X Jornadas de Actualización en Medicina de Urgencias y VI Jornadas de Ecografía de la semFYC
6-7-8 de febrero de 2025
Antecedentes personales relevantes, anamnesis, exploración física y lugar que ocupa en ella la ecografía
Hombre de 48 años, alergia al metamizol, no hábitos tóxicos. Hernia de Hiato. Dislipemia. Síndrome de Gilbert, Hipercolesterolemia familiar. Esteatosis hepática metabólica simple difusa. Catarata congénita, Neumotórax espontáneo a los 22 años. Tratamiento con estatinas.
Consulta por dolor testicular izquierdo de 7 días de evolución y refiere induración en zona de conducto de epididimo, trabaja de taxista, niega relaciones sexuales de riesgo, ni secreción uretral, afebril. Padre antecedente de cáncer testicular. Relata que con reposo, iburpofeno + hielo ha mejorado.
Exploración física: testículo izquierdo levemente más grande respecto al derecho, dolor a la palpación de cabeza de epidídimo, signo de prehn positivo, reflejos cremastéricos conservados. No masas.
Descripción de los hallazgos ecográficos y las imágenes más relevantes para la resolución del caso.
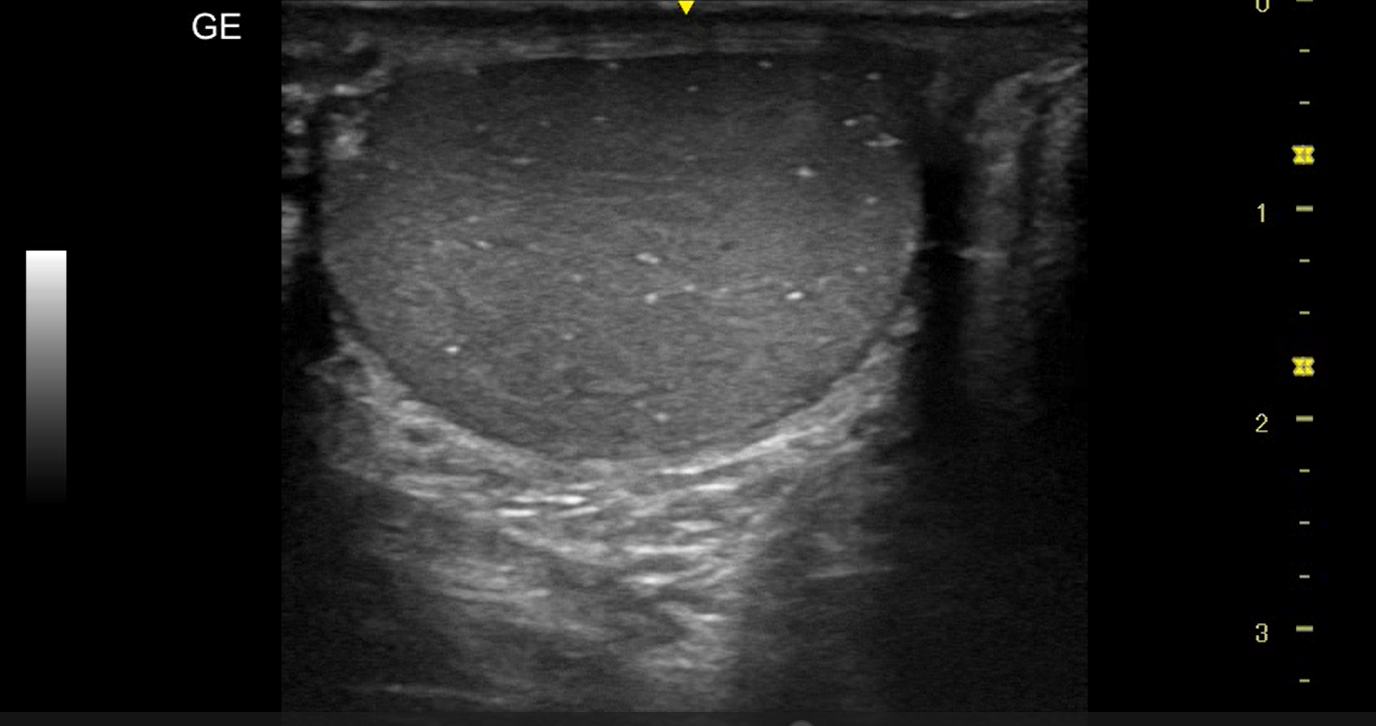
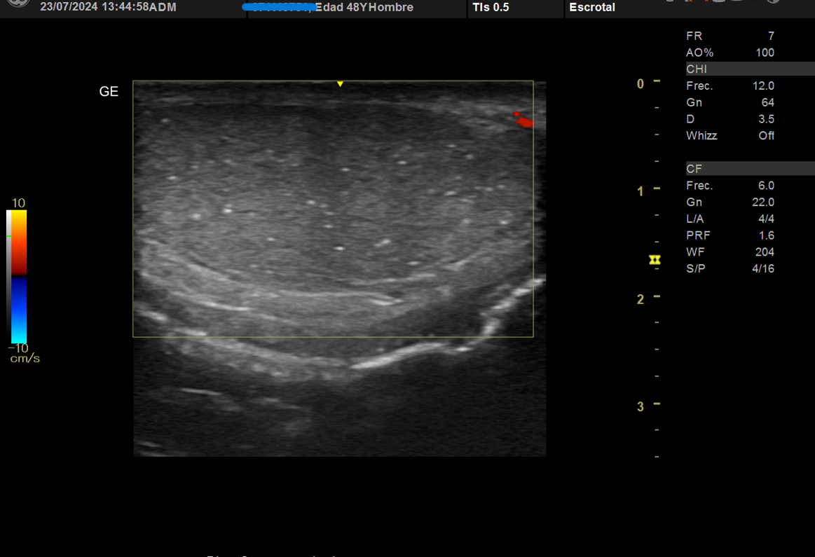
Realizamos ecografía clínica testicular: observamos ambos testículos con microlitiasis bilaterales puntiforme sin sombras acústicasen, en forma de cielo estrellado, vascularización normal, cabeza epidídimo izquierdo con leves signos inflamatorios, mínimo hidrocele.
Otras pruebas complementarias realizadas (si existen)
Se solicita analítica completa con marcador HCG tumoral y LDH normales, serología hepatitis, sida y sífilis negativa, presenta transaminitis, hemograma normal, cultivo orina positivo a Pseudomonas auriginosa.
La ecografía testicular reglada testicular realizada al mes presenta resolución de orquiepidimitis y confirma microlitiasis testiculares.
Juicio clínico, diagnóstico diferencial, concordancia con el hospital (en su caso)
Microlitisis testicular bilateral en contexto de Orquiepidimitis aguda. Diagnóstico diferencial con tumor testicular, torsión testicular, absceso testicular, hidátide.
Decisiones adoptadas: tratamiento, planes de actuación.
Inicia tratamiento con cefuroxima 500 mg cada 12 horas, se solicita analítica completa con marcador HCG tumoral y LDH normales, serología hepatitis, sida y sífilis negativa, transaminitis, hemograma normal, cultivo orina positivo a Pseudomonas auriginosa. Ecografía testicular reglada testicular preferente que es realizada al mes con mejoría de orquiepidimitis y confirma microlitiasis testiculares.
El paciente presenta mejoría clinica completa con controles por Urología.



