5, 6 y 7 de febrero de 2026
Atención Primaria.
Revisión de Neurilemoma dependiente del nervio tibial posterior diagnosticado en 2018, sin cambios desde fecha diagnóstica.
Enfoque individual
Tratamiento
Omeprazol 20 mg 1 cápsula cada 12 horas.
Hallazgos ecográficos
2018 Ecoscopia de atención primaria: imagen hipoecogénica de 2,5 x 2 cm redondeada por debajo de arteria tibial posterior con imagen Doppler periférica. Impresión diagnóstica: hematoma local. Plan: ecoscopia de control.
2018 Ecoscopia de control de atención primaria: persiste lesión, ovoide, bien delimitada, encapsulada de 2 x 2,5 cm, con vascularización interior, localizada en región muscular profunda a tercio medio del Tendón de Aquiles derecho. Plan: ecografía reglada.
2018 Ecografía reglada: tumoración de 2,4 cm. Impresión diagnóstica: Neurilemoma dependiente del nervio tibial posterior. Plan: biopsia de lesión.
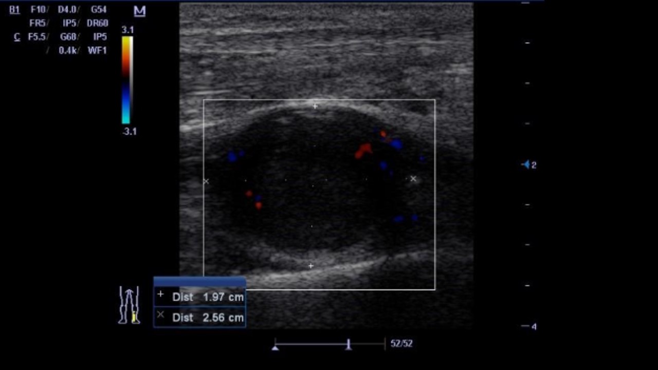
2025 Ecografía reglada: nódulo sólido hipoecogénico, bien delimitado de 2,5 x 1,4 cm.
Pruebas complementarias
Anatomía Patológica: 60% material fibrinoide acompañado por fragmento de tejido fibroso colagenizado, aisladas células fusadas sin atipia y vasos de pequeño calibre. Técnicas de inmunohistoquímica: positividad focal para S100. Impresión diagnóstica: Neurilemoma. No se evidencian signos histológicos de malignidad.
Juicio clínico, diagnóstico diferencial, concordancia con el hospital (en su caso)
Hallazgo casual encontrado en ecografía realizada por sospecha de rotura de fibra a nivel gemelar.
Ecoscopia: imagen hipoecogénica de 2,5 x 2 cm redondeada con Doppler periférico. Impresión diagnóstica: hematoma local.
Ecografía reglada: tumoración de aproximadamente 2,4 cm. Impresión diagnóstica: Neurilemoma dependiente del nervio tibial posterior.
Confirmándose origen de la tumoración en la Anatomía Patológica.
Tratamiento, planes de actuación
Por la benignidad del hallazgo se decide realizar conducta expectante y ecografías de seguimiento.
Evolución
2022 Ecoscopia de Atención Primaria: Lesión redondeada bien delimitada por debajo de arteria tibial posterior vacuolada - esponjosa con diámetro de 1,2 x 1,5 x 2,5 cm. Aparenta mismo tamaño que hace 4 años.
Ecografía de control a los 7 años en la que no se aprecia crecimiento de la lesión por lo que la lesión impresiona de tumoración benigna de morfología estable.
Seguimiento ecográfico periódico, valorar cirugía curativa si dolor.
Resultando a veces estos hallazgos, en diagnósticos precoces y otras, en situaciones con obligación de controles posteriores, como es este caso.



