5, 6 y 7 de febrero de 2026
Diarrea, pérdida de peso.
Enfoque individual
Paciente de 79 años con antecedentes de HTA en tratamiento con enalapril y atenolol; dislipemia en tratamiento con atorvastatina y DM de reciente diagnóstico en la que se inicia tratamiento con metformina y sitagliptina. Al mes acude porque tiene diarrea de 2-4 deposiciones/día blandas matutinas sin productos patológicos. Sin dolor abdominal. Exploración física sin hallazgos. Se suspende la metformina persistiendo la diarrea, ante el buen estado general de la paciente se solicita una colonoscopia citada a los 6 meses. En una visita posterior refiere pérdida de peso de 4 kg y anorexia con buen estado general y analítica sin alteraciones. Al mes acude el marido y nos comenta que sigue con diarrea y preocupados por la pérdida de peso. Se decide realizar ecografía.
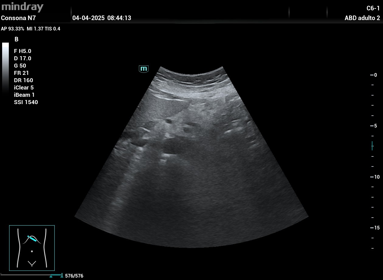
Hallazgos ecográficos
Imagen de ecogenicidad mixta, irregular en cuerpo de páncreas. Ante este hallazgo realizamos una e-consulta al servicio de digestivo enviando las imágenes para su valoración y citaron a la paciente para una nueva ecografía.
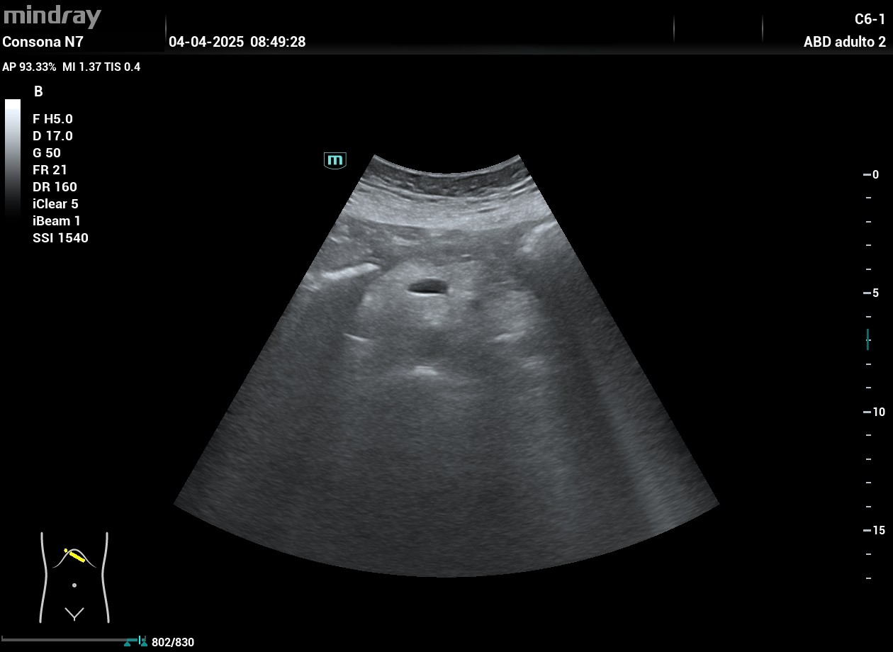
Pruebas complementarias
Ecografía hospitalaria: una imagen de contorno pseudonodular y multilobulado con áreas anecoicas de aspecto sólido que condiciona una dilatación del conducto de Wirsung a nivel de la cola pancreática. Se solicita RM con lesión quística multiloculada que impresiona de cistoadenoma seroso.
El resultado de la colonoscopia fue diverticulosis coli.
Juicio clínico, diagnóstico diferencial, concordancia con el hospital (en su caso)
El cistoadenoma seroso es una lesión quística benigna que representa una pequeña proporción de los tumores pancreáticos. Afecta más frecuentemente a mujeres mayores de 60 años y puede localizarse en cualquier parte del páncreas.
La mayoría de los casos asintomáticos, pero puede causar dolor abdominal, náuseas y sensación de saciedad o presión por desplazamiento de órganos vecinos.
El diagnóstico se basa en estudios de imagen TC, RM y ecografía endoscópica con punción (ecoendoscopia) que permite extraer líquido para análisis citológico y bioquímico.
Tratamiento, planes de actuación
En este caso se decidió realizar seguimiento de la paciente persistiendo únicamente la diarrea.
Evolución
Control periódico en la consulta de Atención Primaria y en el Servicio de Aparato Digestivo del Hospital.


