X Jornadas de Actualización en Medicina de Urgencias y VI Jornadas de Ecografía de la semFYC
6-7-8 de febrero de 2025
Paciente mujer de 71 años presenta en la analítica de control como única alteración un deterioro leve pero progresivo de la función renal basal. Niega clínica alguna y tiene buen control de factores de riesgo cardiovascular. No cumple criterios de derivación a nefrología, pero ante los hallazgos y la disponibilidad se realiza una ecografía en el centro de salud.
Antecedentes personales relevantes, anamnesis, exploración física y lugar que ocupa en ella la ecografía
Antecedentes: Hipertensión arterial, Melanoma subungueal en 2019 con amputación de falange del primer dedo de mano derecha con ganglio centinela negativo, Histerectomía por mioma.
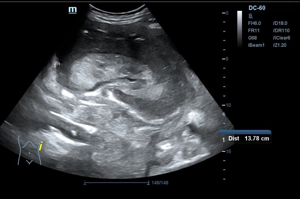
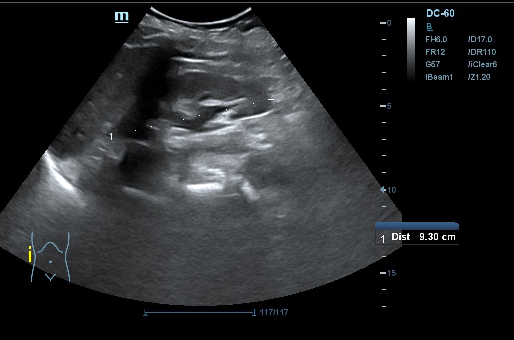
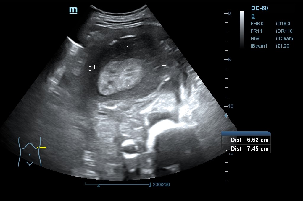
Descripción de los hallazgos ecográficos y las imágenes más relevantes para la resolución del caso
Hallazgo de lo que impresiona de nefromegalia izquierda de aproximadamente 14 cm con hidronefrosis bilateral grado 2.
Se deriva a la paciente de forma preferente a los servicios de nefrología y de urología.
Después de 6 meses y sin haber sido valorada por nefrología ni haberse realizado el TC solicitado por urología, acude nuevamente a consulta para un control analítico. Llama la atención una pérdida ponderal. A la anamnesis dirigida refiere dolor abdominal ocasional periumbilical de intensidad moderada-alta. En la exploración física se aprecia una distensión abdominal importante con matidez a la percusión.
Se realiza una nueva ecografía en la que se confirma la ascitis y persisten las alteraciones renales.
Otras pruebas complementarias realizadas (si existen)
No se realizaron otras pruebas complementarias a nivel de Atención Primaria.
Juicio clínico, diagnóstico diferencial, concordancia con el hospital (en su caso)
Tras la segunda ecografía se deriva a la paciente a la Unidad de Diagnóstico Rápido de Medicina Interna donde ingresa para completar estudio. Tras ecografía en la que informan de extenso tejido hipoecoico periaórtico y perirrenal izq. (nefromegalia izq.) con extensión nodular al mesenterio, se establece la sospecha de síndrome linfoproliferativo, así como en un TC posterior y que se confirma como Linfoma No Hodgkin mediante biopsia.
Decisiones adoptadas: tratamiento, planes de actuación
Ingreso en Hematología.
Evolución y seguimiento
Inicia quimioterapia según esquema R-CHOP.
Conclusiones: La disponibilidad de la ecografía permitió evidenciar una alteración que aunque fue interpretada de forma errónea o incompleta como nefromegalia, dio pie al inicio de un estudio que en otro caso no se hubiese realizado por el leve empeoramiento de la función renal inicial. Por desgracia el diagnóstico final se retrasó dada la lista de espera que ya tristemente tenemos que incluir como factor en nuestras decisiones diagnóstico-terapéuticas.



