X Jornadas de Actualización en Medicina de Urgencias y VI Jornadas de Ecografía de la semFYC
6-7-8 de febrero de 2025
Atención Primaria.
Alteración de pruebas de función hepática.
Antecedentes personales relevantes, anamnesis, exploración física y lugar que ocupa en ella la ecografía
Paciente de 39 años, sin alergias medicamentosas conocidas y sin antecedentes medicoquirúrgicos de interés. A tratamiento con anticonceptivo oral únicamente. Acude a consulta por alteración de pruebas de función hepática en analítica realizada en el trabajo (gamma-glutamil transferasa (GGT). Exploración física sin alteraciones. Realizamos ecografía clínica abdominal, en concreto, para evaluar hígado y vía biliar.
Descripción de los hallazgos ecográficos y las imágenes más relevantes para la resolución del caso
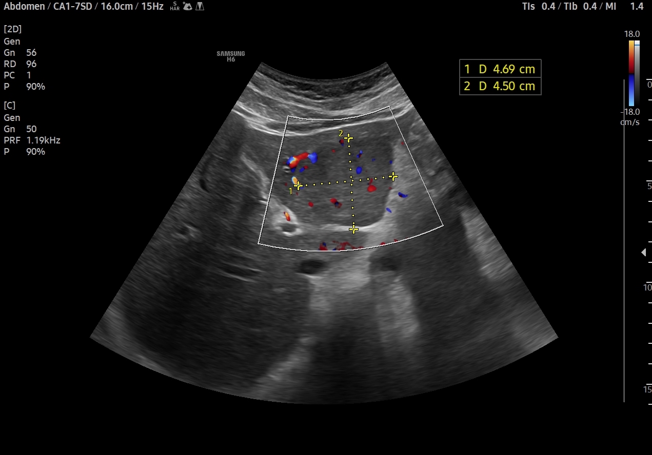
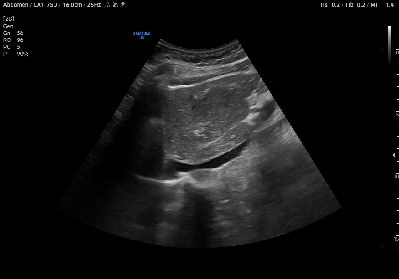
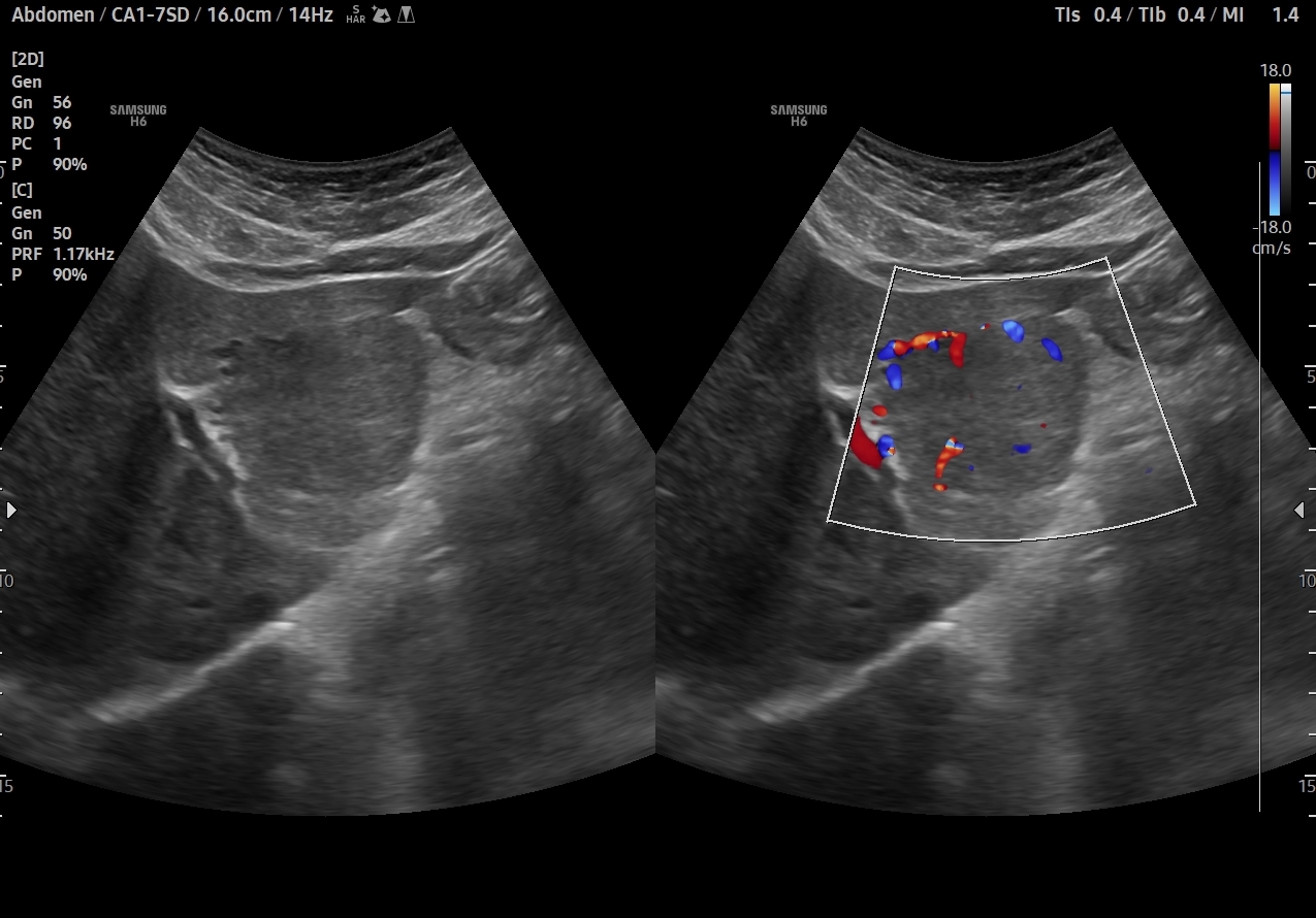
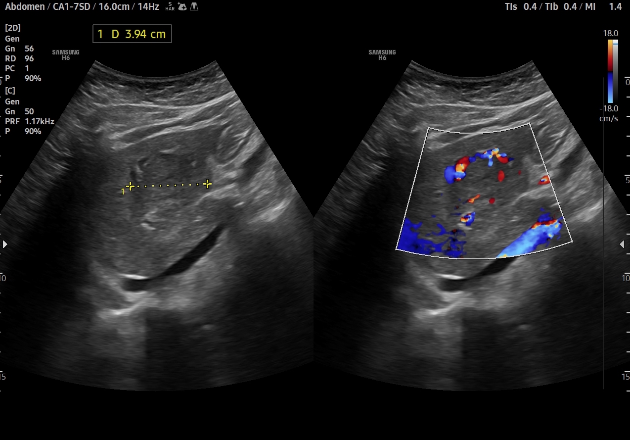
En el lóbulo hepático izquierdo visualizamos lesión focal iso-hipoecogénica respecto al parénquima hepático circundante que mide 4,6 x 4,5 x 3,9 cm y que presenta un aumento de la señal Doppler. Vemos la imagen tanto en cortes transversales como en cortes longitudinales, también con el modo Doppler activo. Resto de parénquima hepático y vía biliar de aspecto normal, sin otras alteraciones.
Otras pruebas complementarias realizadas (si existen)
