5, 6 y 7 de febrero de 2026
Atención Primaria.
Tumefacción costal izquierda.
Enfoque individual
Anamnesis: Paciente mujer de 50 años que refiere tumefacción no dolorosa en parrilla costal izquierda desde hace 3 semanas. Niega traumatismo previo ni ningún otro síntoma asociado.
AP: no RAMs, no HTA, ni DLP, ni DM. No antecedentes quirúrgicos de interés. No antecedentes familiares conocidos de interés.
Exploración física: inflamación a nivel de últimas costillas flotantes izquierdas, sin dolor a la palpación.
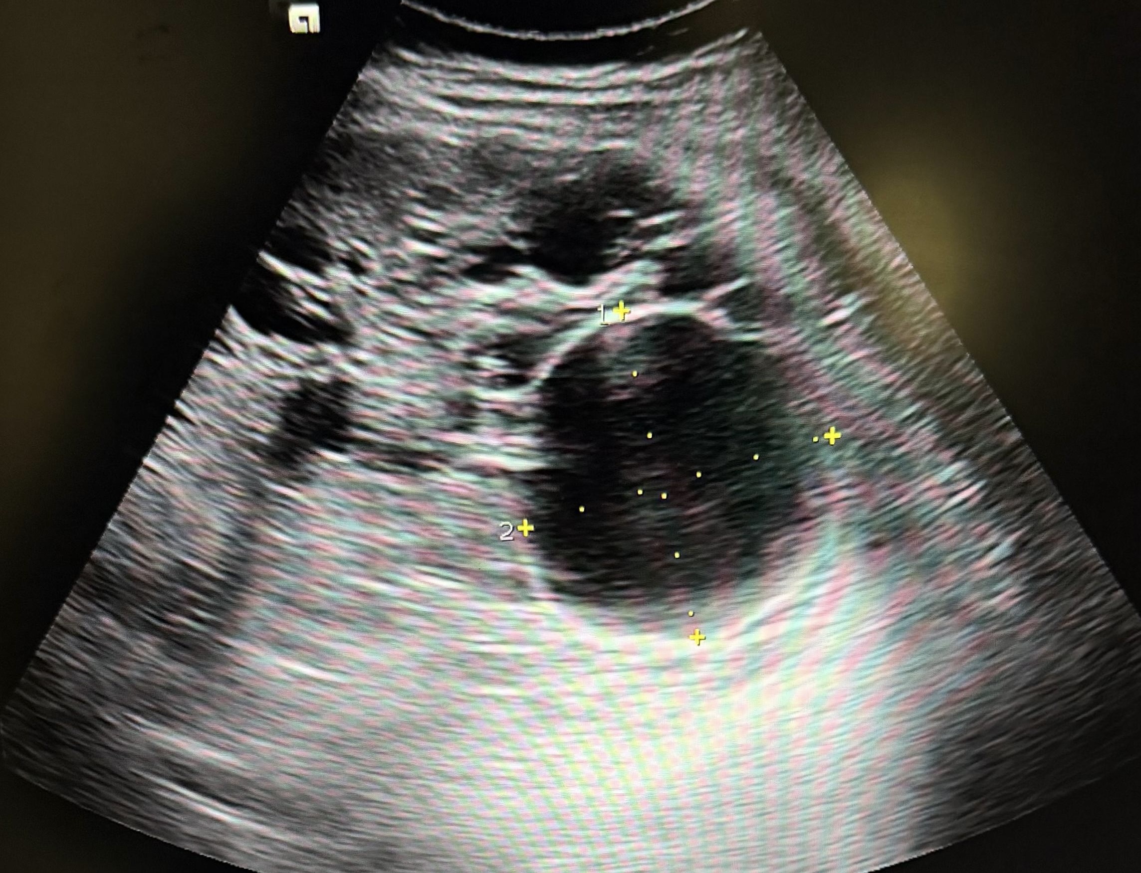
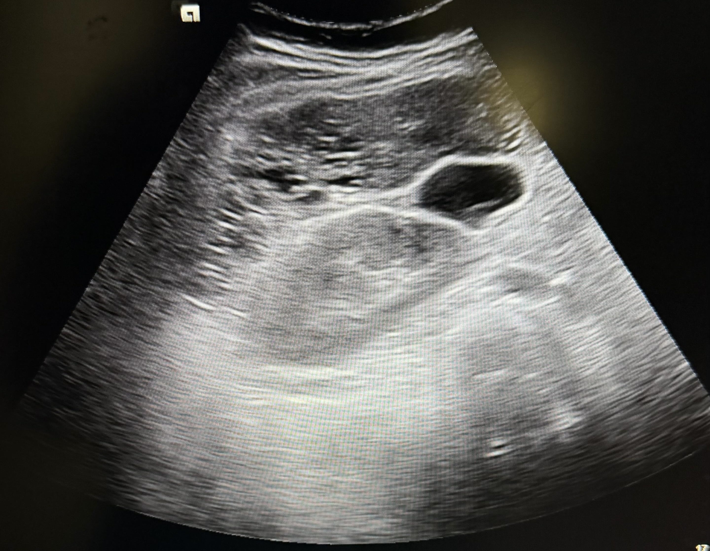
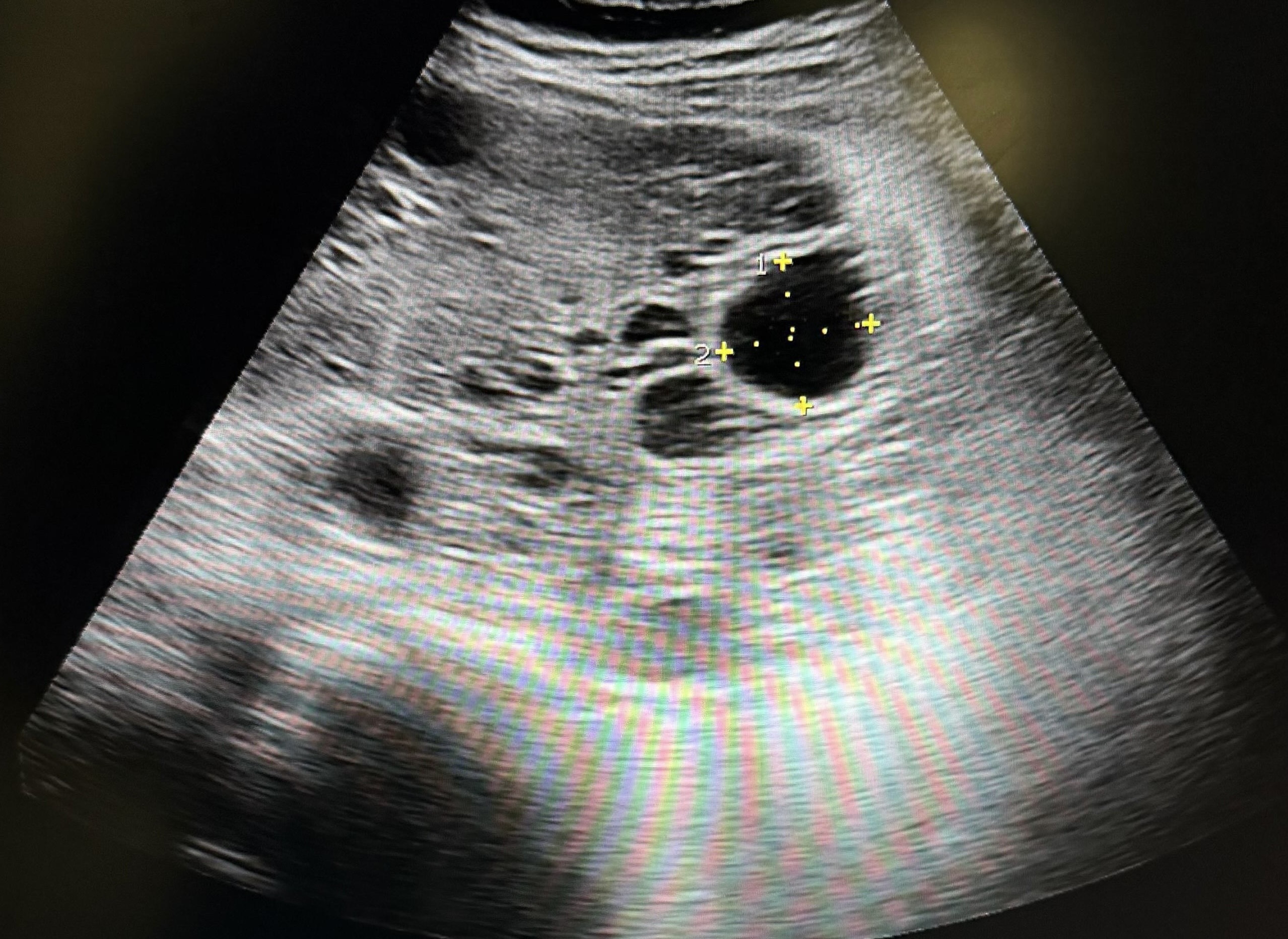
Se realiza entonces: ecografía.
Hallazgos ecográficos
Imágenes quísticas hepáticas múltiples, sugerentes de ser quistes simples hepáticos; debiendo hacer despistaje de enfermedad de Caroli (hamartosis biliar intrahepática).
Pruebas complementarias
Ante este hallazgo ecográfico, nos ponemos en contacto con los radiólogos del hospital, les enviamos las imágenes de la eco realizada en consulta y se solicita colangioRMN y analítica sanguínea:
ColangioRMN: múltiples lesiones quísticas en hígado y recomiendan pancreatografía retrógrada endoscópica para excluir la sospecha diagnóstica (esta última descarta enfermedad de Caroli).
Analítica: a destacar únicamente una GAMMA GT 130, con resto de enzimas hepáticas y serología normales. Resto de analítica sin alteraciones.
Juicio clínico, diagnóstico diferencial, concordancia con el hospital (en su caso)
