5, 6 y 7 de febrero de 2026
Enfoque individual
Paciente de 58 años, sin antecedentes, seguido en Digestivo desde 2022 por colestasis secundaria a poliquistosis hepática y revisiones periódicas por posible enfermedad de Wilson, asintomático hasta actualidad. Acude por cuadro de ictericia progresiva en último mes, con pérdida de peso, astenia, coluria y acolia. En exploración presenta deterioro general, ictericia generalizada y conjuntival; auscultación normal. Abdomen sin alteración salvo hepatomegalia de 3 traveses de dedo.
En analítica urgente presenta: Bilirrubina total 3.3, ALT 209, AST 134, FA 651, GGT 1150, PCR 11.9.
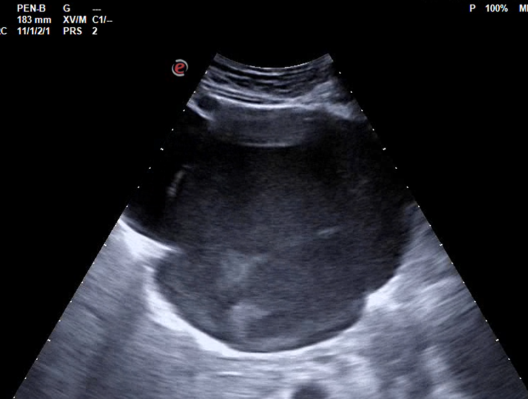
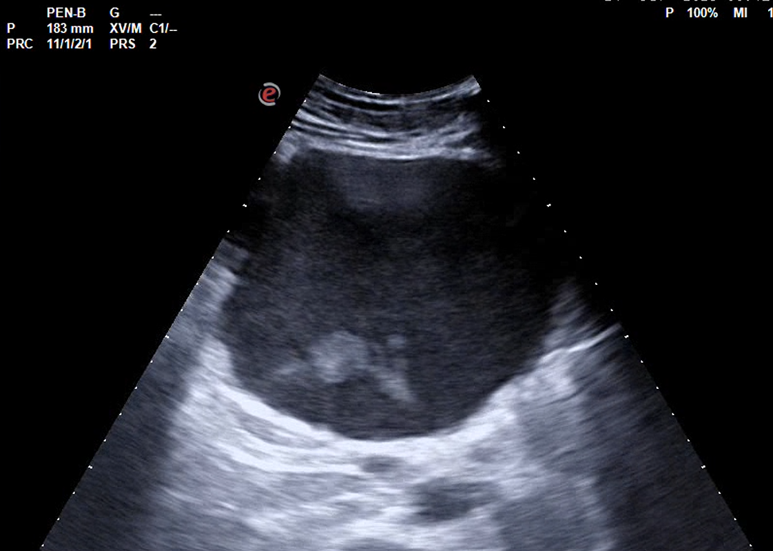
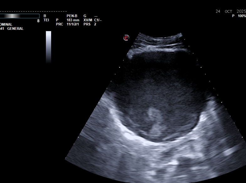
Realizamos ecografía abdominal en centro de salud, objetivándose grandes masas abdominales, no vascularizadas, de contenido hipoecogénico y heterogéneo, en todo el abdomen, sin distinguir si dependencia hepática o pancreática con leve dilatación de vía biliar intrahepática, vía extrahepática normal.
Juicio clínico, diagnóstico diferencial, identificación de problemas
JC: colestasis con ictericia obstructiva sin diferenciar si obstrucción de origen tumoral o quístico.
Reseñar la importancia de disponer en consulta de una herramienta útil y resolutiva como la ecografía así como, de personal cualificado y entrenado para su correcta realización e interpretación.
Tratamiento y planes de actuación
Realizamos interconsulta telefónica con Digestivo comentando el caso, hallazgos analíticos y ecográficos, recomendándonos derivación a Urgencias Hospitalarias, donde programaron ingreso a su cargo.
Evolución
En ingreso realizan pruebas de imagen más específicas y visualizan quistes de gran tamaño similares a estudios previos, pero con dilatación de vía biliar intrahepática; confirmando obstrucción biliar intrahepática secundaria a compresión extrínseca por los quistes, con hepatomegalia, indicando drenaje percutáneo ecoguiado, con resolución del cuadro.
Este caso pone de manifiesto la importancia de tener herramientas de apoyo en AP, que permitan realizar una aproximación diagnóstica, en nuestro caso la ecografía nos llevó a una sospecha diagnóstica y pudo orientar el proceso. Reflejar también, la longitudinalidad de la AP, ya que nada más ver al paciente, enseguida reconocimos que algo no iba bien, «no tenía el mismo aspecto de siempre».