Solicitamos ecografía reglada, haciendo el servicio de radiología finalmente Resonancia magnénica (RM) del hígado: Lesión en el lóbulo hepático izquierdo de 40 x 42 mm, localizada fundamentalmente en el segmento III y en localización subcapsular, que dada las características es compatible con una hiperplasia nodular focal.
Juicio clínico, diagnóstico diferencial, concordancia con el hospital (en su caso)
Dados los antecedentes de la paciente (edad y toma anticonceptivos orales) la imagen ecográfica inicial impresiona de hiperplasia nodular focal. El diagnóstico diferencial comprende otras lesiones focales en el hígado: hemangioma, adenoma, quiste, hepatocarcinoma, tumores metastásicos. En este caso la concordancia con la posterior RM hepática es total.
Decisiones adoptadas: tratamiento, planes de actuación
Se solicitó ecografía y se derivó a consultas de Digestivo.
Evolución y seguimiento
Paciente asintomática, se realizó finalmente RM que confirmó el hallazgo y no precisó seguimiento por parte de Digestivo una vez vista en consulta.
Paciente asintomática, en la que realizamos ecografía clínica por alteración de pruebas de función hepática y en la que nos encontramos con una hiperplasia nodular focal. Se trata del segundo tumor benigno más frecuente del hígado y suele cursar sin sintomatología acompañante. En este caso la ecografía clínica nos permite descartar patología responsable de la alteración analítica en la paciente y caracterizar la lesión hallada haciendo el diagnóstico diferencial con otras lesiones hepáticas. Posteriormente podremos realizar un seguimiento de la lesión para ver si aumenta de tamaño.



