5, 6 y 7 de febrero de 2026
Atención Primaria.
Dolor en región lumbar derecha con irradiación a fosa ilíaca derecha, de 15 días de evolución.
Enfoque individual
Mujer de 39 años, valorada previamente en un SUAP donde fue diagnosticada de cólico renal y tratada con cefixima y metamizol, sin mejoría.
Antecedentes personales: episodios previos de cólicos de repetición.
Antecedentes ginecológicos: seguimiento reciente por amenorrea secundaria, con ecografía ginecológica previa normal.
Síntomas actuales: dolor persistente en zona lumbar-FID, sin fiebre ni síntomas urinarios claros. Refiere empeoramiento al permanecer sentada prolongadamente debido a su trabajo como teleoperadora, situación agravada posteriormente por la compresión vesical causada por la masa anexial.
La paciente convive con su marido y dos hijas, con buena relación familiar y adecuado apoyo sociofamiliar, favoreciendo adherencia y afrontamiento ante el proceso. Su empleo como teleoperadora se veía limitado por el aumento de molestias y la dificultad para mantener posturas prolongadas debido a la compresión vesical.
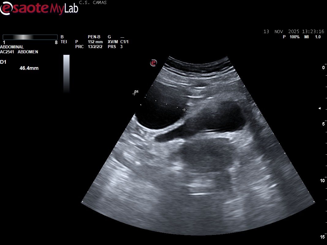
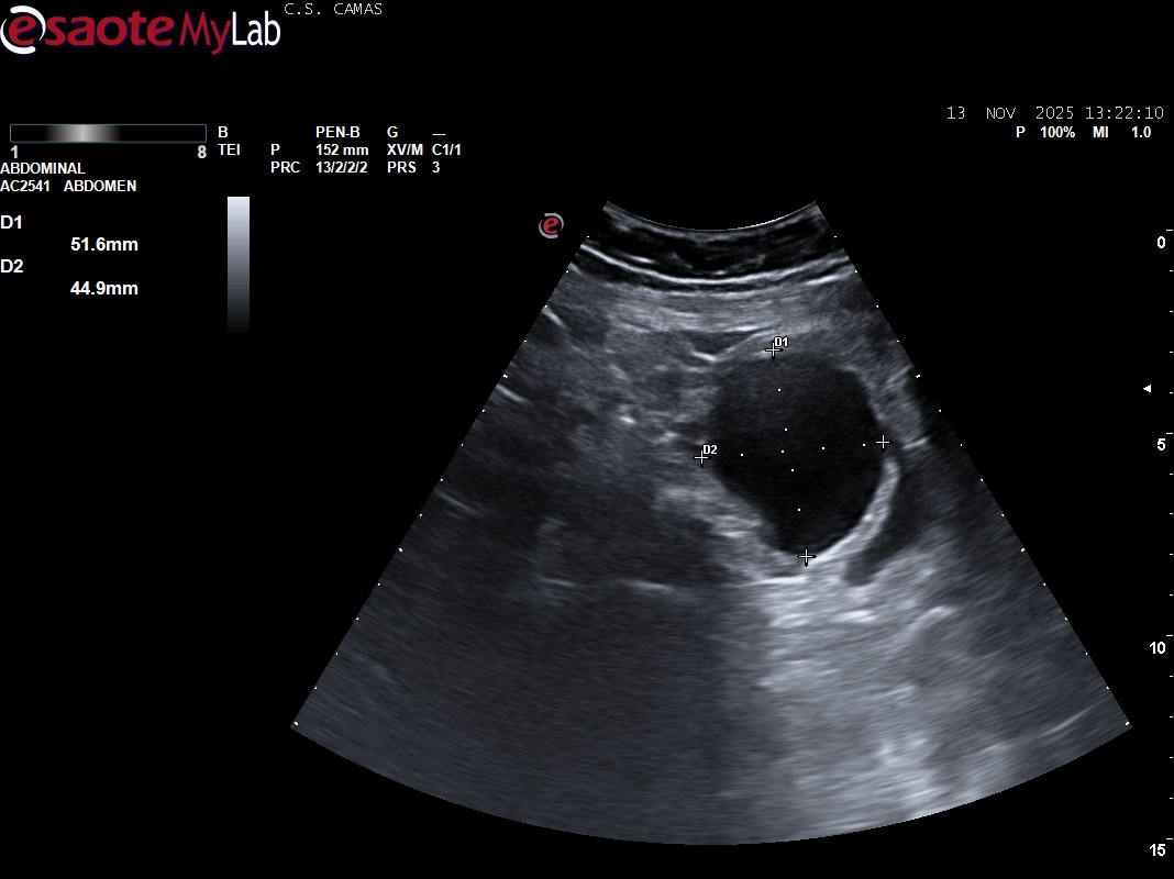
Hallazgos ecográficos
Ecografía clínica (POCUS):
Pruebas complementarias
No se realizan.
Juicio clínico, diagnóstico diferencial, concordancia con el hospital (en su caso)
Dolor lumbar irradiado secundario a masa anexial derecha compatible con quiste ovárico de gran tamaño y compresión vesical.
Diagnóstico diferencial
Tratamiento, planes de actuación
Derivación preferente a Ginecología.
Educación sanitaria sobre signos de alarma.
Recomendaciones posturales y analgesia según necesidad.
Evolución
En Ginecología se completó el estudio, confirmándose quiste ovárico derecho, indicándose intervención quirúrgica programada.
La patología ginecológica debe incluirse en el diagnóstico diferencial del dolor lumbar en mujeres en edad fértil. La ecografía POCUS facilita la identificación precoz de masas anexiales, mejora la capacidad resolutiva en Atención Primaria y agiliza la derivación.
Es importante diferenciar quistes ováricos simples sin ecos internos, como en este caso, de aquellos con ecos en su interior, característicos de quistes hemorrágicos.



