga muscular intensa.
Exploración: Dolor profundo a la palpación en deltoides anterior y discreta tumefacción sin signos inflamatorios. Pulsación tenue y focalizada, además de parestesias al elevar pasivamente el miembro, lo que sugiere posible compromiso neurovascular.
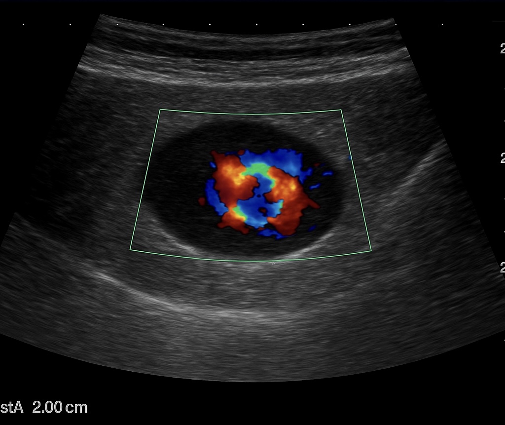
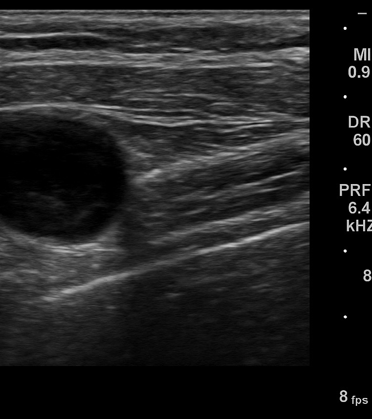
Hallazgos ecográficos
Ecografía musculoesquelética: lesión anecoica redondeada de aproximadamente 2 cm, con patrón yin-yang en Doppler color y flujo turbulento en Doppler espectral, compatible con pseudoaneurisma dependiente de rama arterial axilar superficial. No datos de bursitis, absceso o hematoma no vascularizado.
Pruebas complementarias
Angio-TAC y arteriografía: dilatación sacular dependiente de rama perforante axilar con flujo turbulento y aporte arterial claro.
Juicio clínico, diagnóstico diferencial, concordancia con el hospital (en su caso)
Pseudoaneurisma axilar postpunción con repercusión neurovascular. Diferenciales: bursitis subdeltoidea, radiculopatía cervical, postpunción (celulitis, rotura muscular o hematoma), tendinopatía del manguito.
Tratamiento, planes de actuación
Ante riesgo de rotura, se evita manipulación local y se inmoviliza el miembro. Se coordina derivación urgente con prealerta a Cirugía Vascular.
Evolución
Se realiza embolización endovascular con evolución favorable. Permanece ingresado 24 h para vigilancia clínica y de pulsos. Alta posterior sin dolor significativo y con desaparición progresiva de las parestesias.
En revisión tras 4 semanas, presenta movilidad completa del hombro, pulsos distales conservados y ecografía de control sin expansión residual.
La ecografía clínica en Atención Primaria permitió identificar una complicación vascular excepcional ante un motivo de consulta frecuente y aparentemente banal, demostrando su capacidad para detectar lesiones de riesgo vital y guiar decisiones urgentes.

