5, 6 y 7 de febrero de 2026
Urgencias.
Hipotensión mantenida tras sesión de hemodiálisis, acompañada de dolor lumbar agudo.
Enfoque individual
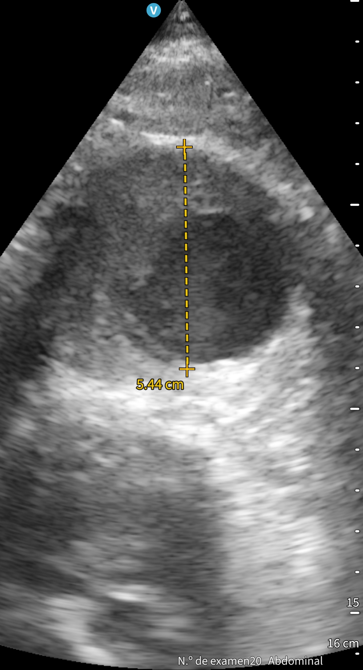
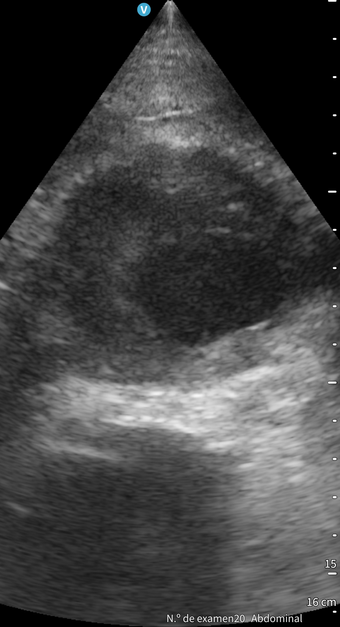
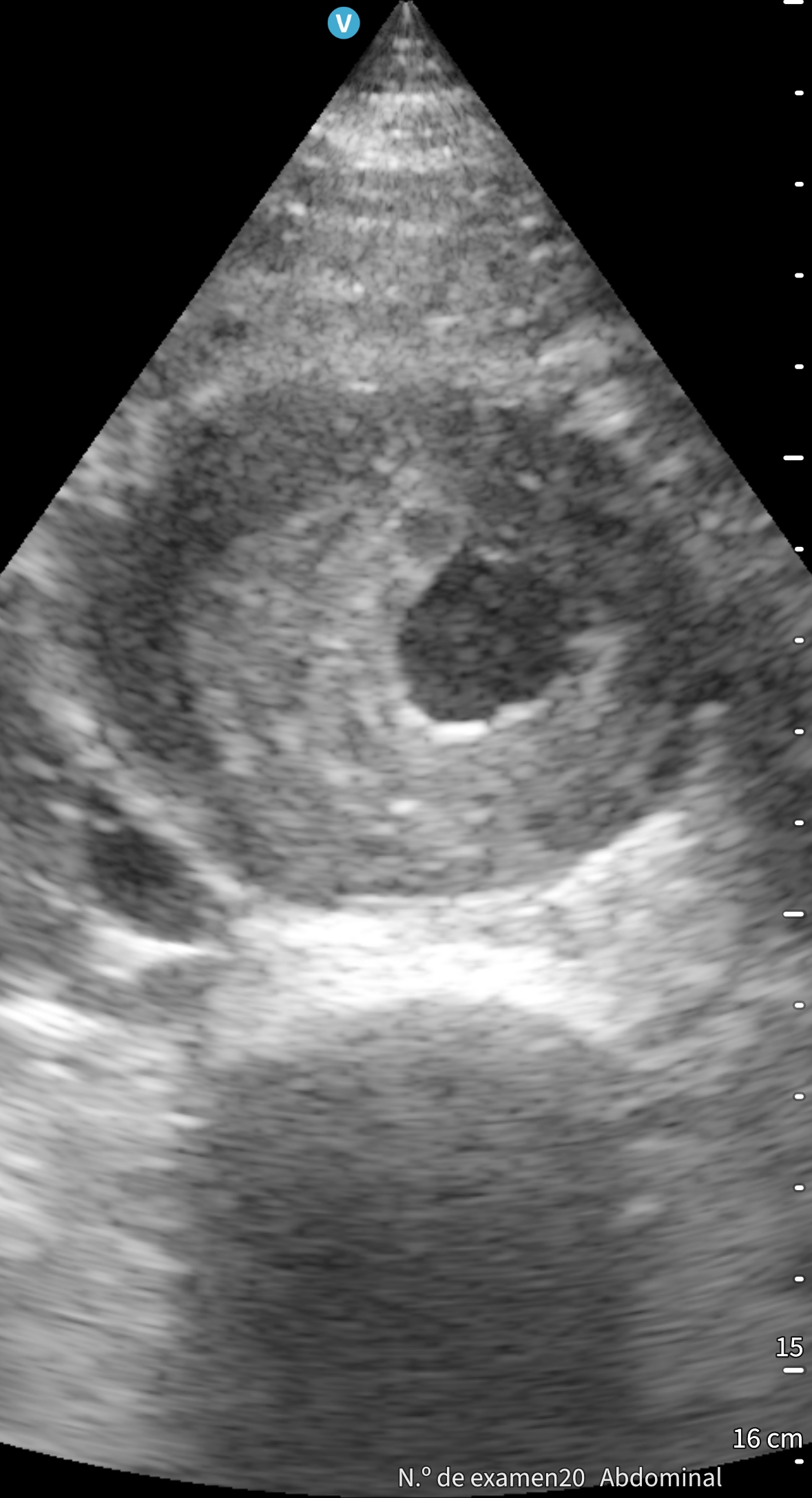
Tras finalizar una sesión de diálisis desarrolla hipotensión sintomática y dolor lumbar. A su llegada a urgencias presenta TA 60/40 mmHg, palidez mucocutánea y exploración abdominal anodina. Se inicia fluidoterapia. Ante la sospecha de rotura aneurismática se realiza ecografía a pie de cama, que muestra aneurisma de aorta abdominal con trombo mural irregular y luz permeable reducida, sin signos de rotura, permitiendo descartar una emergencia tiempo-dependiente. El angioTAC urgente confirma la ausencia de disección o extravasación, aunque evidencia crecimiento aneurismático respecto a estudios previos. Analítica sin anemia aguda, ligera leucocitosis y troponinas discretamente elevadas sin ascenso dinámico. Evoluciona favorablemente con recuperación tensional y resolución del dolor.
Enfoque familiar y comunitario
Convive con familiar cuidador, que garantiza acompañamiento y supervisión de su tratamiento crónico. Dependencia funcional elevada, con seguimiento sociosanitario y acceso a transporte sanitario programado.
Juicio clínico, diagnóstico diferencial, identificación de problemas
Juicio clínico inicial: hipotensión y dolor lumbar en paciente con aneurisma aórtico conocido, con riesgo elevado de rotura o disección.
