V Jornadas de Ecografía de la semFYC
9 y 10 de febrero de 2024
Servicio de Urgencias
Dolor en fosa renal
Enfoque individual
Paciente de 22 años, sin alergias conocidas. Embarazada de 24 semanas en tto con ácido fólico. Consulta en urgencias por dolor en fosa renal derecha irradiada hacia genitales de 3 horas de evolución. Acompañada de disuria, vomitos y sudoracion. Niega fiebre.
Exploracion: Buen estado general. Bien hidratada y perfundida. Auscultación normal. Abdomen: Depresible, palpando aumento uterino por embarazo. No otras masas. Ruidos conservados. Puño percusion renal derecha positiva. No apofisalgia.
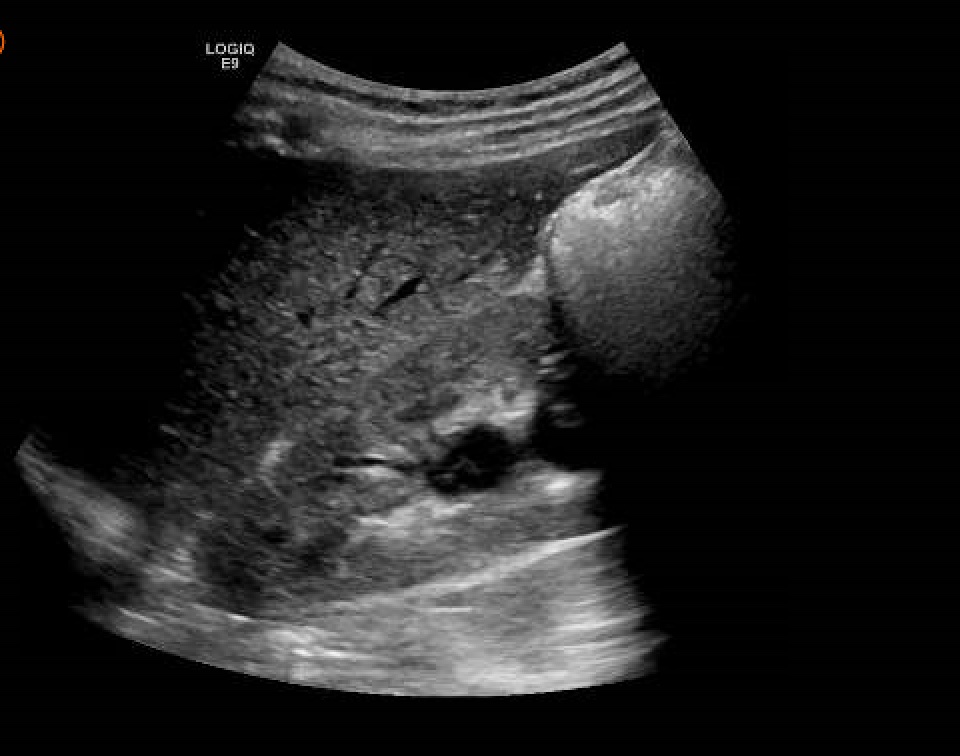
Se administra acetaminofeno y diazepam intravenoso. Se pide analítica con perfil renal y se realiza ecografia clinica en consulta.
Hallazgos ecográficos
Pruebas complementarias
- 1º Analitica Hemograma 10.9, Leucocitos 11430 y 300000 plaquetas. Neutrofilos 8540. Resto de parámetros, incluida creatinina (0,85) normal.
- Sistematico de orina: Leucocitos, hematies y nitritos negativos. Bacterias moderadas.
- 2º Analitica (control tras 10h): Se mantiene creatinina en valor normal (0,92).
Juicio clínico, diagnóstico diferencial, identificación de problemas
Juicio clínico: Hidronefrosis moderada por compresion uterina (embarazo).
Tratamiento y planes de actuación
Plan de Actuación: Vigilancia en urgencias con sueroterapia durante 14h. Se contacta con urologia de guardia que indica no actuacion actual ante función renal normal y control del dolor con analgesicos. Alta a domicilio con analgésicos (acetaminofeno y metamizol cada 8h) y aumento de hidratacion en domicilio.
Evolución
Seguimiento: Evolución favorable, con desaparicion del dolor a la semana. Se realizó, nueva ecografía clínica en su centro de salud, confirmando la normalidad de la via urinaria (por movimientos fetales).
La hidronefrosis en el embarazo, suele aparecer hasta en un 90%, sin embargo solo un pequeño porcentaje presenta clínica (3%). Aparece en la segunda mitad de la gestación, siendo las causas extrinsecas las más habituales (compresión por aumento de las vena ovaricas y/o uterino). En la actualidad, sigue siendo la ecografía el mejor metodo para su diagnóstico por su inocuidad. En la mayoría de los casos, solo precisa tratamiento sintomático, hidratación y medidas posturales maternos (decubito lateral sobre el lado contrario al del riñón dilatado con intención de disminuir la compresión por el utero).
