5, 6 y 7 de febrero de 2026
Atención Primaria.
Hematuria microscópica.
Enfoque individual
Antecedentes personales: HTA, CRU, Fumador
Anamnesis: Paciente hombre asintomático que se le realiza analítica de rutina, siendo el principal hallazgos en esa ocasión una hematuria microscópica; por lo que se le decide realizar una ecografía urológica en el centro de salud. Paciente con antecedentes de CRU y hematuria macroscópica en 2017 se le realizó en esa ocasión ecografía con hallazgo de divertículo vesical con citología negativa para células atípicas, visto en urología donde deciden no realizar cistoscopia.
Exploración física: anodina.
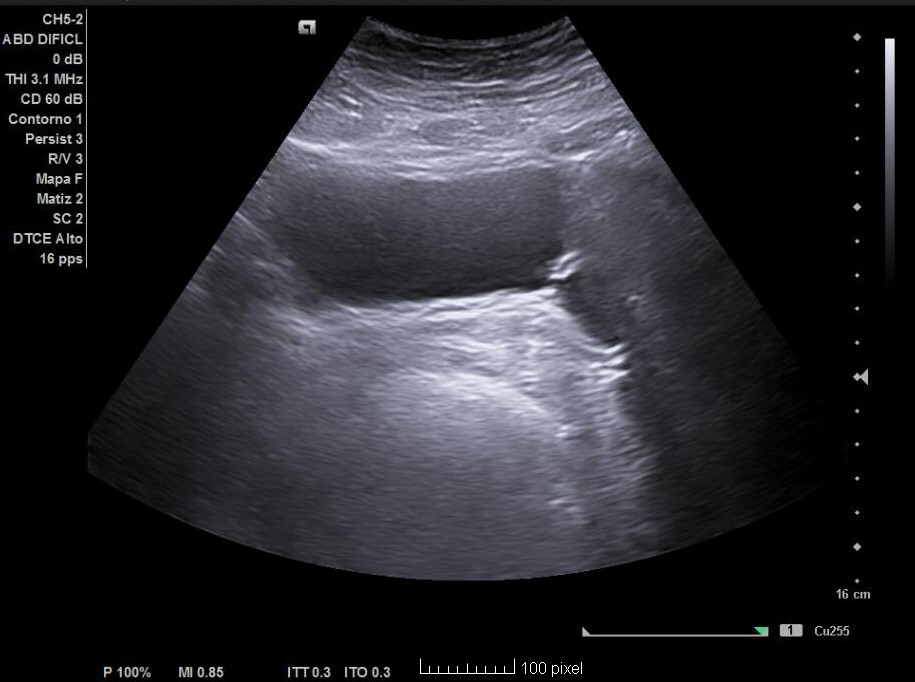
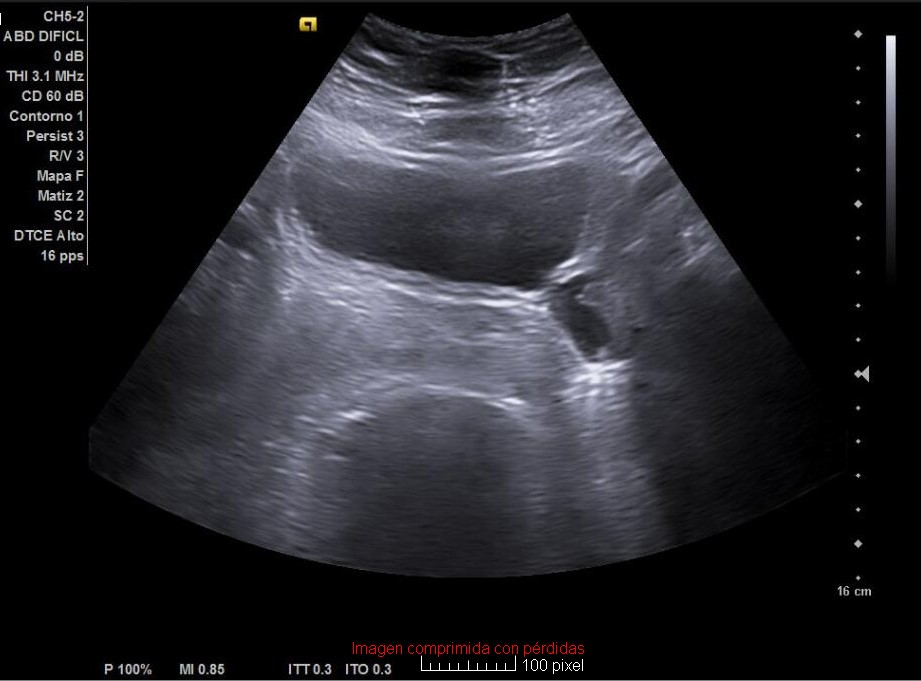
Hallazgos ecográficos
Esteatosis hepática grado I-II y además un divertículo vesical a nivel posterolateral izquierdo de 20 x 20 mm. Próstata de 22,6 cc, residuo posmiccional de 5,5 cc
Pruebas complementarias
Citología: Anomalías en las células epiteliales: Atipias en células uroteliales de significado incierto (AUC).
Juicio clínico, diagnóstico diferencial, concordancia con el hospital (en su caso)
Juicio clínico: Hematuria, probable neoplasia de vejiga.
Diagnóstico diferencial: Carcinoma urotelial vesical, Divertículo vesical complicado, Litiasis urinaria. HPB. Prostatitis crónica.
Tratamiento, planes de actuación
Se deriva a urología donde realizan cistoscopia donde observan una neoplasia vesical menor de 3 cm en cara lateral del divertículo vesical. Anatomía patológica informan como carcinoma urotelial papilar no infiltrante de bajo grado.
Realizan UroTAC: Vejiga replecionada con divertículo dependiente de la pared posterolateral izquierda. No se observan lesiones evidentes en TC.
Evolución
Paciente es sometido a una resección transuretral de vejiga y está en quimioterapia mediante instilaciones vesicales, con una posterior cistoscopia con cicatriz de anterior tumor resecado.
La hematuria microscópica en un paciente fumador puede ser la primera señal de un tumor vesical. En este caso, la ecografía realizada en atención primaria permitió identificar un divertículo vesical, estructura susceptible de albergar lesiones que podrían pasar desapercibidas. Este hallazgo, junto con la citología alterada, facilitó una derivación rápida y el diagnóstico precoz de un carcinoma urotelial de bajo grado. El caso destaca el valor de la ecografía realizada por el médico de familia como herramienta resolutiva ante hematurias, mejorando la detección temprana y el pronóstico. Además, ejemplifica cómo la integración entre anamnesis, factores de riesgo y competencias ecográficas refuerza el papel central de la atención primaria en la identificación de patología urológica relevante.


