Comunicaciones: Casos clínicos

¿Hallazgo casual? (póster)

Ámbito del caso

Atención Primaria.

Motivos de consulta

Síntomas leves del tracto urinario inferior. Elevación de antígeno prostático específico (PSA)

Historia clínica

Enfoque individual

Antecedentes personales: Hombre de 69 años. Hipertensión arterial en tratamiento con Valsartán 40 mg/día.

Anamnesis: Nicturia. No síndrome general.

Tacto rectal: próstata de consistencia elástica.

Se realiza ecografía para valorar tamaño prostático.

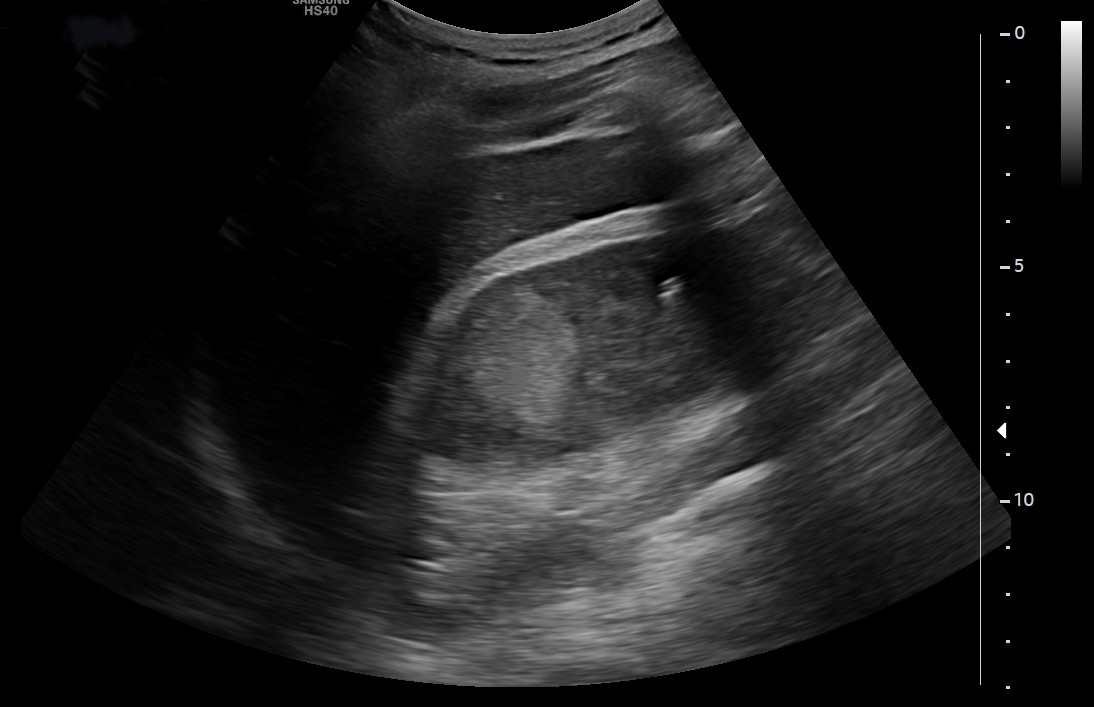
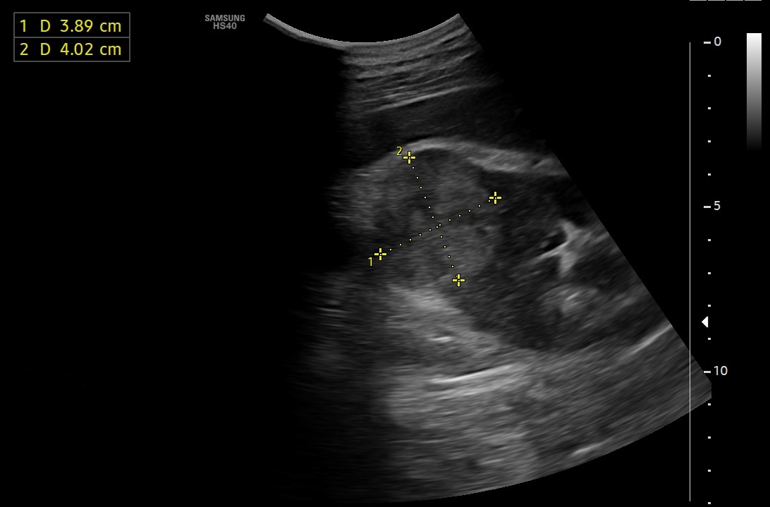
Hallazgos ecográficos

Hallazgos ecográficos: lesión sólida exofítica de márgenes bien definidos en la región interpolar posterior del riñón derecho, hiperecogénica respecto a la cortical renal, con vascularización interna en el estudio Doppler y unas medidas aproximadas de 45 x 40 mm.

Próstata aumentada de tamaño, con unas dimensiones de 55x65x56 mm que se corresponden con un volumen de 106 cc (hipertrofia prostática grado IV).

Pruebas complementarias

TAC  toraco abdominopélvico: hallazgos compatibles con carcinoma de células renales en región interpolar superior del riñón derecho, de hasta 50 mm, destacando la presencia de prominente circulación colateral tortuosa adyacente a su vertiente superior.

Sutil hipodensidad seudonodular hepática en segmento V. Valorar en controles versus sopesar realización de RMN para una adecuada caracterización dado el contexto.

RMN abdomen: Tumoración sólida sospechosa mesorrenal derecha de 5,6 cm sin invasión del hilio vascular renal pero con significativa circulación colateral peritumoral. Sin lesiones hepáticas sospechosas.

PSA: 4,50
PSA libre/total: 0,28

Juicio clínico, diagnóstico diferencial, concordancia con el hospital (en su caso)

Tumor renal de características sospechosas se solicita ecografía reglada urgente e interconsulta con Urología.

Tratamiento, planes de actuación

Se realiza nefrectomía radical derecha.
Anatomía patológica: carcinoma de células renales de tipo células claras (5,5 cm) limitado al riñón. pT1b

Evolución

Evolución favorable. Actualmente en seguimiento por nefrología para control de función renal. No precisa de más tratamientos.

Conclusiones y aplicabilidad para la medicina de familia

La ecografía clínica es una herramienta útil y accesible en la consulta de Atención Primaria que nos ayuda a la toma de decisiones en la práctica clínica diaria. Aunque la ecografía que aplicamos es sobre todo clínica y dirigida, es importante seguir una sistemática a la hora de realizarla para evitar pasar por alto un diagnóstico y mejorar el pronóstico de nuestros pacientes.
 

Comunicaciones y ponencias semFYC: 2026; Comunicaciones: Casos clínicos. ISSN: 2339-9333

Autores

Etxebarria Azurmendi, Ainara
CS de Gernika
Cenarruzabeitia Lecuona, Raquel
CS de Gernika
Zubiaga Moreno, Leire
CS de Gernika