X Jornadas de Actualización en Medicina de Urgencias y VI Jornadas de Ecografía de la semFYC
6-7-8 de febrero de 2025
Servicio de urgencias de Atención Primaria (SUAP).
Paciente traído en ambulancia a un SUAP por disnea.
Enfoque individual: antecedentes personales, anamnesis, exploración, pruebas complementarias, etc.
Hombre 69 años.
+ Antecedentes: EPOC restrictivo grave (Extrabajador mina de diamantes) con oxígeno domiciliario.
+ Anamnesis: Aumento disnea habitual en últimas 48 horas con dolor centrotorácico que le impide respirar con normalidad. No fiebre ni aumento de tos.
+ Exploración:
- Constantes: Saturación oxígeno 92% (FiO2 21%), 24 respiraciones/minuto, trabajo respiratorio. Tensión Arterial: 112/74. Frecuencia Cardíaca: 92. Temperatura 36,3 ºC. Glucosa 112.
- Auscultación Cardíaca: ruidos cardiacos rítmicos, tonos apagados, no soplos.
- Auscultación Pulmonar: hipofonesis generalizada, no ruidos añadidos.
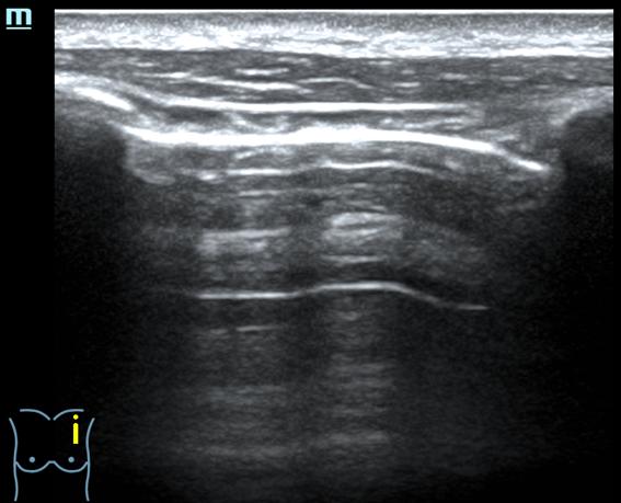
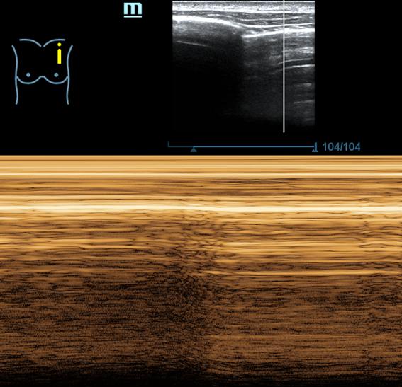
- Ecografía pulmonar (protocolo BLUE): Perfil A en los 4 puntos BLUE anteriores: deslizamiento pleural y líneas A. Signo de la playa en modo M. Puntos PLAPS: deslizamiento pleural, irregularidades pleurales, >2 líneas B.
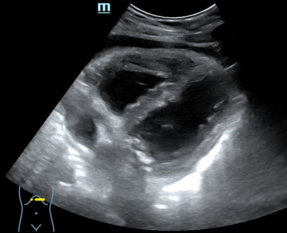
- Ecografía abdominal: ventana subxifoidea: buena contractilidad miocárdica, cámaras de tamaño normal, derrame pericárdico. Corte epigastrio: cava de tamaño y colapsabilidad normal.
- Electrocardiograma (EKG): Taquicardia sinusal, aumento ST cóncavo en todas las derivaciones (excepto AVR, AVL y V1) con descenso del PR.
Enfoque familiar y comunitario: estudio de la familia y la comunidad (si fuese necesario)
No.
Juicio clínico, diagnóstico diferencial, identificación de problemas
Diagnóstico diferencial: la ecografía pulmonar descarta: neumotórax, derrame pleural y consolidación pulmonar. La ecografía abdominal descarta: tromboembolismo pulmonar, insuficiencia cardíaca y taponamiento cardíaco.
Juicio clínico: Pericarditis aguda (dolor centrotorácico + ascenso ST en casi todas las derivaciones + derrame pericárdico), pero surgió un problema: el EKG informaba que era un infarto inferior agudo.
Tratamiento y planes de actuación.
Se contacta Cardiólogo de guardia para consensuar actitud. Se decide manejarlo como SCACEST INFERIOR.
Se administra al paciente nitroglicerina sublingual, aspirina vía oral y morfina intravenosa.
Se activa Código Infarto y se traslada en helicóptero al hospital de referencia.
Evolución
Resumen informe Cardiología:



