5, 6 y 7 de febrero de 2026
Atención Primaria.
Enfoque individual
Hombre de 46 años con antecedentes de varicectomía bilateral de miembros inferiores reintervenida por recidiva y episodios de flebitis de repetición. Acude por dolor súbito en gemelo derecho tras un movimiento brusco al bajar unas escaleras. Refiere sensación de sobreestiramiento, con aumento progresivo del dolor e inflamación.
En la primera exploración se observa marcha antiálgica, discreta inflamación respecto al lado contralateral, dolor a la palpación en la cara interna del gemelo con resalto mínimo y dolor medial a la rotación interna. No se identifica hematoma.
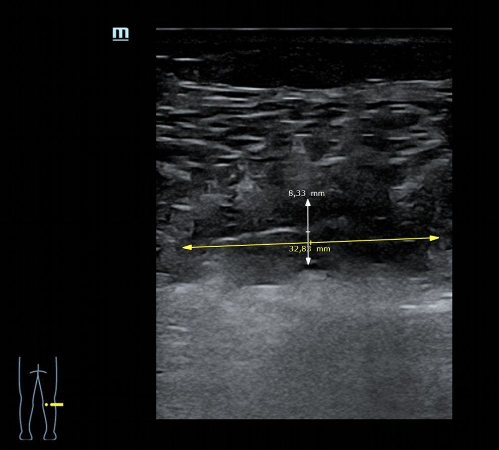
Acude nuevamente a los tres días por persistencia del dolor e impotencia funcional, con leve mejoría del edema pero aparición de hematoma. Dada la evolución y sus antecedentes vasculares, se decide realizar ecografía para descartar trombosis venosa profunda (TVP) y confirmar posible lesión muscular.
Hallazgos ecográficos
La ecografía, realizada con sonda de alta frecuencia sobre la cara medial e interna del gemelo, muestra una disrupción fibrilar con un defecto de 32,9 mm en su eje mayor y 8,3 mm en el menor. Se aprecia pérdida de la arquitectura normal con áreas hipo e hiperecogénicas compatibles con sangrado, edema y retracción de los extremos de la rotura. Se descarta TVP en eje poplíteo.
Juicio clínico, diagnóstico diferencial, concordancia con el hospital (en su caso)
El diagnóstico final es rotura fibrilar del gemelo medial secundaria a sobreesfuerzo. La TVP constituye el principal diagnóstico diferencial en un cuadro de dolor agudo de pantorrilla con hematoma, especialmente en pacientes con antecedentes venosos relevantes.
Tratamiento, planes de actuación
En la primera consulta se indicó frío local 15 minutos 3–4 veces/día, reposo relativo con apoyo asistido, elevación durante 48 h, ibuprofeno 600 mg cada 8 h durante 3–5 días (alternado con paracetamol) y estiramientos progresivos tras 72 h. Tras la ecografía se reforzó reposo y se añadió fisioterapia.
Evolución
En la revisión al mes se objetiva clara mejoría clínica coincidiendo con la resolución del hematoma.
Este caso demuestra el valor de la ecografía clínica en Atención Primaria para diferenciar con rapidez entre lesión muscular y TVP en un motivo de consulta frecuente. La ecografía permitió un diagnóstico preciso, evitó derivaciones innecesarias y guió un manejo adecuado, consolidando su papel como herramienta resolutiva para el/la médico/a de familia.


