5, 6 y 7 de febrero de 2026
Diarrea y dolor abdominal.
Enfoque individual
Mujer de 85 años con antecedente personal de síndrome ansioso depresivo y estreñimiento de larga evolución que es atendida en consulta de urgencias por diarrea incapacitante. El cuadro se inició con dolor suprapúbico y estreñimiento hace 3 meses, evolucionando posteriormente a 4-5 deposiciones diarias y pérdida de 10 kg. Se había realizado analítica sin alteraciones significativas (Hb 12.5, PCR 74.4), SOH negativa y Clostridium difficile positivo que se trató con Metronidazol sin mejoría. En consulta de interior (urgencias) se palpa masa dolorosa pélvica, por lo que se hace ecografía con ecógrafo portátil.
Hallazgos ecográficos
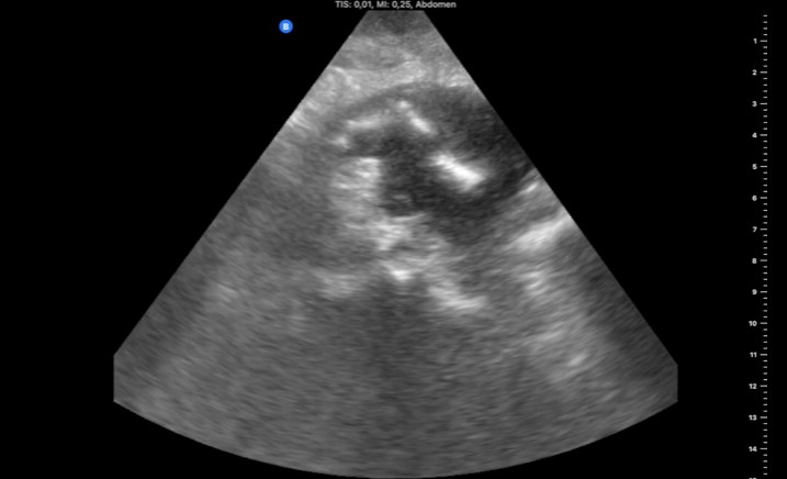
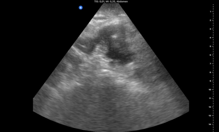
Masa ovalada de 5 x 2,6 x 4,7 cm, con pared gruesa hipoecogénica y zona central hiperecogénica (foto 1) que se prolonga por la parte craneal con el tubo digestivo (foto 2), sugestiva de neoplasia de colon.
Juicio clínico, diagnóstico diferencial, concordancia con el hospital (en su caso)
Probable neoplasia de colon.
Tratamiento, planes de actuación
Se deriva a Medicina Interna por circuito de sospecha de malignidad y se aporta la imagen de la ecografía por econsulta.
Evolución
Desde Medicina Interna solicitan TAC abdominal donde se objetiva adenocarcinoma de sigma estadio IV (metástasis ganglionares) para el que se desestimó tratamiento sistémico y se derivó a Paliativos. Un mes más tarde acudió a Urgencias hospitalarias por dolor abdominal y deterioro del nivel de conciencia, objetivando perforación intestinal y shock séptico. Se decidió aplicar medidas de confort, ocurriendo posterior exitus.

