5, 6 y 7 de febrero de 2026
Enfoque individual
Diabetes mellitus 1. Enfermedad de Graves, fibromialgia, hipercolesterolemia.
Paciente que acude por consulta de urgencias del centro de salud por molestias urinarias inespecíficas, leve dolor hipogástrico, flujo vaginal blanquecino de manera intermitente, no otros síntomas.
Desde enfermería se realiza tira de orina con resultados: leucocitos, proteínas y sangre (+++) por lo cual nos llaman tratamiento de manera empírica.
Enfoque familiar y comunitario
No antecedentes familar de interés.Juicio clínico, diagnóstico diferencial, identificación de problemas
Infección de tracto urinario no complicada.
Tratamiento y planes de actuación
Antibiótico empírico, se cursa cultivo de orina.
Evolución
Días después es vista por otro médico en urgencias, refiriendo coloración de orina mas oscuras de lo habitual sin disuria y con ligero prurito, febrículas.
Se pauta antibiótico empírico y deja estudio de orina al finalizar tratamiento.
Una semana más tarde consulta por persistencia de síntomas, a pesar de tener estudio de orina negativo. En esta ocasión se añade, distensión abdominal progresiva.
Presenta abdomen distendido, percusión mate, molesto a la palpación hipogástrica, induración sin claras masas ni megalias.
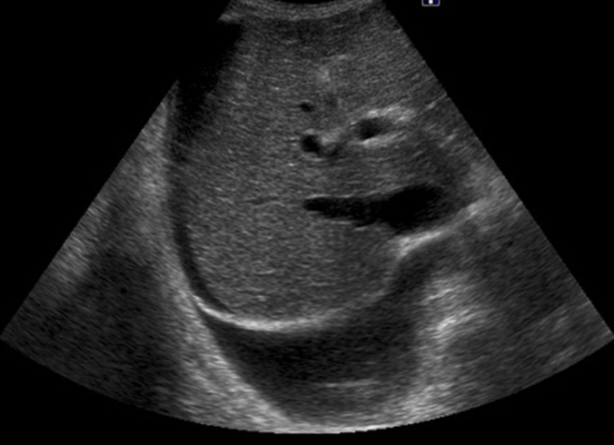
Se realiza ecoscopia no reglada, con imagen compatible con ascitis.
Ante los hallazgos se deriva a urgencias hospitalaria, allí confirman liquido libre en espacio de Morrison, en dicho líquido se observan imágenes redondeadas, móviles de contenido heterogéneo e hiperecogénicas y formación anexial solido – quística.
Con estos hallazgos se solicita ampliar estudio y derivación a hospital de referencia.
Semanas mas tarde acude nuevamente a centro de salud. Ha acudido a ginecología por privado, donde en ecografía se visualiza imagen isoecoica de 31mm con vaso en su interior.
Se informan resultados de marcadores tumorales.
Queda en espera de consulta con especialista hospitalario.
TAC: compatible con carcniomatosis peritoneal de probable origen ovárico.
Tres semanas mas tarde es vista por ginecología, comité de tumores y oncología radioterápica donde se consensuan tratamiento.
Durante la espera de la cita ha sido necesario realizar paracentesis evacuadora de ascitis hasta en tres ocasiones.
Finalmente, paciente vista en oncología médica con diagnóstico de: Adenocarcinoma seroso de alto grado de origen ovárico/peritoneal estadio III, con estudio inmunohistoquímico que muestra sobrexpresión de p53.
Con este caso se muestra cómo un cuadro inicialmente compatible con infección urinaria puede ocultar una patología oncológica avanzada, destacando el valor de la ecografía clínica en Atención Primaria para identificar signos de alarma como ascitis.
