V Jornadas de Ecografía de la semFYC

9 y 10 de febrero de 2024

Comunicaciones: Casos clínicos

Endocarditis bacteriana (póster)

Ámbito del caso

Atención Primaria

Motivos de consulta

Fiebre

Historia clínica

Enfoque individual

Varón de 70 años con antecedentes de hipertensión arterial y adenocarcinoma de próstata diagnosticado por biopsia un mes atrás, consulta por cuadro asteniforme de 7 días de evolución, asociando tos con expectoración rosada, fiebre y tiritona nocturna episódica, sin otra clínica acompañante.

Exploración física:  rasgos marfanoides, pectus excavatum. Saturación 02: 89%, auscultación cardiaca rítmica con soplo sistólico II/VI romboidal rudo multifocal; auscultación pulmonar: murmullo vesicular disminuido con roncus bibasales y apicales derechos. No presenta edemas, signos de TVP ni estigmas cutáneos de endocarditis infecciosa.

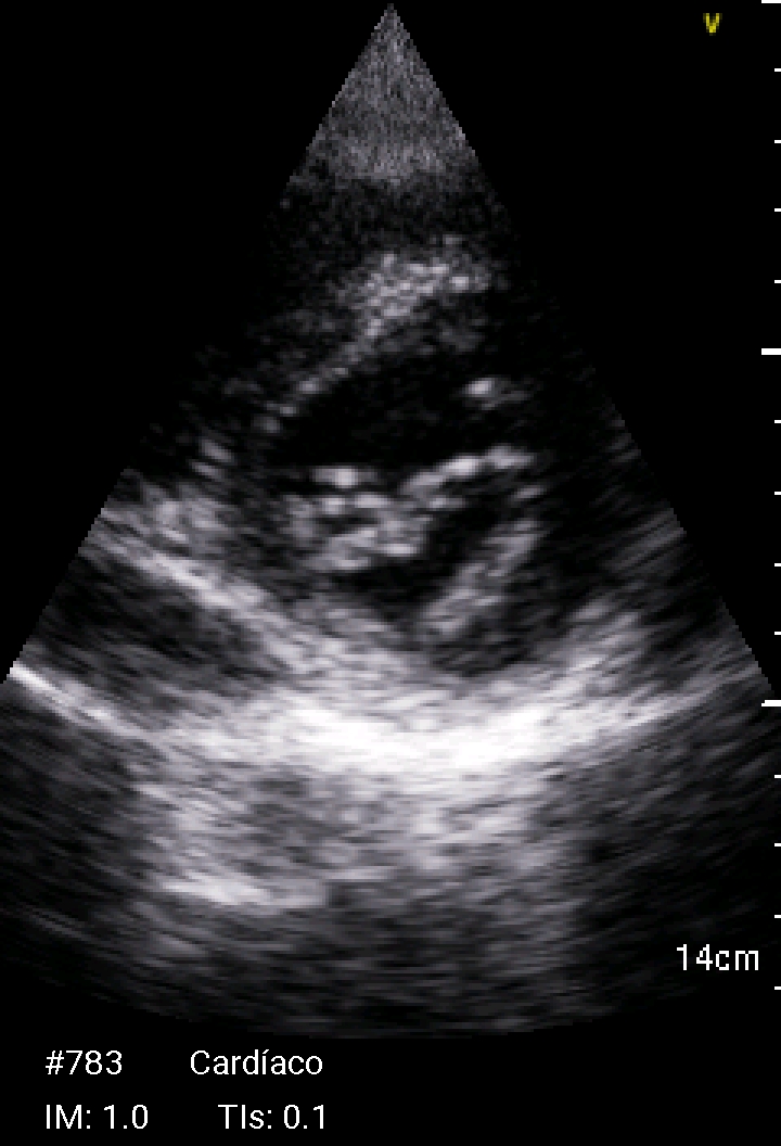
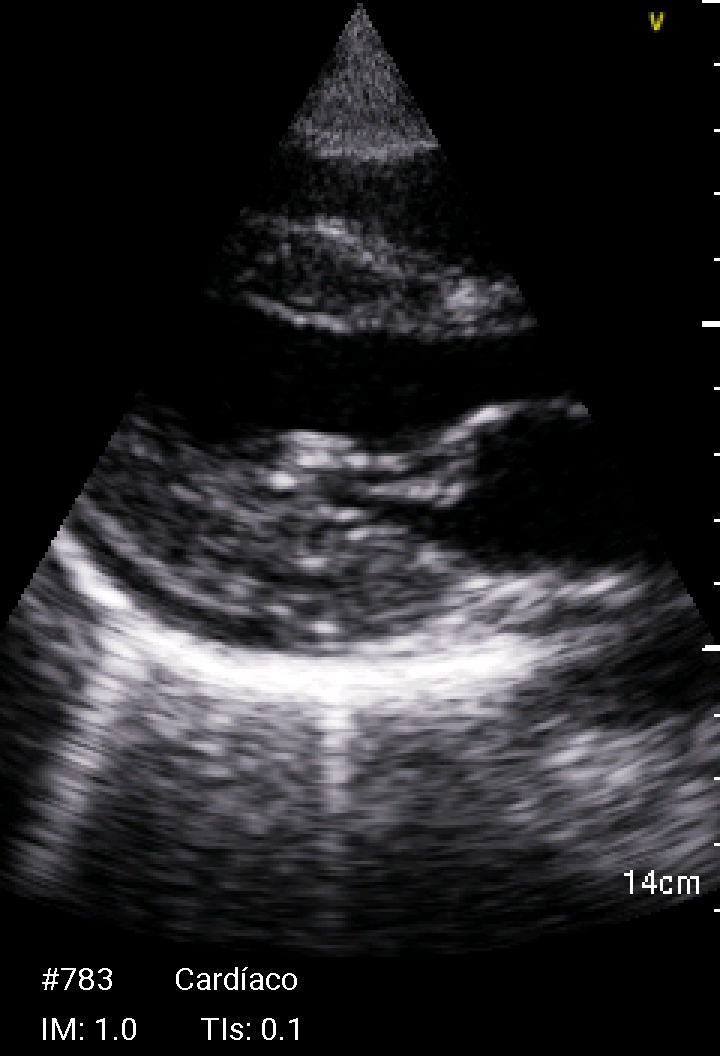
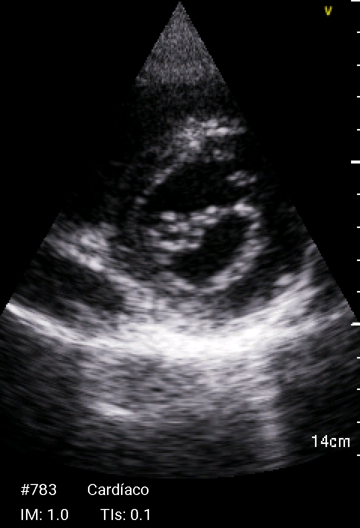
Ante la presencia de fiebre y soplo cardiaco se realiza ecocardioscopia.

