X Jornadas de Actualización en Medicina de Urgencias y VI Jornadas de Ecografía de la semFYC
6-7-8 de febrero de 2025
Atención Primaria y Urgencias.
Fiebre.
Enfoque individual: antecedentes personales, anamnesis, exploración, pruebas complementarias, etc.
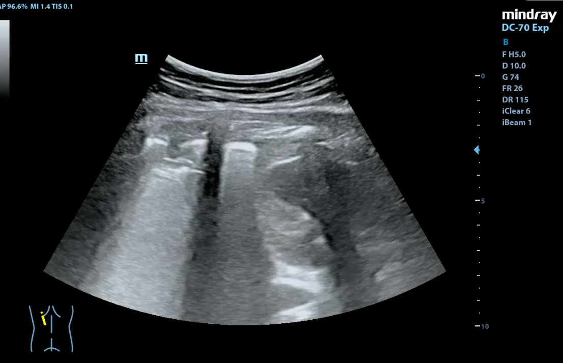
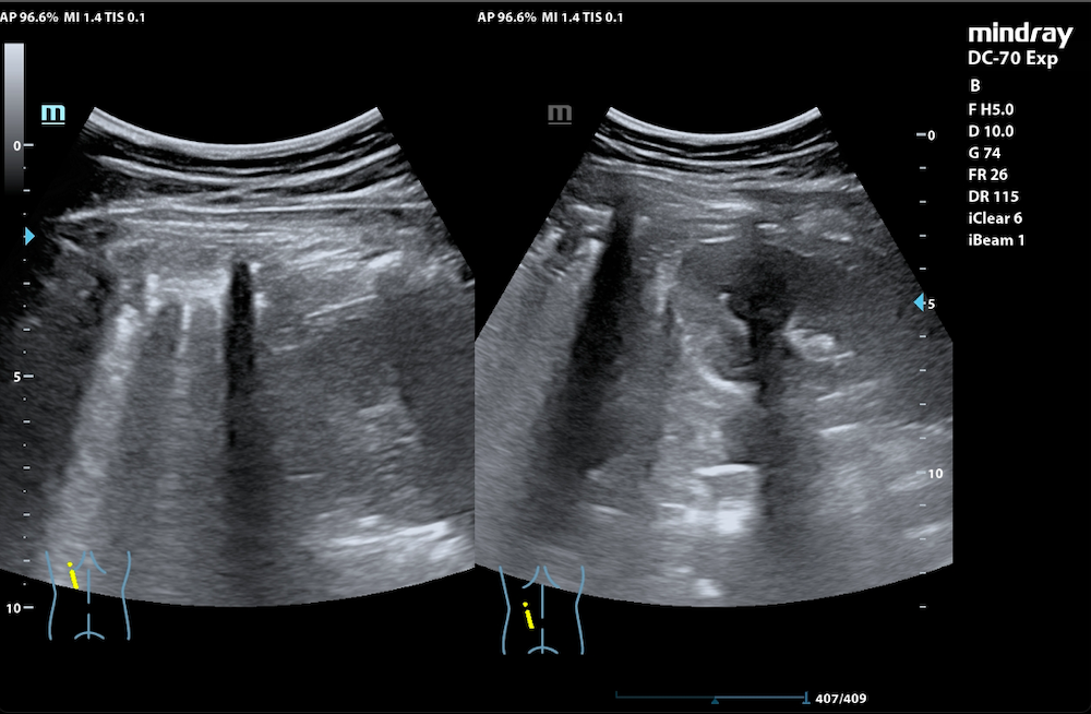
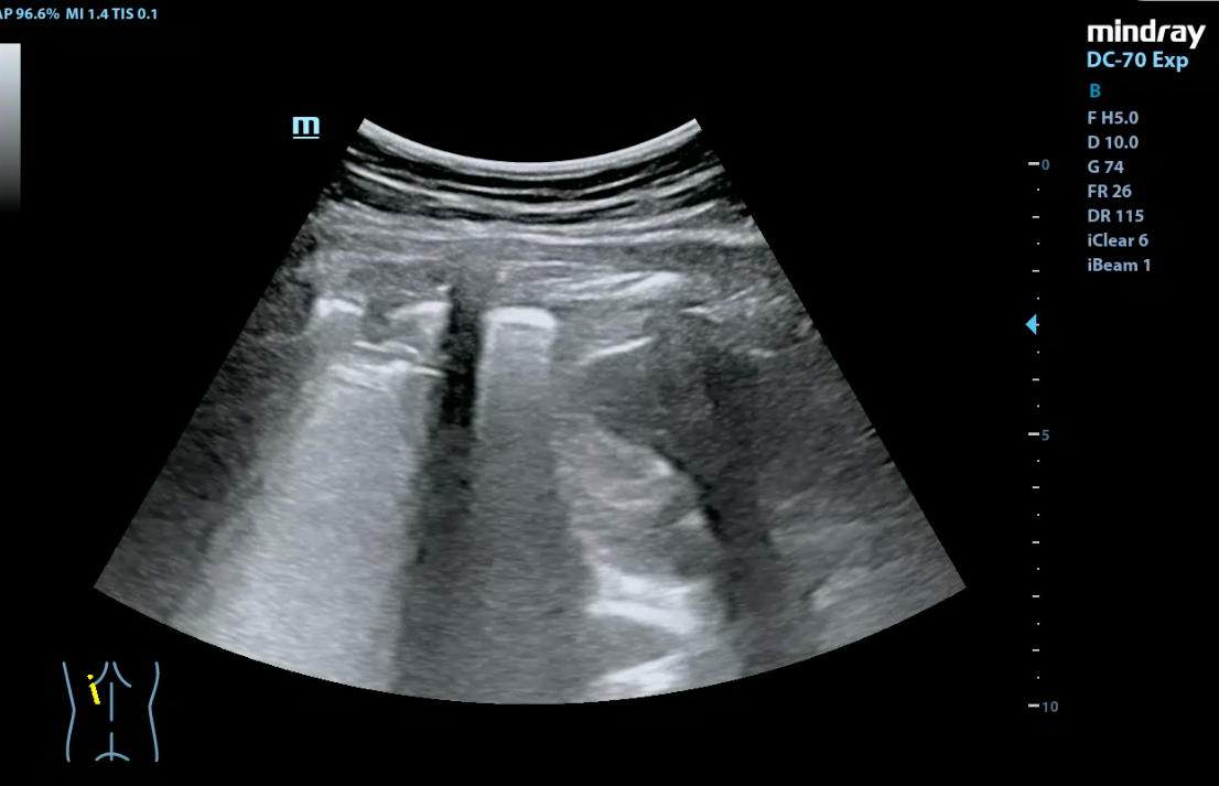
Paciente de 15 años con AP de asma y rinitis alérgica que acude al Servicio de Urgencias por fiebre de hasta 38,5 ºC y tos seca de 2 días de evolución. Además, refería dolor abdominal en hipocondrio izquierdo sin cambios en el hábito intestinal y sin vómitos. Dada la estabilidad del paciente y exploración física anodina se decide tratamiento sintomático en domicilio y revisión en consulta en días posteriores. Acude a la consulta tres días después refiriendo persistencia de la fiebre, disminución parcial de la ingesta y aumento de frecuencia de los accesos de tos seca. Exploramos al paciente: presenta crepitantes bibasales junto a algún roncus acentuado en base izquierda, se solicita una radiografía de tórax donde se objetiva una consolidación incipiente en la base pulmonar izquierda que borra mínimamente el reborde superior diafragmático. Debido a la alta incidencia de casos y clínica atípica compatible con infección por Mycoplasma se realiza un exudado resultando ser positivo, por lo que se pauta antibioterapia con Azitromicina durante 3 días. Tras haber cumplido con la pauta medicamentosa, acude