5, 6 y 7 de febrero de 2026
Atención Primaria.
Hombre de 71 años que consulta por tumoración dolorosa en hombro derecho de dos semanas de evolución, sin antecedente traumático.
Enfoque individual
Antecedentes personales: Hipertensión arterial.
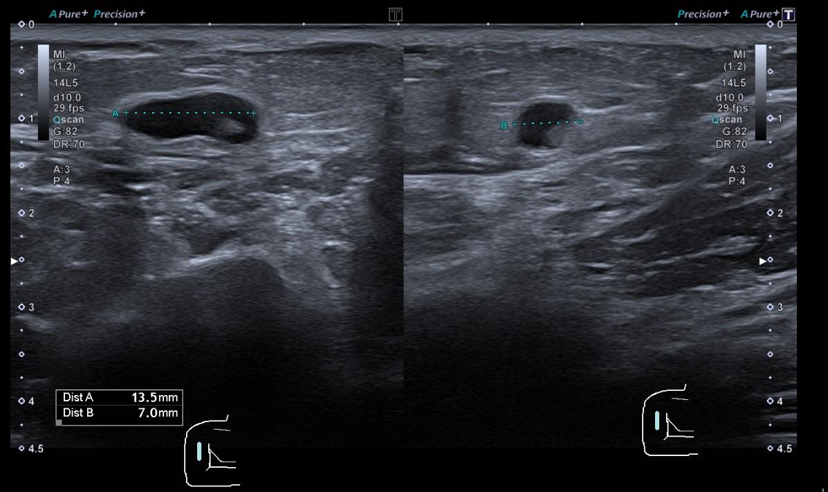
Exploración física: se palpa massa de unos cinco centímetros de consistencia elástica, no adherida a planos profundos, que es dolorosa a la palpación. El dolor no aumenta con los movimentos del hombro. Pulsos presentes y simétricos. No alteración de la fuerza ni de la sensibilidad distal.
Hallazgos ecográficos
Descripción de los hallazgos ecográficos: formación nodular, isoecoica, de morfología ovalada y bodes delimitados, de un tamaño máximo de 40 x 31 x 12 mm, sugestiva de lipoma subcutáneo. En su interior, muestra dos pequeñas áreas de aspecto quistico, de 7 y 13 mm, sugestivas de áreas de necrosis grasa.
Pruebas complementarias
Otras pruebas complementarias realizadas: ecografía de hombro que muestra signes de tendinosis del supraespinoso y el subescapular sin poderse descartar pequeña rotura parcial. No signos de atrapamiento subacromial.
Juicio clínico, diagnóstico diferencial, concordancia con el hospital (en su caso)
Lipoma con presencia de signos de necrosis grasa en su interior, como probable origen del dolor.
Tratamiento, planes de actuación
Se recomienda tratamiento antinflamatorio, frío local y control evolutivo.
Evolución
A las tres semanas el paciente acude a control y refiere mejoría del dolor. Se realiza de nuevo ecografía que no muestra cambios significativos.
Los lipomas son tumoraciones benignas que normalmente no son dolorosas y que raramente ocasionan ninguna complicación. La necrosis grasa, aunque poco frecuente, es una de las complicaciones que puede generar. La ecografía a pie de cama nos puede ayudar en el diagnóstico diferencial con otras tumoraciones cutáneas y para detectar possibles complicaciones de lesiones benignas, como en nuestro caso.