Diagnóstico diferencial principal:
Rotura de aneurisma de aorta abdominal.
Hemorragia retroperitoneal.
Disección aórtica.
Shock hipovolémico por causas no hemorrágicas (pérdida durante diálisis).
Shock séptico incipiente.
Isquemia miocárdica atípica.
Cólico nefrítico o patología musculoesquelética (menos probable).
Problemas identificados:
Paciente de muy alto riesgo vascular.
Inestabilidad hemodinámica inicial.
Aneurismas en progresión.
Limitación para tratamiento quirúrgico por riesgo prohibitivo.
Dependencia funcional elevada.
Tratamiento y planes de actuación
Sospecha inicial de rotura o disección de aneurisma abdominal. Diagnósticos diferenciales: hemorragia retroperitoneal, shock hipovolémico postdiálisis, shock séptico, isquemia miocárdica atípica o dolor musculoesquelético. Problemas: inestabilidad hemodinámica, aneurismas en progresión, contraindicación quirúrgica previa y alta fragilidad.
Evolución
Mejoría hemodinámica sostenida, desaparición del dolor y estabilidad clínica durante la estancia en urgencias. Alta con recuperación completa de las tensiones.
La ecografía clínica a pie de cama resultó fundamental para descartar de forma rápida una rotura aneurismática y dirigir el manejo inicial. Este caso demuestra su valor como herramienta resolutiva, segura y accesible en urgencias, reforzando la capacidad diagnóstica y la toma de decisiones del profesional de Medicina de Familia.