nuevamente a consulta refiriendo picos febriles de hasta 40 ºC, malestar general, tos con expectoración y empeoramiento del dolor abdominal. Dado que a la auscultación y clínica presenta empeoramiento decidimos realizar una ecografía pulmonar para descartar complicaciones: se objetiva consolidación de ecogenicidad variable en su interior localizado en base pulmonar izquierda, con presencia de líneas B en el parénquima pulmonar sin presentar aparente derrame pleural.
Enfoque familiar y comunitario: estudio de la familia y la comunidad (si fuese necesario)
Gracias a la ecografía se ha podido diagnosticar lo anterior sin irradiar nuevamente al paciente.
Juicio clínico, diagnóstico diferencial, identificación de problemas
Debido a la persistencia de la clínica y empeoramiento sintomático se diagnostica neumonía por Mycoplasma Pneumoniae sobreinfectado.
Tratamiento y planes de actuación.
Dada la evolución tortuosa y probable sobreinfección se cubre al paciente con Augmentine durante 7 días.
Evolución
A la semana vuelve el paciente a nuestra consulta con mejoría clínica y afebril.
La ecografía pulmonar ha demostrado una alta precisión para el diagnóstico de neumonía siendo una prueba complementaria que no irradia al paciente. Podemos comenzar a implementarla tanto en la consulta como en los Servicios de Urgencias ofreciendo una respuesta inmediata a la pregunta asistencial y de esta manera, aumentar la capacidad resolutiva y diagnóstica de nuestros pacientes.


