X Jornadas de Actualización en Medicina de Urgencias y VI Jornadas de Ecografía de la semFYC
6-7-8 de febrero de 2025
Antecedentes personales relevantes, anamnesis, exploración física y lugar que ocupa en ella la ecografía
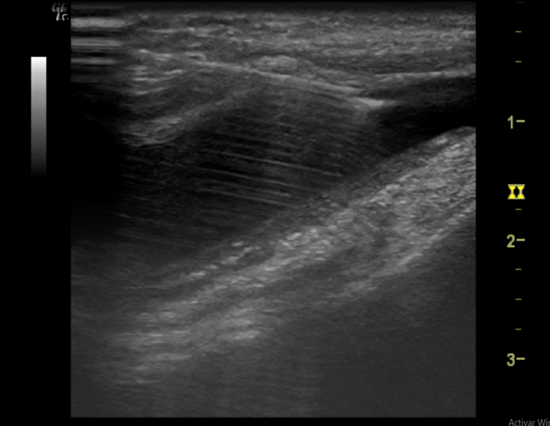
Descripción de los hallazgos ecográficos y las imágenes más relevantes para la resolución del caso
Enfermedad actual: Acude al Centro de Salud tras caída en una escalera y traumatismo en rodilla derecha. Gonalgia, EVA 8/10, impotencia funcional e importante inflamación que le impide caminar.
Exploración física: rodilla derecha muy inflamada, enrojecida y CON aumento de temperatura. Rebote (+). Dolor a la mínima flexión que impide su correcta exploración.
Pruebas complementarias: se realiza ecografía a pie de cama en la consulta de Atención Primaria.
Otras pruebas complementarias realizadas (si existen)
Radiografía de rodilla: signos degenerativos sin hallazgos de fractura.
Juicio clínico, diagnóstico diferencial, concordancia con el hospital (en su caso)
Sinovitis de rodilla, derrame suprapatelar y posible hemartros postraumático.
Decisiones adoptadas: tratamiento, planes de actuación
Tras anestesia con mepivacaina y realizar adecuada asepsia de la zona y con campo esteril se procede al drenaje mediante artrocentesis dirigida por ecografía con aguja 21 G (intramuscular) extrayéndose 30 cc de líquido sanguinolento. (imagen 3) Sin retirar la aguja se procede a infiltrar betametasona (Celestone Cronodose) (imagen 4).
Evolución y seguimiento
Se indica compresión, frío local y reposo 24 h.
Se reevalúa a la paciente a los 3 días observándose rápida mejoría del dolor y movilidad.
La implementación de un ecógrafo en nuestro centro de salud ha revolucionado el diagnóstico y tratamiento de lesiones musculoesqueléticas. La artrocentesis ecoguiada, proporciona una visualización en tiempo real de la aguja, optimizando la precisión en la punción articular, reduce significativamente la tasa de procedimientos fallidos y el riesgo de lesiones de estructuras adyacentes Todo ello, conlleva a un mejor y más precoz resultado del tratamiento, disminuye las complicaciones asociadas a la técnica empleada mejorando la seguridad y satisfacción del paciente.



