V Jornadas de Ecografía de la semFYC

9 y 10 de febrero de 2024

Comunicaciones: Casos clínicos

Hilando fino (oral)

Ámbito del caso

Atención Primaria.

Motivos de consulta

Acude a consulta una paciente de 58 años por dolor y sensación de chasquido en 4º dedo de la mano derecha con rigidez matutina.

Historia clínica

Enfoque individual

No presenta RAMc. No fumadora. No otros hábitos tóxicos. FRCV: DM, HTA, no DL. AP: hipotiroidismo. Tratamiento habitual: Losartán/hidroclorotiazida 50/12.5 mg, metformina 850 mg, Eutirox 75 mcg. Profesión: costurera. EF: 4º dedo mano D: El dedo se bloquea en flexión con limitación de movimiento y en extensión salta como «un golpe seco». Se palpa nódulo en la base del 4º metacarpo. Se realiza ecografía del dedo y radiografía de las manos para afianzar el diagnóstico y descartar otras patologías.

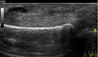
Hallazgos ecográficos

Se visualiza engrosamiento hipoecoico difuso en polea A1, líquido en las inmediaciones del tendón y tendón tumefacto.

Pruebas complementarias

Radiografía simple de manos: Sin lesiones óseas agudas. Leve pérdida de espacio a nivel metacarpofalángica. Radiografía del 4º dedo mano derecha: Sin lesiones óseas agudas

Juicio clínico, diagnóstico diferencial, identificación de problemas

Juicio clínico: dedo en resorte. Diagnóstico diferencial: dedo en resorte vs luxación 4ª dedo vs enfermedad de Dupuytren vs enfermedad de Quervain vs artritis reumatoide vs ganglio retinacular vs cuerpo extraño

Tratamiento y planes de actuación

Se realizó punción ecoguiada con corticoide como tratamiento. Fue derivada al reumatólogo para descartar enfermedad reumática. Fue derivada al fisioterapeuta para mejorar la movilidad con ejercicios adaptados y debido a la asociación de la patología con la carga laboral, se dio una baja laboral recomendando reposo.

Evolución

La paciente mejoró tras tratamiento con inyección de corticoides.

Conclusiones (y aplicabilidad para la Medicina de Familia)

La ecografía en Atención Primaria es de utilidad porque agiliza el diagnóstico y el tratamiento de las patologías de nuestros pacientes, además de evitar derivaciones innecesarias a otros especialistas. En este caso nos permite tratar a la paciente, una vez descartados el resto de diagnósticos diferenciales. La ecografía permite «hilar fino» en el diagnóstico y el tratamiento de esta y patologías similares. 
 
 
 
 
 
 

Comunicaciones y ponencias semFYC: 2026; Comunicaciones: Casos clínicos. ISSN: 2339-9333

Autores

Llorente De Santiago, Lujan
CS Torrelodones. Madrid
García De Prado Cwierz, Marta
Centro De Salud Galapagar. Madrid
Jiménez Alfonso, Olga
Centro de Salud Galapagar. Madrid