5, 6 y 7 de febrero de 2026
Atención Primaria. Centro Semiurbano.
Enfoque individual
Hombre de 39 años, fumador de 5-10 cigarrillos/ día desde los 17 años, sin otros antecedentes relevantes. Acude por aumento progresivo de volumen cervical bilateral, sin fiebre, sudoración nocturna ni clínica respiratoria. Refiere pérdida de peso que atribuye a cambios de hábitos. En la exploración presenta adenopatías laterocervicales duras, adheridas y <2cm. El uso de ecografía clínica en consulta se consideró clave para orientar el estudio inicial ante la sospecha de adenopatías patológicas.
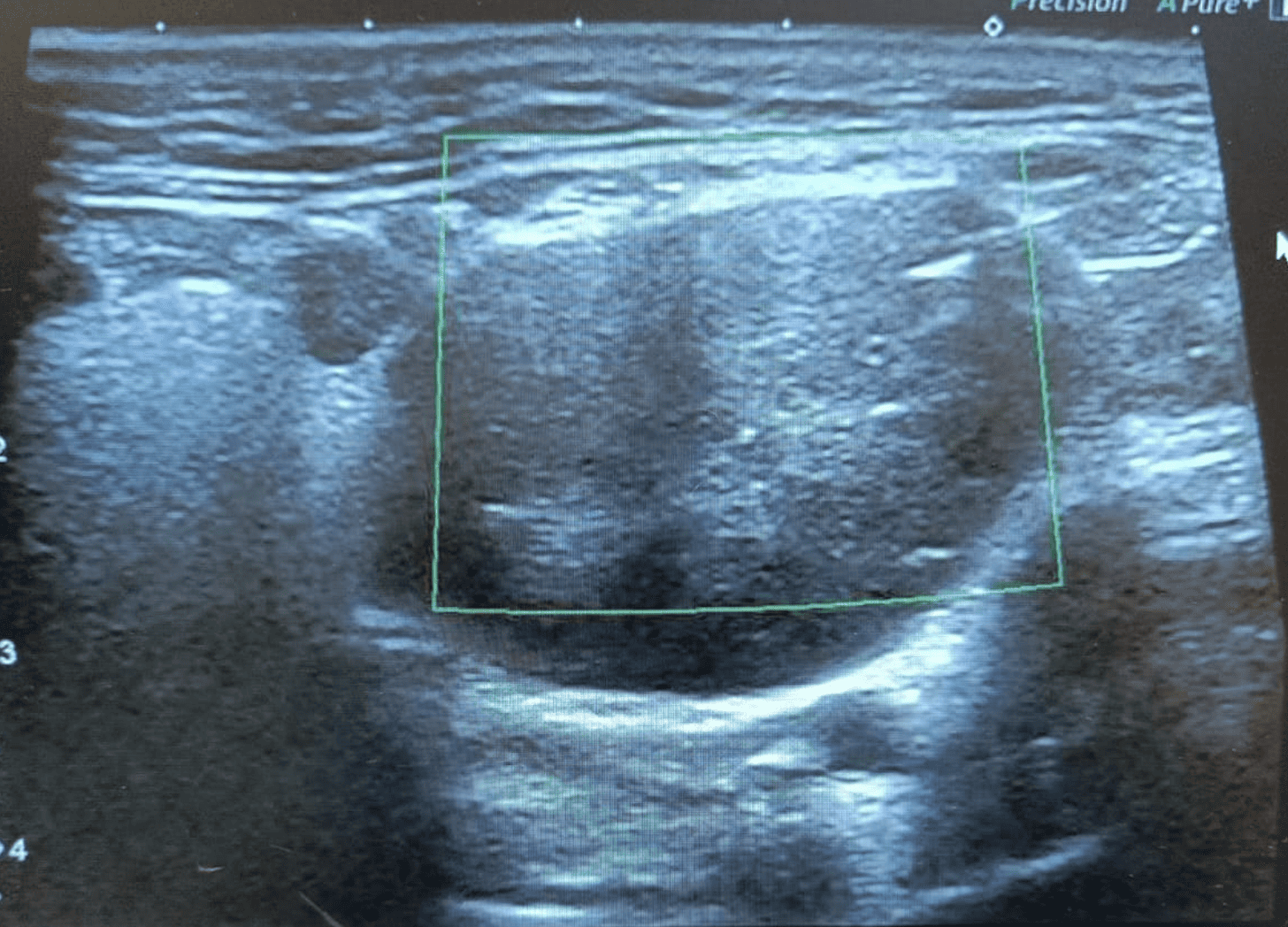
Hallazgos ecográficos
Ecografía cervical que muestra adenopatías hipoecoicas sólidas. En lado izquierdo, imagen de 24x32 mm con vascularización periférica en Doppler; en lado derecho, adenopatía de 20x18 mm con características similares. Hallazgos sugestivos de posible etiología maligna.
Pruebas complementarias
Exéresis ganglionar: linfoma anaplásico de células grandes (LACG) CD30+, ALK negativo.
PET- TC: afectación linfática supra e infradiafragmática, lesión hipermetabólica en cavum y lesión gástrica compatible con infiltración, sin afectación medular ni esplénica.
Juicio clínico, diagnóstico diferencial, concordancia con el hospital (en su caso)
Diagnóstico final: LACG CD30+, ALK -, estadio IV, IPI 2 (riesgo bajo-intermedio).
Diagnóstico diferencial: linfoma Hodgkin, linfoma no Hodgkin, infección crónica, procesos metastásicos. Plena concordancia con el diagnóstico hospitalario.
Tratamiento, planes de actuación
Tratamiento de 1ª línea con Brentuximab Vedotin + CHP (Br- CHP). Tras 4 ciclos, PET con muy buena respuesta parcial casi completa. Posterior trasplante autólogo de progenitores hematopoyéticos con acondicionamiento BEAM.
Evolución
El paciente presenta evolución inicial favorable, pero finalmente desarrolla progresión y fallece aproximadamente un año y medio tras el diagnóstico.
La ecografía clínica en AP es fundamental para detectar patrones ganglionares sospechosos, acelerar el proceso diagnóstico y mejorar el pronóstico mediante derivación precoz. Este caso refleja su relevancia en la identificación de patologías hematológicas graves.