Juicio clínico: poliquistosis hepática sin complicaciones.
Diagnóstico diferencial: poliquistosis hepática vs hamartosis biliar intrahepática.
Se pone en conocimiento del Servicio de Digestivo todo lo anterior, estando de acuerdo en el plan propuesto más adelante.
Tratamiento, planes de actuación
La paciente no precisa tratamiento farmacológico crónico, pero sí un seguimiento (explicado en el siguiente apartado).
Evolución
Plan de evolución, seguimiento y tratamiento: la paciente no precisa tratamiento, pero sí un seguimiento anual analítico con coagulación para ver funcionabilidad hepática y cada dos años ecografía (el caso de esta paciente se pone en conocimiento de Digestivo quienes indican también dicho plan de actuación).
El caso muestra cómo una valoración clínica minuciosa en Atención Primaria puede conducir al hallazgo de patologías asintomáticas como en este caso donde a través de una exploración dirigida y el uso de la ecografía en consulta permitieron detectar incidentalmente una poliquistosis hepática sin complicaciones.
Este caso ejemplifica varias competencias clave del ejercicio en Atención Primaria como es la valoración integral y el razonamiento clínico; la gestión de hallazgos incidentales; la coordinación asistencial efectiva con otros servicios (como Radiología y Digestivo, garantizando continuidad y evitando exploraciones reiteradas e innecesarias); así como un seguimiento y prevención desde AP.



