X Jornadas de Actualización en Medicina de Urgencias y VI Jornadas de Ecografía de la semFYC
6-7-8 de febrero de 2025
Aquellos pacientes que acuden a consulta de Atención Primaria con sospecha de insuficiencia cardíaca descompensada (disnea paroxística nocturna, ortopnea, aumento de su disnea basal, nicturia y edemas de miembros inferiores) que presenten una estabilidad clínica y hemodinámica, podrían ser candidatos para realizar un tratamiento domiciliario con seguimiento por Atención Primaria.
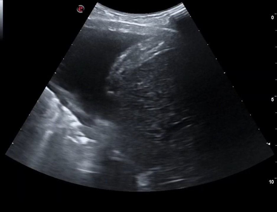
Para cuantificar el grado de insuficiencia cardíaca, además de la exploración cardiorrespiratoria y de miembros inferiores, la ecografía clínica pulmonar nos permitiría valorar, en los 18 campos, la presencia de líquido pleural, con la distorsión por aparición de mayor a tres líneas B, además de la valoración de líquido en senos costofrénicos.
Al iniciar el proceso, se recomienda la utilización de la ecografía pulmonar, además de extraer un péptido atrial natriurético y el Ca125; y la realización de un electrocardiograma para valorar sobrecarga vascular.
Empezaríamos aumentando la dosis de diuréticos, cada 24-12-8 horas, incluso duplicando dosis. Posteriormente, se irá desescalando el tratamiento diurético, planteándonos la implantación de la aldosterona 0-100 cómo ahorrador de diuréticos.
La ecografía pulmonar nos evita utilizar técnicas más invasivas y los ingresos tardíos hospitalarios para un control de la insuficiencia cardíaca, que se puede controlar en Atención Primaria utilizando el tratamiento adecuado precoz, y monitorizando la evolución con la ecografía.
Cada vez más centros disponen de ecografía, pero para ello necesitamos formación para los profesionales y la presencia de un ecógrafo en el centro, así como la adaptación de la consulta en tiempo para poder realizarla.

