X Jornadas de Actualización en Medicina de Urgencias y VI Jornadas de Ecografía de la semFYC
6-7-8 de febrero de 2025
Atención Primaria.
Dolor abdominal epigástrico.
Antecedentes personales relevantes, anamnesis, exploración física y lugar que ocupa en ella la ecografía
Mujer de 68 años con antecedentes de dislipemia y Hepatitis C tratado. Antecedentes de hermano con Cáncer de Colon.
Acude a urgencias del Centro de Salud por dolor abdominal epigástrico sin irradiación de un mes de evolución asociado a pirosis y náuseas que no cede a pesar de analgesia, con empeoramiento progresivo. Asocia astenia y sudores habituales. Niega otra sintomatología.
Buen estado general. Consciente y orientada. Normohidratada, normocoloreada y afebril. No adenopatías periféricas.
Abdomen: Blando, suave y depresible, doloroso a la palpación en epigastrio y flanco derecho, RHA presentes, no se palpan masas ni megalias; sin signos de peritonismo.
Tras la persistencia del dolor se cita para ecografía de ese mismo día, dado el fácil acceso en dicho Centro de Salud.
Descripción de los hallazgos ecográficos y las imágenes más relevantes para la resolución del caso
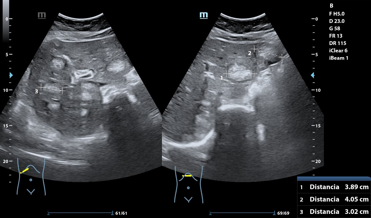
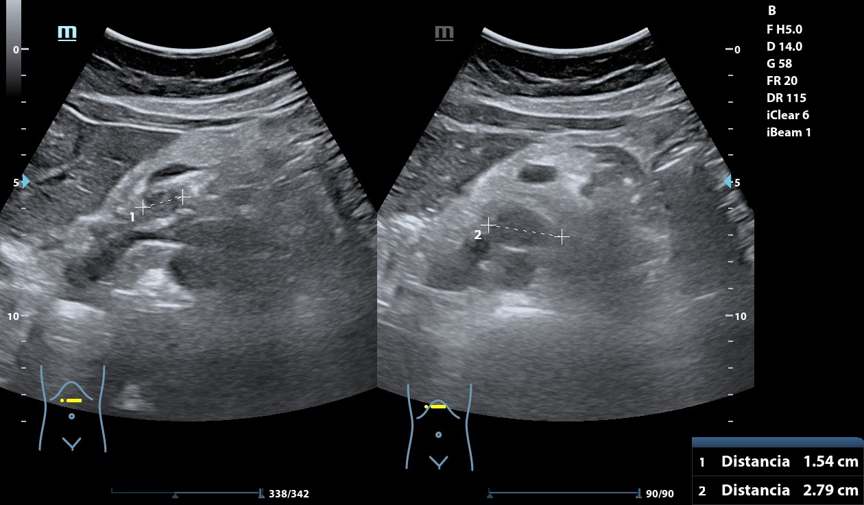
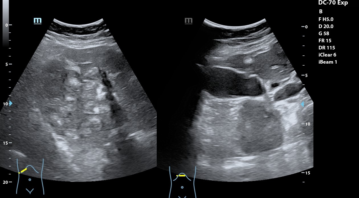
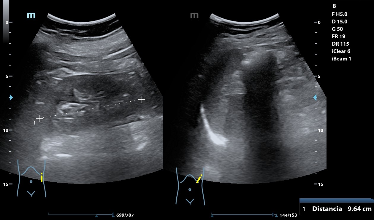
Hígado con abundantes LoEs hiperecogénicas con halo hipoecogénico. Retroperitoneo con abundantes imágenes redondeadas, hipoecogénicas peripancreáticas y retroperitoneales que llegan a medir 28 mm. A nivel de fosa ilíaca izquierda se observa imagen en pseudoriñón que con Doppler presenta captación y llega a medir hasta 72,2 mm.
Otras pruebas complementarias realizadas (si existen)
Analíticas recientes con ligera elevación del perfil hepático sin otras alteraciones.
Juicio clínico, diagnóstico diferencial, concordancia con el hospital (en su caso)
Diagnóstico diferencial: Gastritis, úlcera gástrica, cólico biliar, pancreatitis.
Juicio diagnóstico tras ecografía: Lesiones metastásicas en hígado. Adenopatías retroperitoneales y peripancreáticas.
Decisiones adoptadas: tratamiento, planes de actuación
Se deriva a Medicina interna para estudios, se realiza:
TAC: Hallazgos altamente sospechosos de metástasis pulmonares y hepáticas sin identificar claramente la neoplasia primaria. Múltiples adenopatías supra e infradiafragmáticas. Dudoso engrosamiento mural en el ángulo hepático del colon. Engrosamiento mural difuso de la vesícula biliar.
Se realiza ecografía + Biopsia hepática con resultado histológico compatible con adenocarcinoma tipo intestinal metastásico.
Medicina interna realiza petición para EDB e interconsulta con oncología.
Evolución y seguimiento
Seguimiento por oncología.
La ecografía de urgencias es una herramienta diagnóstica importante ya que permite a los profesionales entrenados evaluar de forma rápida, cómoda y sin irradiación al paciente. Es un método de bajo coste, para el que solo es necesario en principio una formación y un equipo adecuado al alcance del personal médico.



