X Jornadas de Actualización en Medicina de Urgencias y VI Jornadas de Ecografía de la semFYC
6-7-8 de febrero de 2025
Atención Primaria, servicio de Urgencias.
Disnea.
Enfoque individual: antecedentes personales, anamnesis, exploración, pruebas complementarias, etc.
Mujer de 68 años, con antecedente de cirrosis hepática no alcohólica, acude por aumento de perímetro abdominal de 4 meses de evolución, con aumento de disnea basal, edemas en miembros inferiores y recorte de diuresis. En última revisión en consulta de Digestivo, se redujeron dosis de diuréticos por empeoramiento de función renal.
A la exploración presenta distensión abdominal significativa con matidez a la percusión y signos de circulación colateral en la pared abdominal, edemas bilaterales en miembros inferiores y taquipnea.
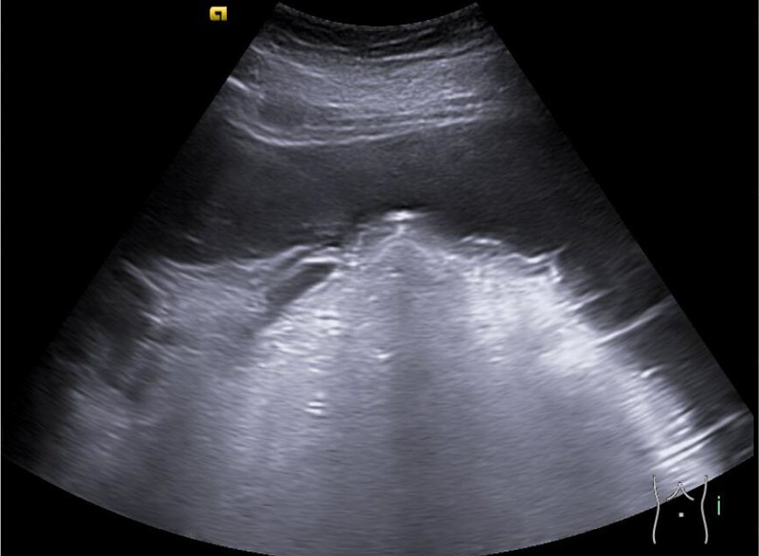
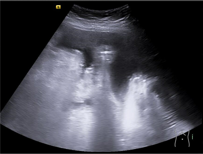
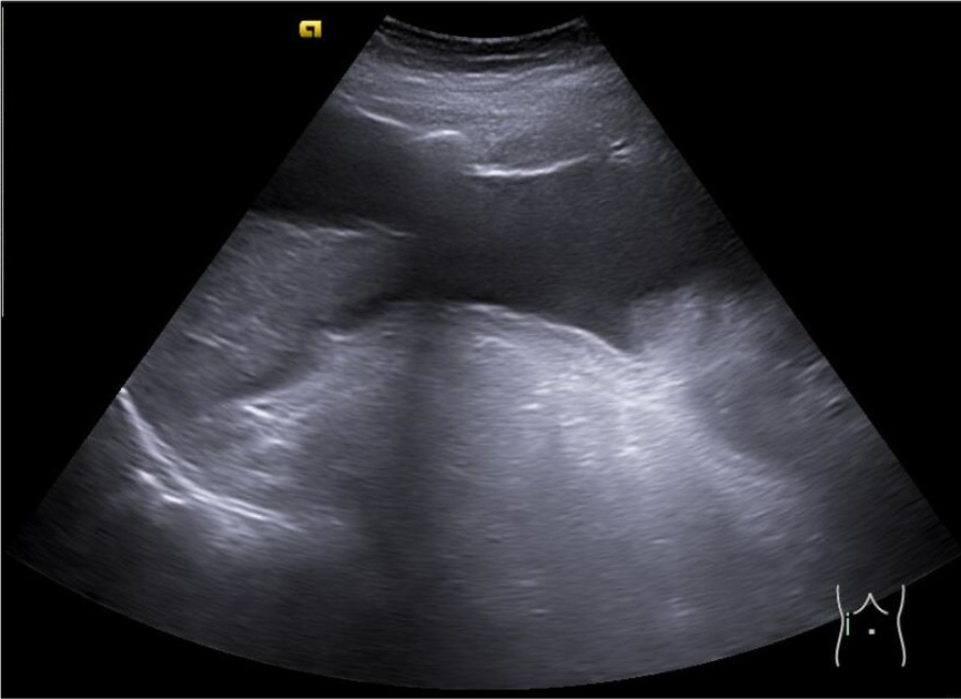
Se realiza ecoPOCUS y se objetiva imágenes anecogénicas en todas las zonas declives, en ambos flancos e hipogastrio y derrame pleural izquierdo.
En analítica sanguínea destacan AST y GGT elevadas (51 y 58), bilirrubina total, directa e indirecta elevadas (1,57, 0,84 y 0,73), tiempo de protrombina normal y VSG elevada (58). Creatinina y urea normales.
Enfoque familiar y comunitario: estudio de la familia y la comunidad (si fuese necesario)
No relevante para este caso.
Juicio clínico, diagnóstico diferencial, identificación de problemas
Ascitis a tensión secundaria a cirrosis hepática no alcohólica.
Tratamiento y planes de actuación.
Ante ascitis a tensión, se deriva a Urgencias hospitalarias para realización de paracentesis terapéutica.
Evolución
Se derivó al servicio de urgencias para la realización de una paracentesis evacuadora de la que se extrajeron 6 litros, con reposición con 40 g de albúmina. Se aumentaron diuréticos ante normalización de función renal (furosemida 40 mg 1-1-0 y espironolactona 100 mg 1-0-0), se realizó profilaxis antibiótica con moxifloxacino 400 mg cada 12 horas y se citó a las 48 horas en la consulta de Atención Primaria.
Una semana después la disnea había remitido, había disminuido el perímetro abdominal y la paciente no presentaba derrame pleural ni ascitis significativa. Se establecieron revisiones en consulta de Atención Primaria cada tres semanas.
Resalta la importancia de la ecografía como herramienta diagnóstica en Atención Primaria, facilitando el manejo precoz. La continuidad en la atención médica permitió un manejo adecuado de la paciente, que resultó en una mejora significativa de sus síntomas tras la intervención. La vigilancia longitudinal es esencial para optimizar el seguimiento de pacientes con enfermedades crónicas, asegurando una respuesta oportuna y efectiva ante la evolución de sus condiciones. En este caso, evitamos el ingreso hospitalario y la posible iatrogenia derivado del mismo gracias al control ambulatorio mediante analíticas y ecografías periódicas.


