5, 6 y 7 de febrero de 2026
Enfoque individual
Paciente masculino de 43 años, mecánico, que acude a urgencias del centro de salud por gonalgia izquierda de un mes de evolución, progresiva, que en la última semana ha llegado a interferir con el sueño. Refiere alivio parcial con paracetamol.
El paciente comenta que el dolor se inició al levantarse y girar el cuerpo mientras cargaba piezas de motor muy pesadas, y ha ido empeorando con la mayor carga laboral que ha presentado últimamente. Desde el evento desencadenante no tolera agacharse. Niega episodios de bloqueo o sensación de inestabilidad.
En la exploración física: Marcha antiálgica, rodilla derecha con leve aumento de volumen respecto a contralateral, sin eritema ni aumento de temperatura. Peloteo rotuliano presente. Signo del cepillo negativo. Presenta dolor a la flexión al completar 90º, con limitación en este rango. Extensión completa. Varo y valgo forzados dolorosos sin bostezo articular. Cajón anterior y posterior negativos, aunque con molestia durante la exploración. Apley interno y externo positivos. Dolor a la palpación a nivel de interlínea articular y hueco poplíteo, donde se palpa ligero bultoma.
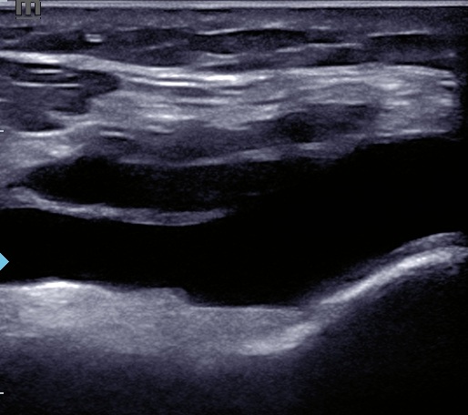
En la ecografía se observan signos de extrusión meniscal y degeneración intrasustancia del menisco externo, así como un quiste de Baker sin signos de rotura. Se observa derrame articular a nivel de receso suprapatelar. No alteraciones relevantes en otras estructuras. Se descarta TVP mediante compresión simplificada.
Juicio clínico, diagnóstico diferencial, identificación de problemas
Meniscopatía con extrusión meniscal y Quiste de Baker asociado.
Tratamiento y planes de actuación
Se pauta analgesia con AINEs y se explican ejercicios de rango limitado, se recomienda fisioterapia y derivación a Traumatología de cara a tratamiento dirigido.
Evolución
Ha sido valorado por COT, quien solicita RMN donde se objetiva rotura radial completa de menisco externo, con ligera elongación de LCA y presencia de quiste de Baker. Ha sido admitido en la lista de espera quirúrgica.
La exploración física en la gonalgia no siempre permite identificar el origen del dolor. La ecografía es un buen complemento e identifica lesiones que se pasan que en ocasiones podrían pasar desapercibidas. Además descarta signos de alarma o complicaciones, como una TVP o una rotura del quiste de Baker.