Hallazgos ecográficos

Ecocardioscopia: Válvula mitral con engrosamiento de ambas valvas e imagen nodular no móvil en cara auricular del velo anterior (cambios degenerativos versus vegetación). Ventrículo izquierdo no dilatado ni hipertrófico, FEVI preservada. Ventrículo derecho normal. Mínimo despegamiento de hojas pericárdicas en cara posterior.

Pruebas complementarias

Electrocardiograma: Ritmo sinusal a 102 lpm, retraso en conducción de R hasta V4, BRDHH, T negativa III.
Se realizan durante el ingreso hospitalario:
  • Radiografía de tórax: Neumonía multilobar derecha. 
  • Ecocardiograma transesofágico: Válvula mitral con prolapso y dos imágenes compatibles con vegetaciones.
  • Hemocultivos: Se aisla Neumococo multisensible.

Juicio clínico, diagnóstico diferencial, identificación de problemas

Endocarditis infecciosa en válvula mitral.
Neumonía multilobar derecha adquirida en la comunidad.

Tratamiento y planes de actuación

Se inicia tratamiento empírico con Ampicilina, Gentamicina y cloxacilina, y al filiarse en hemocultivos Neumococo multisensible como germen responsable se realiza tratamiento dirigido con ceftriaxona.

Evolución

Buena respuesta clínica a antibioterapia con desaparición de la vegetación en ecocardiogramas posteriores.

Conclusiones (y aplicabilidad para la Medicina de Familia)

La endocarditis infecciosa es un gran desafío clínico. Aunque el diagnóstico se basa en la sospecha clínica, los hallazgos patológicos en la ecocardioscopia realizada en Atención Primaria fundamentan y agilizan el proceso diagnóstico, contribuyendo al inicio precoz de antibioterapia y minimizando la aparición de complicaciones graves cardiacas (degeneración valvular, insuficiencia cardiaca, abscesos perivalvulares), neurológicas, renales, musculoesqueléticas, pulmonares e infección metastásica (embolismo séptico, absceso metastásico, aneurisma micótico).

 


Comunicaciones y ponencias semFYC: 2026; Comunicaciones: Casos clínicos. ISSN: 2339-9333

Autores

Torres García, María
CS Monterrozas. Las Rozas. Madrid
Cruz Arnes, Miguel
CS Monterrozas. Las Rozas. Madrid
Carralero Moya, Laura
CS Sanchinarro. Madrid