5, 6 y 7 de febrero de 2026
Atención Primaria.
Cérvico-dorsalgia mecánica persistente.
Enfoque individual
Hombre de 73 años. NAMC. HTA, DLP, no DM. Exfumador hasta 2011. SCASEST con 3 Stent farmacoactivos. Independiente para actividades básicas de la vida diaria y con una vida activa.
Acude a consulta de Atención Primaria por cérvico-dorsalgia irradiada a escápula izquierda, axila y miembro superior izquierdo. El cuadro se prolonga desde hace 15-20 días y no cede con analgesia convencional. No fiebre, no disnea, no expectoración ni cuadro constitucional.
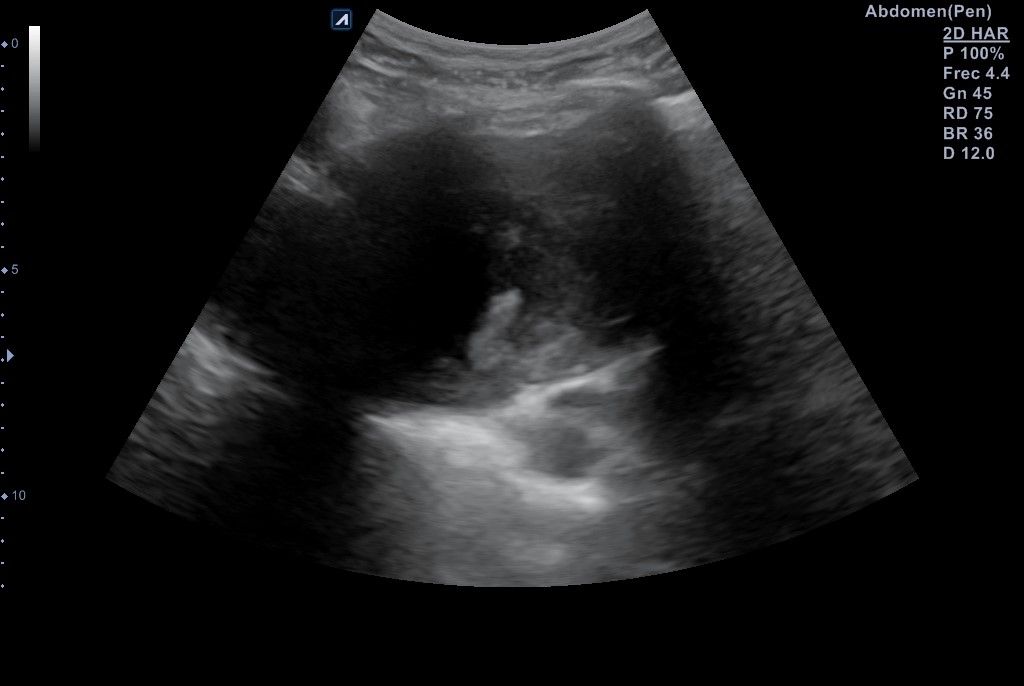
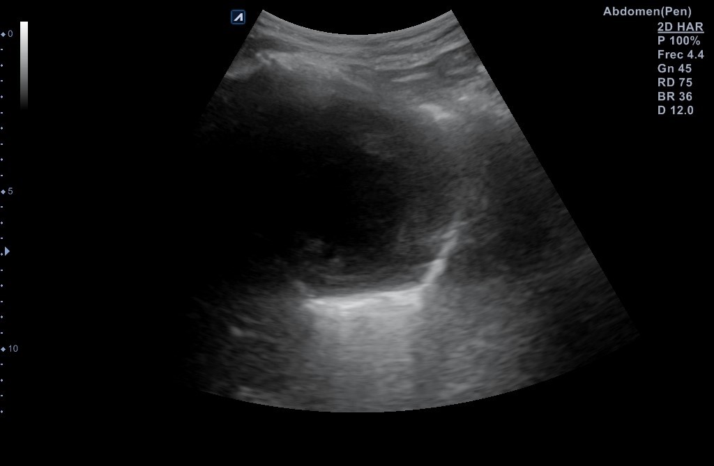
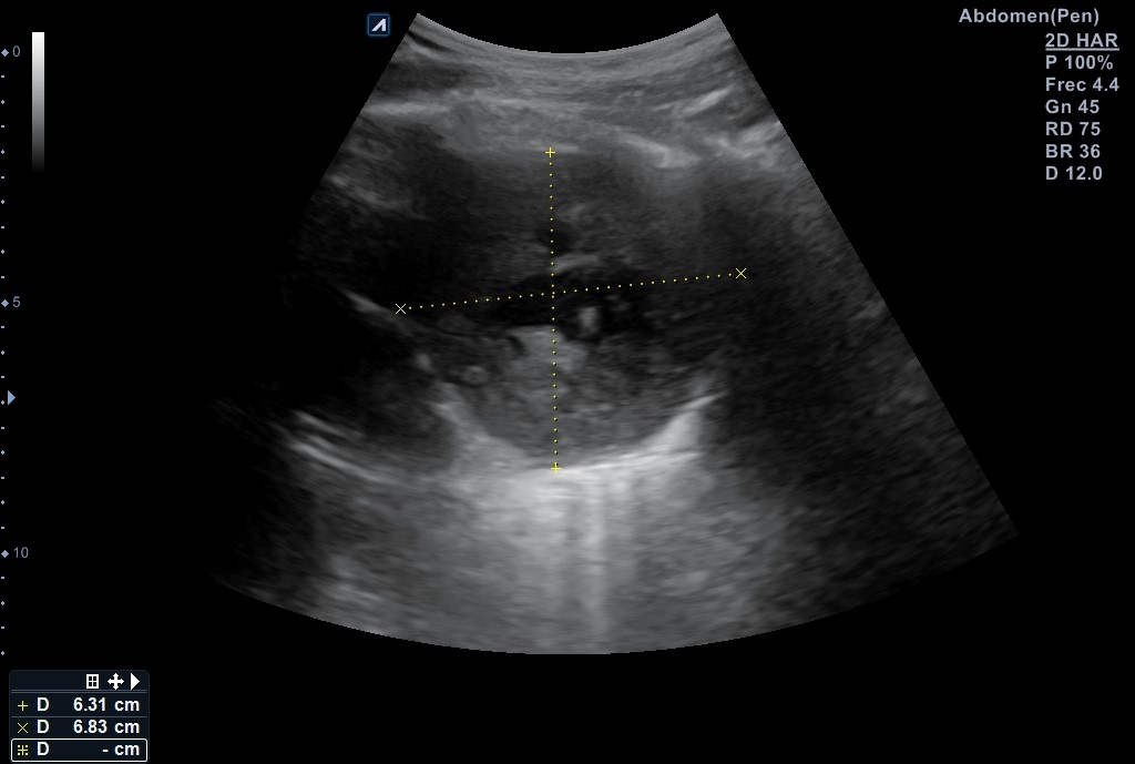
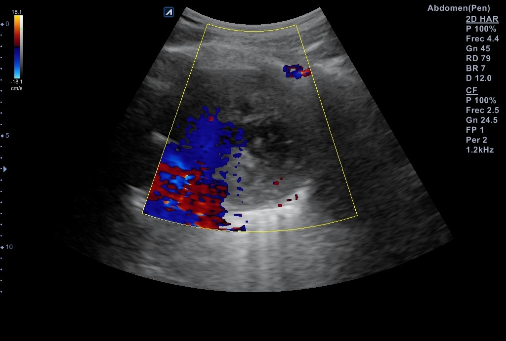
Hallazgos ecográficos
Se realiza ecografía pulmonar donde se identifica una masa anterior en el vértice del pulmón derecho, de aspecto sólido con centro necrótico de unos 7-8 cm de diámetro en anteroposterior y transversal, sin poder precisar diámetro longitudinal por interposición de costillas, clavícula y esternón.
Pruebas complementarias
Se solicitó Radiografía de Tórax desde Atención Primaria: masa a nivel de campo pulmonar superior izquierdo adherida a mediastino de aspecto sólido que no se acompaña de signos de retracción pulmonar ni atelectasia.
Juicio clínico, diagnóstico diferencial, concordancia con el hospital (en su caso)
Masa en mediastino anterior izquierdo. Diagnóstico diferencial: linfoma vs timoma vs neoplasia pulmonar. Se contacta con Medicina Interna para estudio urgente, donde le solicitan un TC cuello-tórax con contraste IV (resultados: masa en vértice medial pulmón izquierdo, de contorno bien definido y abundante necrosis) Mide 12,5 x 5,3 x 7,5 cm.
Tratamiento, planes de actuación
Se le solicitó una biopsia (BAG) y un PET-TAC para filiar la etiología y valorar extensión. Se diagnosticó de Adenocarcinoma de Pulmón Estadio IIIC: T4-N3-M0. Se derivó al paciente a consulta de Oncología médica para iniciar tratamiento.
Evolución
El paciente falleció antes de iniciar el tratamiento oncológico por un tromboembolismo pulmonar agudo.La ecografía en Atención Primaria permitió indagar en el estudio de una cérvico-dorsalgia prolongada con mal control analgésico, permitiendo hallar una masa en mediastino anterior izquierdo y plantear una primera sospecha clínica. Esto fue clave para pedir otras pruebas complementarias y derivar precozmente a Medicina Interna con el fin de orientar un diagnóstico y un plan de actuación urgente, pese a que desafortunadamente el paciente acabó falleciendo.



